Fatal cerebral blødning på grund af mulig interaktion mellem paracetamol og warfarin


Signe Vinsand Naver1, Maria Papina2, Espen Jimenez Solem1 & Kim Peder Dalhoff1
Det er velkendt, at behandling med warfarin giver en potentiel risiko for blødning og risiko for interaktion med talrige lægemidler og fødevarer. Men det er mindre velkendt, at paracetamol selv i små doser kan interagere med warfarin og forårsage international normaliseret ratio (INR)-stigning. Vi beskriver her – modtaget af Region Hovedstadens bivirkningsmanagerfunktion på Bispebjerg Hospital – en sygehistorie med fatal bivirkning forårsaget af interaktion mellem paracetamol og warfarin samt mulig indvirken af diclofenac og morfin.
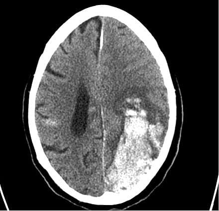
En 83-årig mand, der var i behandling med warfarin for kronisk atrieflimren, blev akut indlagt, da hans hustru fandt ham uden sprog og svær at komme i kontakt med. Han havde i hele sin mangeårige behandlingsperiode haft en stabil INR på 2,1-2,6. I 14 dage op til indlæggelsen havde han taget paracetamol 1 g × 4 og morfin 30 mg dagligt samt p.n. diclofenac. Ved indlæggelse var han vågen og havde en Glascow Coma Score (GCS) på 13, global afasi, højresidig kraftnedsættelse samt højresidig homonym hemianopsi. CT af cerebrum viste en stor parenkymblødning med midtlinjeforskydning. INR var over 10, og han blev behandlet med phytomenadion (K1-vitamin) samt koagulationsfaktor II, VII, IX og X (Octaplex). Efter 12 timers indlæggelse faldt GCS til 7. En fornyet CT af cerebrum viste progression af blødningen, gennembrud til ventrikelsystemet og begyndende inkarceration. Der var ingen kirurgiske behandlingsmuligheder, og efter otte døgn afgik patienten ved døden.
Interaktionen mellem paracetamol og warfarin er veldokumenteret i flere kasuistikker og randomiserede, kontrollerede forsøg. I en nyligt publiceret metaanalyse fastslås det, at samtidig behandling med paracetamol og warfarin øger INR med 0,62 i gennemsnit [1]. I et review fra 2013 konkluderer man, at lave doser paracetamol på 2,5 g om ugen øger risikoen for INR-stigning over 6 hos patienter, der i forvejen er i behandling med warfarin [2]. I et stort svensk registerstudie har man fundet, at warfarindosis i gennemsnit bliver reduceret med 7,3% under samtidig behandling med paracetamol [3]. I Sundhedsstyrelsens interaktionsdatabase fastslås det, at INR bør måles før og efter behandling.
Mekanismen for interaktionen er baseret på to teorier: 1) Paracetamol hæmmer metaboliseringen
af warfarin, og 2) paracetamol hæmmer aktiveringen af koagulationsfaktorerne II, VII, IX og X.
Warfarin findes i to isomerer, S- og R-warfarin. S-warfarin, som er den mest antikoagulerende isomer, metaboliseres af CYP2C9-enzymerne, og R-warfarin metaboliseres af CYP1A2- og CYP3A4-enzymerne. Ca. 4% af den kaukaside befolkning omsætter substrater for CYP2C9-enzymet langsomt (poor metabolizers). Det betyder, at nedbrydningen af lægemidler, der omsættes herigennem, vil foregå langsommere, og at man derfor kan opnå højere koncentrationer af lægemidlet. Warfarindosis hos patienten i sygehistorien kendes ikke, men faste lave doser kunne tyde på, at han var CYP2C9-poor metabolizer og dermed ekstra følsom for interaktioner.
Ved terapeutiske doser metaboliseres paracetamol i leveren ad tre veje: sulfatering, glukuronidering og CYP-oxidering. 85-90% konjugeres med glukuronid og sulfat og udskilles gennem nyrerne. En mindre del metaboliseres overvejende via CYP1A2 og -3A4 til den reaktive metabolit N-acetyl-p-benzoquinonimin (NAPQI). Den første interaktionsteori er baseret på, at man ved visse fysiologiske tilstande som f.eks. alder og hypoksi kan se en øget andel af paracetamol blive metaboliseret ad CYP1A2- og CYP3A4-vejen [4]. Under sådanne forhold vil paracetamol og R-warfarin konkurrere om de samme CYP-systemer, hvorved der kan ses en øget koncentration af R-warfarin. Da R-warfarin kan hæmme metaboliseringen af S-warfarin [5], vil koncentrationen af S-warfarin øges. Hos poor metabilizers af CYP2C9 vil dette medføre, at metaboliseringen af S-warfarin bliver hæmmet yderligere med endnu højere koncentrationer til følge (Figur 1).
Den anden teori, der er dokumenteret ved in vitro-forsøg, er, at paracetamols reaktive metabolit NAPQI kan påvirke flere enzymer i K-vitamincyklus, således at K-vitamin vil blive inaktiveret og derfor ikke aktiverer faktor II, VII, IX og X [6].
Patienten i sygehistorien havde anvendt morfin og diclofenac i ukendte doser. Morfins mulige interaktion med paracetamol er kun beskrevet i et enkelt farmakoepidemiologisk studie i litteraturen [7]. Men diclofenac, der alene metaboliseres via CYP2C9, kan konkurrere med metaboliseringen af S-warfarin og dermed forårsage INR-stigning; i særdeleshed hos en patient, der er CYP2C9-poor metabolizer. Diclofenac og muligvis morfin kan derfor også have været medvirkende årsag til den høje INR.
Denne sygehistorie understreger vigtigheden af at måle INR hyppigt ved påbegyndelse af nye lægemidler hos en patient, der er i fast behandling med warfarin.
Korrespondance: Signe Vinsand Naver, Klinisk Farmakologisk Afdeling, Bispebjerg Hospital, Bispebjerg Bakke 23, 2400 København NV.
E-mail: signe.vinsand.naver@regionh.dk
Antaget: 24. februar 2015
Publiceret på Ugeskriftet.dk: 1. juni 2015
Interessekonflikter:
This is a case report of an 83-year-old man in warfarin treatment with stable international normalised ratio (INR) after aortic valve replacement and atrial fibrillation. Due to back pain he took paracetamol (acetaminophen) 4 g/day, morphine 30 mg/day and diclofenac as rescue medication for two weeks. After 14 days of treatment he was admitted to a hospital with acute neurological deficits, and a blood sample showed INR levels above 10. A CT-scan of the brain showed an intracerebral haemorrhage. The patient died eight days after admission. Mechanisms of the possible interaction between paracetamol and warfarin are discussed.
Caldeira D, Costa J, Barra M et al. How safe is acetaminophen use in patients treated with vitamin K antagonists? Thromb Res 2015;135:58-61.
Pinson GM, Beall JW, Kyle JA. A review of warfarin dosing with concurrent acetaminophen therapy. J Pharm Pract 2013;26:518-21.
Andersson ML, Lindh JD, Mannheimer B. The impact of interacting drugs on dispensed doses of warfarin in the Swedish population: a novel use of population based drug registers. J Clin Pharmacol 2013;53:1322-7.
Parra D, Beckey NP, Stevens GR. The effect of acetaminophen on the international normalized ratio in patients stabilized on warfarin therapy. Pharmacotherapy 2007;27:675-83.
Kunze KL, Eddy AC, Gibaldi M et al. Metabolic enantiomeric interactions: the inhibition of human (S)-warfarin-7-hydroxylase by (R)-warfarin. Chirality 1991;3:24-9.
Thijssen HH, Soute BA, Vervoort LM et al. Paracetamol (acetaminophen) warfarin interaction: NAPQI, the toxic metabolite of paracetamol, is an inhibitor of enzymes in the vitamin K cycle. Thromb Haemost 2004;92:797-802.
Pottegård A, dePont Christensen R, Wang SV et al. Pharmacoepidemiological assessment of drug interactions with vitamin K antagonists. Pharmacoepidemiol Drug Saf 2014;23:1160-7.