Pulmonal arterieobstruktion som følge af akut type A-aortadissektion


Helene Gudmann Steuble Brandt1 & Erik Gudmann Steuble Brandt2
Akut aortadissektion inddeles i henholdsvis Stanford type A og type B, alt efter om aorta ascendens/arcus aortae er involveret eller ej. Lidelsen forekommer hyppigst hos mænd med hypertension. Velkendte komplikationer er aortaruptur til pleura eller perikardiet, aortainsufficiens, lokal arterieinsufficiens og torakalt aortaaneurisme [1]. Ved ubehandlet type A-dissektion er mortaliteten ca. 2% pr. time i de første 24 timer og ca. 75% efter to uger [2]. En sjældent beskrevet komplikation i forbindelse med akut type A-dissektion er mediastinalt hæmatom med obstruktion af de pulmonale arterier; en komplikation, der som regel har fatal udgang [3-5].
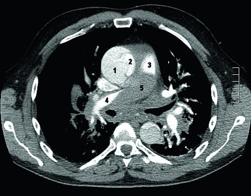
En 55-årig mand, der var tidligere rask fraset velbehandlet hypertension, blev akut indlagt på grund af vejrtrækningsbesvær og smerter i brystet, der var opstået i forbindelse med coitus. Han var kortvarigt synkoperet. Ved ankomsten var han vågen, klar og orienteret. Smerterne i brystet var aftaget, men han var udtalt dyspnøisk. Han saturerede 88-92% på 15 liter ilt på maske med reservoir. Det systoliske blodtryk lå stabilt omkring 100 mmHg. Et ekg viste sinustakykardi på 100 uden ST-forandringer. Hjerte- og lungestetoskopi viste normale forhold. Abdomen var blødt og uømt. Arterieblodgasananlyse viste lavt ilttryk og lavt partialtryk af kuldioxid, laktatniveauet var normalt, hæmoglobinniveauet var 6,5 mmol/l, og D-dimerniveauet var over 20 mg/l. På baggrund af ovenstående havde man mistanke om lungeemboli, og patienten blev kørt til akut CT af thorax. Denne viste en Stanford type A-aortadissektion med involvering af både aorta ascendens og aorta descendens. Der var tillige et stort mediastinalt hæmatom og igangværende blødning, som obstruerede de centrale lungearterier. Der var ingen lungeembolier. Patienten blev opereret på Thoraxkirurgisk Afdeling på Rigshospitalet. Peroperativt var der en større blødning. Han blev udskrevet efter 36 dage i sin habitualtilstand fraset lettere kognitive deficit.
Den svære dyspnø, som dominerede det kliniske billede hos patienten i sygehistorien, er atypisk for aortadissektion. Fraset brystsmerter, som svandt, var der ingen andre klassiske tegn på aortadissektion. D-dimerniveauet var forhøjet, men dette ses også ved lungeemboli. Mediastinalt hæmatom med pulmonal arteriel obstruktion ved akut type A-aortadissektion er en sjælden komplikation. Årsagen til, at det kan forekomme, er, at en del af aorta ascendens og truncus pulmonalis deler adventitia, hvorfor dissektionen i sjældne tilfælde kan fortsætte ud i mediastinum. På grund af det relativt lave tryk kan hæmatomet komprimere karrene i det pulmonale arterielle kredsløb [3, 4]. Klinisk viser dette sig ved respiratorisk svigt, som kan mistolkes som akut lungeemboli. 85% af alle tilfælde af akut aortadissektion starter med akut indsættende brystsmerter, hvilket bør rejse mistanke om denne diagnose. Akut indsættende brystsmerter er derimod atypiske for lungeemboli.Rettidig og korrekt billeddiagnostik er essentiel, da mortaliteten ved denne sjældne komplikation er ekstremt høj og tidsafhængig [1-5], og da trombolytisk behandling er kontraindiceret.Svær dyspnø og brystsmerter, hvor en kardial årsag er usandsynlig, bør medføre akut diagnostisk CT på mistanke om aortadissektion.
Korrespondance: Helene Gudmann Steuble Brandt.
E-mail: helenegudmann@hotmail.com
Antaget: 16. august 2016
Interessekonflikter:
A very rare and often fatal complication to acute Stanford type A dissection is a mediastinal haematoma with pulmonary artery obstruction. Clinically it mimics pulmonary embolism. A 55-year-old man was admitted to hospital with chest pain and severe respiratory distress. There was no sign of cardiac involvement. Pulmonary embolism was suspected and an acute computed tomography (CT) was performed. The CT showed a Stanford type A dissection and an actively bleeding mediastinal haematoma with compression of the pulmonary arteries. Emergency surgery was successfully performed and the patient survived.
Khan IA, Nair CK. Clinical, diagnostic, and management perspectives of aortic dissection. Chest 2002;122:311-28.
Dansk Cardiologisk Selskab. Aortadissektion. www.cardio.dk (15. jun 2016).
Masuo M, Takano H, Takamoto S et al. Pulmonary artery obstruction caused by thoracic aortic dissection: a case with unique pathological findings. Circ J 2004;68:392-5.
Rau AN, Glass MN, Waller BF et al. Right pulmonary artery occlusion secondary to a dissecting aortic aneurysm. Clin Cardiol 1995;18:178-80.
Inoue Y, Takahashi R, Kashima I et al. Mediastinal hematoma: another lethal sign of aortic dissection. Interact Cardiovasc Thorac Surg 2009;8:275-6.