Månedens billede


redigeres af:Tove Agner, Margrethe Herning, Jens Otto Lund, Peter Skinhøj ogKaren Lisbeth Bay Dirksen
En 75-årig mand henvendte sig på skadestuen med smerter fra underbenet. Han havde ikke pådraget sig traumer eller sår i området. Der var ingen febrilia eller almen påvirkning. Der havde ikke tidligere været kontakt til sygehusvæsenet, og patienten fik ikke medicin.
Objektivt fandt man et velafgrænset rødt, varmt, hævet område over peroneuslogen på højre crus.
Den resterende hud var uforandret uden sår eller ekskoriationer. Ved palpation fandt man området smertefyldt med et subkutant ødem. Under området palperedes en central hård udfyldning uden klar fluktuation.
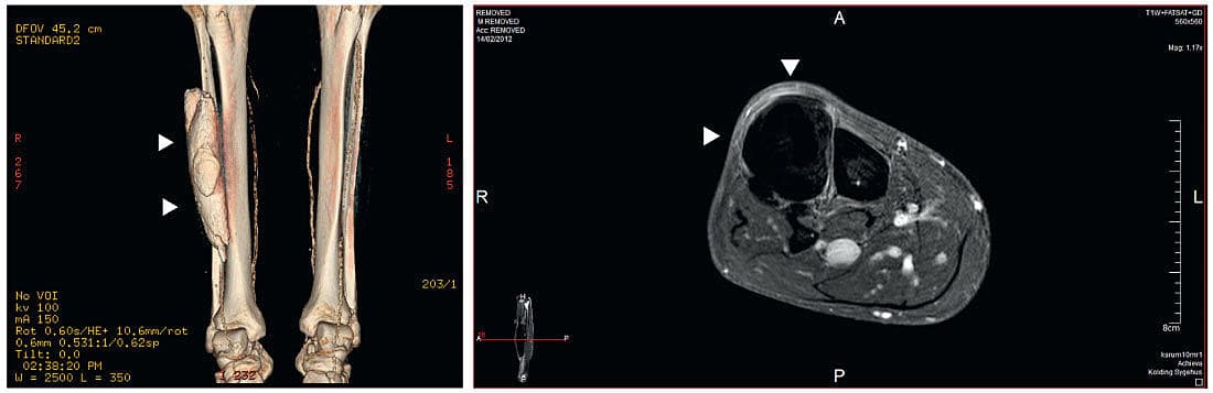
Der blev foretaget ultralydskanning af crus på mistanke om absces. Svaret viste overraskende en central kalcifikation uden kontakt til den underliggende knogle. Der blev foretaget røntgenundersøgelse, magnetisk resonans-skanning og computertomografi af crus for at udelukke malignitet. Disse undersøgelser viste en kalcifikation i peroneuslogen.
Patienten havde således en heterotopisk ossifikation af peroneuslogen, som blev fundet tilfældigt [1-3], samtidig med at der var klinisk mistanke om erysipelas. Patienten blev behandlet med penicillin, og efter fem dage var symptomerne svundet, men den hårde udfyldning bestod.
Jesper Roed Sørensen
E-mail: j.roed.sorensen@gmail.com
Peter Bisgaard Stæhr
Akutafdelingen, Kolding Sygehus, Sygehus Lillebælt
Tak til Radiologisk Afdeling, Kolding Sygehus,
Sygehus Lillebælt