Fakta
Fakta
Abstract
Introduction: The aim of this study was to evaluate the long-term clinical outcome after computed tomography (CT)-guided radiofrequency ablation (RFA) in patients diagnosed with osteoid osteoma (OO) located in the upper and lower extremities.
Methods: The aim of this study was to evaluate the long-term clinical outcome after computed tomography (CT)-guided radiofrequency ablation (RFA) in patients diagnosed with osteoid osteoma (OO) located in the upper and lower extremities.
Results: The response rate was 52/60 (87%). Pain relief after the first RFA treatment was found in 46/52 (88%) of the patients and after re-RFA in 51/52 (98%) of the patients. One patient underwent open resection after RFA. No major complications occurred, and four patients reported minor complications in terms of small skin burn, minor skin infection and hypoesthesia at the entry point. In all, 50 of 52 (96%) patients reported to be “very satisfied” with the RFA treatment.
Conclusion:
Funding: not relevant.
Trial registration: The Danish Data Protection Agency approved the project with record number 2007-58-0010.
Osteoid osteoma (OO) is a benign bone tumour characterised by a small central nidus surrounded by sclerotic tissue. OO accounts for 10-12% of all benign bone tumours and 3% of all primary bone tumours [1]. Most commonly, OO occurs in children and young adults [2]. In more than 50% of the cases, the lesion occurs in the metaphysis and diaphysis of the long bones, especially in the femoral and tibial bone [2]. A high production of prostaglandins in the nidus has been reported in several studies [3, 4]; and cyclooxygenase-1 (COX-1) and cyclooxygenase-2 (COX-2) isozymes were shown to be expressed by the tumour tissue; both are responsible for protein processing in the prostaglandin biosynthesis pathway [3]. The high local prostaglandins production results in characteristic clinical symptoms of constant local pain, which is most severe at night. The pain may be relieved with COX-1 and COX-2 inhibitors, non-steroidal anti-inflammatory drugs (NSAID) or acetylsalicylic acid (ASA) [3, 4].
Other less common symptoms include growth disturbances, local swelling and bone deformity [5].
OO is a benign lesion with no potential for malignant transformation or metastasis [4].
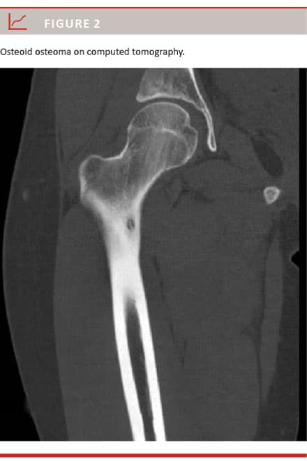
The radiological diagnosis is based on conventional radiography, the characteristic feature of which is an oval radiolucency area representing the nidus sur-
rounded by reactive bone sclerosis (Figure 1). The diagnosis may also be established by computed tomography (CT) where the characteristic appearance of OO is a low-attenuation nidus with a varying amount of bone sclerosis (Figure 2). Occasionally magnetic resonance imaging (MRI) and rarely bone scintigraphy are preformed to confirm the diagnosis [4, 6]. Bone scintigraphy is made with Tc-99-labelled diphosphonates, which accumulate in areas with increased osteoblastic activity and bone turnover and therefore have a markedly increased uptake in the nidus [4].
Long-term treatment with NSAID or ASA is problematic due to potential side effects [7]. In the past, surgical excision of the nidus was the first-choice treatment which came with a risk of damage to vessels and nerves as well as an increased risk of fracture due to bone resection [8]. Furthermore, prolonged rehabilitation and intraoperative difficulties with identification of the affected part of the bone have been described [9]. Several minimally invasive therapies have been developed [10-12]. Among these therapies is percutaneous radiofrequency ablation (RFA), which was introduced by Rosenthal et al in 1992 [13]. Reported complications after RFA are rare. However, studies have reported cases of skin burn, local skin area hypoesthesia, skin infection and breakage of the RFA access device [7, 8, 14].
In 1998, the treatment of OO with CT-guided RFA was introduced at Aarhus University Hospital, Denmark. The aim of the present study was to retrospectively evaluate the clinical outcome after CT-guided RFA in patients with OO performed from 1998 to February 2014 at Aarhus University Hospital.
METHODS
From 1998, RFA procedures were performed on all patients referred to Aarhus University Hospital with a typical clinical history and a radiologically confirmed diagnosis of OO, except for those OOs that were located in the spine. Between 1998 and February 2014, a total of 66 patients were treated with CT-guided RFA. All medical records in the population group were reviewed by clinical history, radiological imaging used to confirm the diagnosis, date of procedure, age at the time of treatment, and description of the treatment procedure and observed complications.
Assessment of the clinical effects was performed using a standardised questionnaire filled out through a telephone interview. The questionnaire consisted of 12 questions regarding pre- and post-radiofrequency treatment pain, duration of pain before treatment, impact of the pain on education or employment, family history of OO, time before pain relief, further treatment after the RFA, and complications due to the treatment and satisfaction with the treatment.
Table 1 presents the study population.
All RFA procedures were performed in general anaesthesia with the addition of local analgesia (i.e. lidocaine) at the entry point. Under CT-guidance, access to the nidus was made with a coaxial bone biopsy system (Bonopty, AprioMed). Ablation was performed with an electrode (Cool-tip RFA System, Covidien or Radionics electrode) for 6 minutes at 90 °C.
All RFA procedures were conducted by a total of three radiologists with special experience in the field of RFA in the Department of Radiology, Aarhus University Hospital. Patients treated in the lower limb were instructed to avoid strenuous activities, such as long-distance running, for three months due to the risk of stress fractures. No restrictions were given to patients treated in the upper limb.
Permission to obtain the patient data was given by the Danish Data Protection Agency.
Trial registration: The Danish Data Protection Agency approved the project with record number 2007-58-0010.
RESULTS
A total of 5 patients were excluded from the study because of a later revision of the OO diagnosis; one of these patients was diagnosed with osteoblastoma (OB), and one was diagnosed with chronic bone infection of a mild degree; in another two patients. a later open resection showed normal bone tissue with no sign of OO and no explanation was found for the patients’ pain; and, finally, one patient was later diagnosed with cartilage injury. One patient died of other causes before the time of follow-up. Eight patients could not be contacted for an interview and were therefore excluded, which left 52 patients for follow-up. Thus, the response rate was 52/60 (87%).
After one treatment with CT-guided RFA, we found clinical pain relief in 46/52 (88%) of the patients and this increased to 51/52 (98%) of the patients after re-RFA treatment.
Questionnaire results are presented in Table 2.
A total of 39 of 52 (75%) patients reported “severe pain” before RFA treatment, and 21/52 (40%) had limitations in their job or education due to the pain. In all, 45 of 52 (86%) experienced pain for more than 6 months and 26/52 (50%) experienced pain for more than 1 year before receiving treatment.
The majority of the patients reported some pain in the days following the procedure. However, 47/52 (90%) were pain-free within seven days after the RFA treatment. Fifty of 52 (96%) reported to be “very satisfied” with the RFA treatment.
Six patients had to go through repeated treatment after their first RFA treatment. Four patients became pain-free after their second RFA treatment. One patient became pain-free after four RFA treatments. In this case, the radiological imaging showed two OOs in close relation.
A single patient had no pain relief after RFA treatment and needed surgical resection: In a 4-year period before the initial treatment, the patient experienced pain in the right femur. A CT showed OO in the right femur with a nidus size of 6 × 13 mm. RFA was made without any effect on the patient’s pain. A follow-up CT showed a correct burning point and, because of the relatively large nidus, it was decided to offer the patient an open resection. This was done and the patient became pain-free. The histology showed OO.
Two patients did not achieve complete pain relief after RFA and reported “some pain relief” in the questionnaire. Neither of these two patients needed analgesics after the treatment. At the follow-up consultations, there were no signs of residual or recurrent OO and therefore no further treatment was necessary.
Four patients reported minor complications. One patient experienced skin infection at the cannula entry point, one patient had a skin burn at the entry followed by minor skin infection. Both were successfully treated with oral antibiotics. Another patient had a small skin burn that persisted after 6 months; no antibiotic treatment was necessary. Finally, one patient complained about a small “bump” on the treated bone and reduced sensibility in the area of entry.
In one patient, the follow-up X-ray showed metal shavings at the burning point, the patient was pain-free after one RFA treatment and no further treatment was indicated.
DISCUSSION
The results from the present study are in accordance with those reported from other studies; Rehnitz et al found a primary clinical success rate of 74/77 (96%) and 77/77 (100%) after retreatment with RFA [7]. Other studies found primary success rates ranging from 75% to 92%; and after re-RFA, treatment success rates from 88% to 97% were reported [5, 8, 15, 16].
Open resection was made after unsuccessful RFA in a single patient. The lack of effect may have been due to the large size of the nidus. A successful RFA treatment could possibly have been obtained with the use of more than one needle to cover the entire volume as shown by Rehnitz et al [7].
A recent in vitro study by Greenberg et al [9] addressed this problem and proposed a formula to predict the expected temperature in cortical and cancellous bone during ablation of tumours less than 10 mm in
diameter: T is the expected temperature in the bone (°C), D is the diameter of the tumour (mm) and DFE is the distance (mm) from the edge of the tumour to the point in question.
Cortical bone: T = 43.051 + 1.965 × D – 17.335 × log(DFE)
Cancellous bone: T = 72.249 + 2.66 × D – 47.246 × log(DEF)
No rise in temperature was seen at distances beyond 12 mm from the edge of the tumour in cortical bone regardless of the tumour size, and this distance was defined as a safety margin. With application of the above-mentioned formula, we may be able to estimate whether a given vulnerable structure, such as nerve, cartilage or skin located at a known distance from the tumour, is expected to reach a potentially damaging temperature.
One of the patients in our study who experienced a skin burn complication to the RFA treatment had OO in the tibia diaphysis located 3.2 mm from the skin and had a tumour diameter of 6.0 mm. By applying the formula in this case, the skin would reach a temperature of 46 °C degrees which would cause the skin burn.
The other patient reporting a skin burn had OO located less than 12 mm from the skin, defined as a safe margin. However, during the procedure, it was suspected that the inducer did not connect tightly to the bone; the electrode was removed when it was still hot, and this may have caused the minor skin burn.
The patient who experienced reduced sensibility in the skin around the entry point had OO localised in the tibia diaphysis with a diameter of 8 mm and in close relation to the subcutaneous tissue and the skin. In accordance with the formula, it is plausible that the tissue containing the cutaneous nerve branches had reached a temperature that caused irreversible damage to the cutaneous nerve branch.
Eighty-six percent of the patients had pain for more than 6 months prior to the treatment, and 50% of the patients had pain for more than one year before receiving treatment. Moreover, many of the patients experienced limitations in their job and education. Some of the patients had frequently consulted their private physician with pain-related problems and many were wrongly diagnosed despite growing pain. This indicates the need for reducing the time from first symptom until treatment.
Patients diagnosed with OO located in the spine did not receive RFA treatment. Open resection was performed because of the close relation to the vertebral artery, spinal cord or nerve roots. As described by Greenberg et al, we may be able to use the formula to predict whether ablation can be carried out safely in OO located in the spine. Recent studies show that RFA can be used as a safe and effective treatment of OO and OB in close proximity to the spinal canal [6, 17, 18]. This is supported by the ex vivo study by Greenberg et al [9], who found that no temperature rise was seen beyond 12 mm from the edge of cortical tumours of any size.
A single patient treated with RFA had osteoblastoma (OB) with a nidus size of 23.8 mm and was excluded from the study population. Histologically, OB is closely related to OO, but has a nidus size larger than 20 mm [4]. Clinically, the symptoms of OB are pain, which is usually described as more dull, aching and progressive in intensity compared to pain accompanying OO. Typically, the OB pain is not resolved effectively with NSAID and is not generally most severe at night as in OO [4]. Other studies have found good results with RFA treatment of OB [7], but care should be taken to cover the entire volume given the larger nidus.
The long duration from treatment to the follow-up questionnaire, for some patients up to 16 years, represents a clear limitation in the study design in terms of recall bias. Eight patients were lost to follow up and this represents a bias. Several patients with OO in the study period were not treated with RFA because of a tumour localisation close to cartilage or nerve structures. Due to the risk of damaging these structures, these patients were offered treatment with open resection instead. The decision on treatment modality was made from case to case. and there were no defined clear margin from the tumour to sensitive structures for RFA as treatment choice.
In case of uncertain diagnosis of OO based on clinical findings and imagining, it is preferable to obtain a definite histological confirmation. Biopsy should always be performed in patients with expansive or aggressive tumours to rule out malignancy.
CONCLUSION
This study shows that CT-guided RFA is a safe and effective treatment of OO located outside the spine, it has good clinical effect and a high level of patient satisfaction, and it yields robust pain relief and improvement in quality of life. The complications associated with surgery such as the risks of damage to major vessels and nerves are practically eradicated with this procedure. RFA should be the treatment of choice for most OO with typical symptoms and radiological findings.
Correspondence: Morten Knudsen, Ortopædkirurgisk Afdeling, Aarhus Universitetshospital, Nørrebrogade 44, 8000 Aarhus C, Denmark. E-mail: mortknud@rm.dk
Accepted: 23 February 2015
Conflicts of interest:Disclosure forms provided by the authors are available with the full text of this article at www.danmedj.dk
ACKNOWLEDGEMENTS: Niels Egund for his contribution to the introduction of CT-guided RFA treatment of OO at Aarhus University Hospital.
Referencer
REFERENCES
Greenspan A. Benign bone-forming lesions: osteoma, osteoid osteoma, and osteoblastoma. Clinical, imaging, pathologic, and differential considerations. Skeletal Radiol 1993;22:485-500.
Peyser A, Applbaum Y, Simanovsky N et al. CT-guided radiofrequency ablation of pediatric osteoid osteoma utilizing a water-cooled tip. Ann Surg Oncol 2009;16:2856-61.
Mungo DV, Zhang X, O’Keefe RJ et al. COX-1 and COX-2 expression in osteoid osteomas. J Orthop Res 2002;20:159-62.
Atesok KI, Alman BA, Schemitsch EH et al. Osteoid osteoma and osteoblastoma. J Am Acad Orthop Surg 2011;19:678-89.
Asayama Y, Nishie A, Ishigami K et al. CT-guided radiofrequency ablation of osteoid osteoma in the long bones of the lower extremity. World J Radiol 2012;4:278-82.
Klass D, Marshall T, Toms A. CT-guided radiofrequency ablation of spinal osteoid osteomas with concomitant perineural and epidural irrigation for neuroprotection. Eur Radiol 2009;19:2238-43.
Rehnitz C, Sprengel SD, Lehner B et al. CT-guided radiofrequency ablation of osteoid osteoma and osteoblastoma: Clinical success and long-term follow up in 77 patients. Eur J Radiol 2012;81:3426-34.
Cioni R, Armillotta N, Bargellini I et al. CT-guided radiofrequency ablation of osteoid osteoma: Long-term results. Eur Radiol 2004;14:1203-8.
Greenberg A, Berenstein Weyel T et al. The distribution of heat in bone during radiofrequency ablation of an ex vivo bovine model of osteoid osteoma. Bone Joint J 2014;96-B:677-83.
Gangi A, Dietemann JL, Gasser B et al. Interventional radiology with laser in bone and joint. Radiol Clin North Am 1998;36:547-57.
Sanhaji L, Gharbaoui IS, Hassani RE et al. A new treatment of osteoid osteoma: Percutaneous sclerosis with ethanol under scanner guidance. J Radiol 1996;77:37-40.
Sans N, Galy-Fourcade D, Assoun J et al. Osteoid osteoma: CT-guided percutaneous resection and follow-up in 38 patients. Radiology 1999;212:687-92.
Rosenthal DI, Alexander A, Rosenberg AE et al. Ablation of osteoid osteomas with a percutaneously placed electrode: A new procedure. Radiology 1992;183:29-33.
Widmann G, Jaschke W, Bale R. Case report: Third-degree skin and soft tissue burn after radiofrequency ablation of an osteoid osteoma guided through a triple-crown biopsy cannula. Skeletal Radiol 2012;41:1627-30.
Hoffmann RT, Jakobs TF, Kubisch CH et al. Radiofrequency ablation in the treatment of osteoid osteoma-5-year experience. Eur J Radiol 2010;73:374-9.
16. Daniilidis K, Martinelli N, Gosheger G et al. Percutaneous CT-guided radio-frequency ablation of osteoid osteoma of the foot and ankle. Arch Orthop Trauma Surg 2012;132:1707-10.
Dupuy DE, Hong R, Oliver B et al. Radiofrequency ablation of spinal tumors: Temperature distribution in the spinal canal. AJR Am J Roentgenol 2000;175:1263-6.
Laus M, Albisinni U, Alfonso C et al. Osteoid osteoma of the cervical spine: Surgical treatment or percutaneous radiofrequency coagulation? Eur Spine J 2007;16:2078-82.