Skip to main content

Reversibel hemifacial spasme ved nonketotisk hyperglykæmi

Betel Tesfay1 & Christian Stenør2

12. jul. 2021
4 min.

Hemifacial spasme (HFS) er en form for hyperkinetisk bevægeforstyrrelse i facialismuskulaturen. Den kan være af enten tonisk eller klonisk karakter og er oftest unilateral. Primær HFS er hyppigst forårsaget af vaskulær kompression af kranienerve VII i fossa posterior. Sekundær HFS kan ses efter direkte læsion af kranienerve VII eller skade i hjernestammen [1].

Striatumpåvirkning pga. hyperglykæmi er en sjælden tilstand, der er karakteriseret af uni- eller bilaterale hyperkinetiske bevægeforstyrrelser eller flygtige sensoriske og motoriske symptomer. På T1-vægtede MR-sekvenser ses typisk bilaterale eller kontralaterale hyperintense forandringer i corpus striatum. Patofysiologien er endnu ikke fuldt klarlagt [2], men tilstanden menes at kunne skyldes en hyperglykæmisk inaktivering af citronsyrecyklus, hvilket medfører anaerob metabolisme og fokal metabolisk acidose med reduktion af niveauet af acetylkolin og gammaaminobutyrat [3].

SYGEHISTORIE

En 71-årig mand blev vurderet i akutmodtagelsen. da han havde haft progredierende episodiske trækninger af højre mundvig gennem 14 dage. Trækningerne var af 5-20 s’ varighed. Mellem episoderne var der normal ansigtsfunktion. Ved debut var der et anfald daglig. På indlæggelsesdagen var der anfald hvert 5.-10. min. To uger forinden havde der ligeledes været en kort episode med rykvise bevægeforstyrrelser i højre underarm og hånd. Tolv år tidligere havde der været rejst mistanke om diabetes, hvilket blev afkræftet efter udredning via egen læge. Det seneste niveau af glykeret hæmoglobin (HbA1c) målt ca. halvandet år tidligere var på 38 mmol/mol.

Objektivt observeredes der flere kortvarige trækninger af sekunders varighed i højre mundvig. Der blev også observeret sitren i orbicularis oculi, mest udtalt på højre side. Der var ingen bevidsthedspåvirkning. Under episoderne kunne patienten frivilligt puste kinderne op og bevæge den øvrige mimiske muskulatur. Ved biokemisk undersøgelse fandt man koncentrationer af B-glukose på 18 mmol/l samt HbA1c på 62 mmol/mol, og arterieblodanalyse viste ingen ketoacidose. Koncentrationen af uringlukose var på 28 mmol/l og P-proinsulin C-peptid på 2.640 pmol/l og tydede således ikke på type 1-diabetes mellitus.

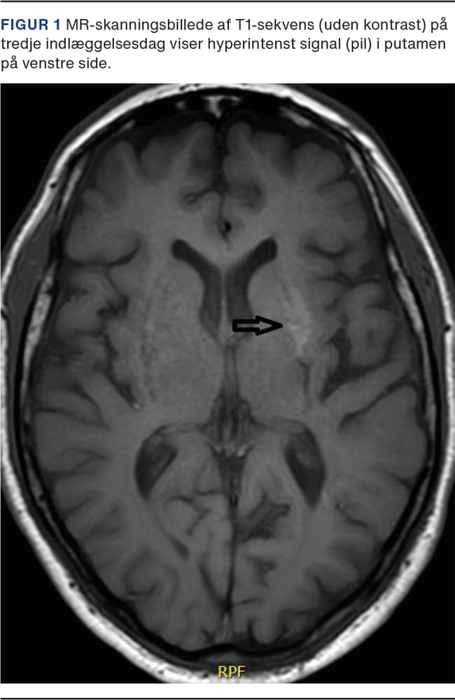
En CT af cerebrum uden kontrast og uden tidligere skanninger til sammenligning viste en diskret øget densitet af venstre nucleus lentiformis. På en MR-skanning af cerebrum sås en hyperintens læsion med målene 2,5 × 1 × 1 cm på en T1-vægtet sekvens af venstre putamen (Figur 1). Differentialdiagnoser ud fra MR-skanning var aflejringer af methæmoglobin, kalcium, mangan eller følger efter hyperglykæmi, leversvigt eller små punktate blødninger. Cerebrospinalvæsken var uden celle- eller proteinforhøjelse, og neurofilament-light chain var normal.

På første indlæggelsesdag påbegyndte man behandling med insulin aspart, og allerede på anden indlæggelsesdag observeredes færre anfald med samtidig bedret glykæmisk kontrol. På tredje indlæggelsesdag påbegyndte man behandling med metformin 500 mg én gang dagligt. Symptomerne var fuldt remitteret på femte indlæggelsesdøgn. Ved opfølgning efter én, 12 og 18 måneder var patienten fortsat i remission. En kontrol-MR-skanning af cerebrum efter 18 måneder viste ligeledes komplet regression af de hyperintense forandringer i venstre basale ganglier.

DISKUSSION

Fokale motoriske symptomer, hyppigst i form af hemichorea/hemiballisme, er en sjælden primærmanifestation hos patienter med diabetes mellitus og nonketotisk hyperglykæmi [4]. Sjældnere kan der ses unilateral HFS [5] som hos patienten i sygehistorien med hidtidig uerkendt type 2-diabetes mellitus.

Vi fandt ingen konkurrerende ætiologi på trods af omfattende undersøgelser, og der var fuld remission af symptomerne inden for få dage med samtidig forbedret glykæmisk kontrol. Patienten var klinisk og billeddiagnostisk fortsat i remission efter 18 måneder.

Vi ønsker at belyse vigtigheden af kontrol af blodglukoseniveau ved akut til subakut opståede motoriske abnormaliteter, også hos patienter uden kendt diabetes. Hyperglykæmi som underliggende årsag til akut til subakut opståede ufrivillige bevægelser er en vigtig klinisk differentialdiagnose til blandt andet HFS og epilepsi, ikke mindst fordi tilstanden har en god prognose ved korrektion af hyperglykæmi [5], og unødvendige undersøgelser samt langvarige indlæggelser dermed kan undgås. Ved hurtig diagnostik og påbegyndelse af behandling mod hyperglykæmi er der rapporteret om remission inden for to dage, og tilstanden kræver oftest ikke symptomatisk behandling [5].



KORRESPONDANCE Betel Tesfay. E-mail: stelam_domo@hotmail.com
Antaget 21. april 2021
Publiceret på ugeskriftet.dk 12. juli 2021
Interessekonflikter ingen. Forfatternes ICMJE-formularer er tilgængelige sammen med artiklen på ugeskriftet.dk
Referencer findes i artiklen publiceret på ugeskriftet.dk
Artikelreference Ugeskr Læger 2021;183:V12200924

Summary

Reversible hemifacial spasm due to non-ketotichyperglycaemia

Betel Tesfay & Christian Stenør

Ugeskr Læger 2021;183:V12200924

Hemifacial spasm (HFS) is a movement disorder affecting the facial muscles and is primarily due to a lesion related to the seventh cranial nerve or the brainstem. In this case report, a 71-year-old man had a rare presentation of acute onset HFS due to non-ketotic hyperglycemia. Type 2 diabetes was diagnosed during hospital admission. A brain magnetic resonance imaging showed a hyperintense lesion in the contralateral basal ganglia. Full remission of symptoms was seen within days after start of antidiabetic agents. Hyperglycaemic induced movement disorder is an important differential diagnosis to HFS and has a good prognosis.

Referencer

Referencer

  1. Abbruzzese G, Berardelli A, Defazio G. Hemifacial spasm. Handb Clin Neurol 2011;100:675-80.

  2. Abe Y, Yamamoto T, Soeda T et al. Diabetic striatal disease: clinical presentation, neuroimaging, and pathology. Intern Med 2009;48:1135-41.

  3. Oh SH, Lee KY, Im JH, Lee MS. Chorea associated with non-ketotic hyperglycemia and hyperintensity basal ganglia lesion on T1-weighted brain MRI study: a meta-analysis of 53 cases including four present cases. J Neurol Sci 2002;200:57-62.

  4. Chua CB, Sun CK, Hsu CW et al. "Diabetic striatopathy": clinical presentations, controversy, pathogenesis, treatments, and outcomes. Sci Rep 2020;10:1594.

  5. Chakrabarti S. Hemifacial spasm due to non-ketotic hyperglycemia. Int J Adv Med Health Res 2014;1:90-2.