Atypisk femurfraktur hos en kvinde i behandling med lamotrigen


René Gren Hansen Voldby1 & Salar Bajalan2
Atypiske femurfrakturer (AFF) er en forholdsvis ny entitet af frakturer, som er karakteriseret ved en bestemt lokalisation, et minimalt traume og specifikke radiologiske karakteristika. Definerende kriterier for AFF blev fremsat af American Society for Bone and Mineral Research (ASBMR) i 2010 og revideret i 2013 (Tabel 1) [1]. AFF er en sjældent forekommende fraktur, som i et koreansk studie blev påvist at udgøre 4,9% af det totale antal femurfrakturer. Studiet viste derudover, at risikofaktorer for AFF var yngre alder (gennemsnit 71,1 ± 9,3 år) og anvendelse af bisfosfonat (BP) [2]. Andre studier har også vist association mellem AFF og BP, men tilfælde af AFF uden BP-behandling er også beskrevet [1]. Der er ikke i litteraturen beskrevet association mellem AFF og behandling med lamotrigin eller andre antiepileptika (AED). Flere AED har været mistænkt for at nedsætte knoglemineraltætheden (BMD), men mekanismerne bag er ikke tilstrækkeligt belyst. Forbruget af lamotrigin har i flere år været stigende, og i 2012 blev der indløst 34.416 recepter på medikamentet, heraf anslås 50-67% at være på epilepsiindikation [3].
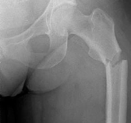
En 51-årig kvindelig epileptiker uden komorbiditet blev indlagt med AFF efter et fald fra egen højde. Hun havde ti år før hændelsen fået konstateret epilepsi, men gennem flere år været anfaldsfri på lavdosislamotriginbehandling og fik ikke anden medicin. På røntgenbilledet konstateredes nonkomminut subtrokantær tværfraktur med tydelig fortykkelse af den laterale vs. den mediale cortex. Resultaterne af de præoperative blodprøveanalyser var upåfaldende, der blev dog ikke målt calcium- og D-vitaminniveau. Patienten fik indopereret et langt gammasøm og havde et kirurgisk ukompliceret efterforløb. En opfølgende knoglescintigrafi var uden patologiske fund, og der var god heling af frakturen.
En efterfølgende DEXA-skanning viste BMD i normalintervallet.
Personer med epilepsi har en højere relativ risiko for at få vilkårlig fraktur end baggrundsbefolkningen (relativ risiko: 2,2 (95% konfidens-interval: 1,9-2,5)). Deres BMD er reduceret, hvilket tydeligst manifesterer sig omkring hofte og columna. Reduktionen af BMD er dog ikke i sig selv nok til at forklare den samlede øgede frakturrisiko, og anfaldsrelaterede traumer har derfor været foreslået som anden mulig årsag [4].
Incidensen af subtrokantære og diafysære femurfrakturer (SDFF) stiger med alderen. Samme tendens er gældende for vanlige hoftenære femurfrakturer (HFF). Nogle studier har dog vist, at den totale incidens af HFF har været faldende gennem de seneste årtier, hvorimod den for SDFF har været uændret. Total incidens for HFF har dog stadig været væsentligt højere end for SDFF (400/100.000 personår vs. < 30/100.000 personår) [5]. Den aldersrelaterede incidens for AFF har ikke været opgjort, men må antages at følge samme tendens som for SDFF og HFF. Proportionen af AFF af SDFF
varierer i forskellige studier fra 1% til 48% [1].
Incidensen af BP-behandling stiger også med alderen. Den nyeste forskning om ætiologien bag AFF ved BP-behandling tyder på, at AFF er stressfrakturer, som ikke remodelleres pga. BP’s hæmning af osteoklaster [1]. Dette er foreneligt med, at risikoen for AFF synes at øges med længere varighed af BP-behandling
[1, 2, 5].
I sygehistorien beskrives AFF hos en yngre kvinde, som havde epilepsi, men hverken havde de vanlige risikofaktorer for fraktur for epileptikere, nedsat BMD og anfaldsrelateret traume eller de vanlige risikofaktorer for AFF; hun var ikke i BP-behandling og havde ikke væsentlig aldersrelateret risiko. Den eneste umiddelbare plausible årsag kunne være lamotriginbehandling, som også uden kendt patogenese menes at påvirke BMD. I så fald vil dette være det først beskrevne tilfælde, der knytter lamotrigin til AFF. Årsagen kan dog også være uerkendt, da de r kun er tale om ét tilfælde. Mekanismerne bag en eventuel association er sandsynligvis forskellige fra mekanismerne ved BP-behandling, og mulige faktorer bør forsøges identificeret. Således er yderligere forskning påkrævet for at bekræfte den mulige association og identificere sandsynlige tilgrundliggende knoglemineraliseringsændringer.
AFF er en forholdsvis nyligt defineret og sjælden type fraktur, der sandsynligvis er underdiagnosticeret. Større viden om AFF og udbredelse af denne er påkrævet. I tråd med ASBMR anbefaler vi derfor, at der oprettes internationale specifikke diagnose- og procedurekoder for AFF, så den reelle incidens kan kortlægges, mulige associerede parametre kan identificeres, og
behandlingen kan ensrettes og optimeres [5].
Korrespondance: René Gren Hansen Voldby.
E-mail: renegrenhansen@gmail.com
Antaget: 28. januar 2016
Publiceret på Ugeskriftet.dk: 22. februar 2016
Interessekonflikter:
Taksigelser: Mikkel Bandak, Onkologisk Afdeling, Rigshospitalet, takkes for korrekturlæsning og Anders Hougård, Neurologisk Afdeling, Glostrup Hospital, takkes for rettelser af epilepsiafsnit og korrekturlæsning.
Epileptics are often treated long-term with antiepileptic drugs (AED) of which some are suspected to cause reduction in bone mineral density (BMD). Lamotrigine might not have this effect. In this case report a 51-year-old epileptic woman who had normal BMD level was treated with lamotrigine and sustained an atypical femoral fracture (AFF) after a low-energy trauma. AFF has been associated with treatment with bisphosphonate, but never with treatment with lamotrigine or other AED’s. However, this case report shows that AFF might be associated to treatment with lamotrigine. The possible correlation calls for further investigation.
Shane E, Burr D, Abrahamsen B et al. Atypical subtrochanteric and diaphyseal femoral fractures: second report of a task force of the American Society for Bone and Mineral Research. J Bone Miner Res 2014;29:1-23.
Dam K, Yoon-Kyoung S, Soo-Kyung C et al. Factors associated with atypical femoral fracture. Rheumatol Int 2016;36:65-71.
Epilepsiforeningen. www.epilepsiforeningen.dk. Medicintilskudsnaevnets_indstilling_til_aendret_tilskud.pdf (14. jan 2016).
Vestergaard P. Epilepsy, osteoporosis and fracture risk – a meta-analysis. Acta Neurol Scand 2005;112:277-86.
Shane E, Burr D, Ebeling PR et al. Atypical subtrochanteric and diaphyseal femoral fractures: report of a task force of the American Society for Bone and Mineral Research. J Bone Miner Res 2010;25:2267-94.