Fakta
Fakta
Abstract
Introduction: Otogenic brain abscess (OBA) is a rare complication to otitis media, but one with a potentially devastating outcome. Early diagnosis of OBA is crucial for successful treatment. The objective of this study was to determine the incidence of OBA in a Danish population and to describe its clinical manifestation, management and outcome.
Material and methods:A total of 93 patients were retrospectively enrolled by diagnosis codes for brain abscess from 1999 to 2010. Records were reviewed to register age, symptoms, clinical findings, co-morbidity, imaging, microbiology and treatment.
Results:Seven were found to have had an otogenic focus of infection. The incidence of OBA was 1/million, and the mean age was 43 years, ranging from ten to 81 years. Five patients had acute otitis media and two had infectious cholesteatoma. Four had previously suffered a head trauma. The young patients presented with symptoms indicative of meningitis and the elderly patients with symptoms resembling a stroke. None of the patients were treated with antibiotics before admission to hospital. No mortalities occurred, but three had sequelae in the form of hearing loss and/or neurological impairment.
Conclusion:The OBAs manifested with symptoms mimicking meningitis in young patients and stroke in elderly patients. Absence of fever does not rule out OBA; and regardless of any present ear symptoms, an ear nose and throat examination should be performed without delay to locate the focus of infection and to facilitate targeted treatment. Funding: not relevant.
Trial registration: not relevant.
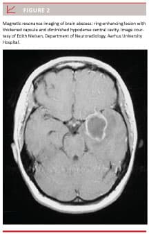
Acute otitis media (AOM) (Figure 1) is one of the most frequent paediatric diseases, but the condition may also occur among adults. Cholesteatoma is a much less common middle ear disease with onset in childhood or adulthood. Usually, the course of both AOM and cholesteatoma is benign, at least in developed countries with high socio-economic standards and easy access to health services [1]. However, due to the close anatomical proximity of the middle ear cleft and the brain, the infection can spread to intracranial structures, and otogenic meningitis or even brain abscess (BA) (Figure 2) may develop [1, 2].
Before the days of treatment with sulphonamides or antibiotics, BAs were almost invariably fatal [3]. In the 1950s, at least one out of four BAs were fatal despite access to penicillin and surgical treatment [4]. The outcome of a BA has improved dramatically in the past decades due to the development in diagnostic techniques, broad-spectrum antibiotics and neurosurgery [5].
Nowadays, otogenic brain abscesses (OBAs) are rare in the Western countries, but does this mean that the threat of this devastating complication belongs to the past?
Being so rarely encountered by clinicians, and because the clinical manifestation of OBA often has an
insidious nature and thus blurs the diagnosis, there
is a considerable risk of delay of correct treatment. Knowledge about how to identify the clinical warning signs and symptoms is therefore important.
The aim of this study was to determine the incidence of OBA in a Danish population and to describe its clinical presentation, management and outcome.
MATERIAL AND METHODS
The study was conducted at the Department of Neurosurgery at Aarhus University Hospital, Denmark. Because all patients with a brain abscess are transferred to this department for neurosurgical evaluation and treatment, an in-patient database was queried here for the International Classification of Diseases (ICD)-10 diagnostic codes ”abscessus cerebri” and ”abscessus et granuloma intracraniale”, from 1999 to 2010. Medical records were reviewed in order to identify and confirm the diagnoses, and to obtain demographic data. Information about the patients was also retrieved from otological examination descriptions, and determination of an otogenic origin was based on at least two of the following: 1) otologic examination indicative of AOM or cholesteatoma,
2) history of ear disease prior to admission, 3) magnetic resonance imaging (MRI) showing middle ear opafication or mastoid opacification, 4) no competing focus of infection.
Trial registration: not relevant.
RESULTS
A total of 93 patients with brain abscesses were identified of whom seven (7.5%) were otogenic. In 62 cases (66.7%), another focus of infection was found, but the origin of infection remained unknown in 24 (25.8%)
cases. The incidence of OBA during the 12-year period was 1/million per year, and the mean age was 43.4 years (10-81 years). The male/female ratio was 6:1, and the one female included was also the oldest of the seven patients. Five cases were associated with AOM, whereas cholesteatoma with infection was found in two cases.
In both cases, cholesteatoma was unrecognised before admission.
Clinical presentation
The patients presented with diffuse clinical symptoms and signs such as general malaise, altered state of consciousness, headache, aphasia and vestibular impairment and various focal neurological deficits, and the time from first admission to correct diagnosis ranged from days to several weeks (Table 1). Confusion, aphasia and vestibular impairment were more prominent in the elderly patients (62-81 years). In the young patients
(10-23 years), headache was the more prominent symptom, along with vomiting/nausea nuchal rigidity and photophobia.
Headache was present in four cases and described as localised frontally, intermittent headache, severe one-sided headache and unspecified headache.
Otalgia was present in four cases: Three cases were associated with AOM and had had symptoms for 5-14 days, and one patient with cholesteatoma experienced fever and ear discharge a few days prior to admission, following six months of suffering from confusion, vertigo and general malaise.
Common for the three patients without classic otalgia, was damaged cranial bone structure caused by:
1) head injury involving the middle ear, 2) sarcoma with destruction of bone tissue in the fronto-temporal region and 3) erosion of bone due to cholesteatoma.
One patient only had middle-ear-related symptoms during the preceding year in terms of Eustachian tube dysfunction leading to chronic otitis media. He attended a private otologist every three months, but his cholesteatoma eroding the tegmen was undetected.
On admission, one patient was subfebrile (37.1-37.8 °C), two were febrile (37.9-38.4°C) and four ran high fevers (> 38.5 °C). In two cases, C-reactive protein (CRP) values were normal (< 10 mg/l), three had moderately elevated values (14-73 mg/l) and values were highly elevated (236-237 mg/l) in two cases.
Management
MRI was made in all cases (7/7). MRI revealed BA location along with opacification of the mastoid (6/7) and middle ear (2/7) (Table 2).
None of the patients were treated with antibiotics before admission. Intravenous treatment was commenced either before or after surgical drainage depending on the patient’s condition. In six cases, metronidazole was part of the treatment recommended by the microbiologists.
A pathological agent in BA specimens was found in three cases, all involving streptococcus species.Two patients were only treated conservatively for their BA and thus no specimens were collected. The samples from the remaining two cases yielded no growth. None of the specimens from the middle ear or mastoid provided an aetiological agent. However, all patients had received large amounts of antibiotics at the time of microbiological sampling from the middle ear and mastoid.
Surgical drainage of the BA was omitted in two
cases because of improved clinical condition owing to successful antibiotic therapy. The remaining five BAs were surgically drained: One by craniotomy, three by aspiration with subsequent resection of the mastoid, and one by aspiration and resection of the mastoid in a single session.
No mortalities were caused by OBA. One patient with Ewing’s Sarcoma died from the sarcoma six months after BA treatment. The youngest patient recovered without sequelae. Three suffered from neurological impairment and hearing loss of various severity, and in the last three cases information about sequelae was unobtainable.
DISCUSSION
The observed 7.5% fraction of BAs with an otogenic focus is lower than the percentage observed in other
studies where percentages up to 46% have been reported [6-8]. This variability is likely to reflect differences in the occurrence and management of middle ear diseases in different geographical areas. Nevertheless, underreporting may have occurred in our study due to the large group with ”unknown focus” (25.8%). Many tentative diagnoses were proposed before diagnosing the BA; and in the subsequent search for an origin of infection, the possibility of an otogenic focus was not considered until late in the process, which could also make one suspect that a considerable number of BAs of sinogenic origin may be contained in the “unknown” group. Primarily
odontogenic infection or endocarditis were suspected to be the origin of infection, which explains the often delayed otologic examinations, which in many cases were not performed until several days or even up to one month of intensive antimicrobial treatment had passed. In fact, records of otologic inspection and anamnesis were sparse in general. Combined with a considerable risk of obtaining a falsely negative otologic examination on first admission when this was not performed by an otologist [9] (as was seen with patients one and seven), these are factors likely to have decreased the number of OBAs in this study.
Nevertheless, four out of seven cases occurred within the past three years of the twelve-year period, which may indicate an improvement of diagnostics
rather than an increase in incidence.
Due to the high incidence of AOM in young children and the general notion that AOM is more likely to be associated with intracranial complications than cholesteatoma in developed countries, a young group of OBA patients should be expected [1]. Yet the mean age in this study was 43 years, and there were no OBA patients below the age of ten years. Thus, the ”classic” AOM patient, aged 0-4 years, was not represented in our population.
Symptoms on admission refer to the symptoms presented at the initial receiving department, because this is where suspicion of BA should lead to referral to a
neurosurgical unit.
Several studies have pointed out the issue of antibiotics masking the symptoms of BA and complicating diagnostics [10, 11]. In this study, no patients had received antibiotics at the time of admission. This means that the symptoms described in this study were not influenced by antibiotics, yet diagnostics still posed a challenge, which led to delay of appropriate treatment.
Despite the indistinct clinical pictures, some commonalities in symptoms did appear. The younger patients presented with headache, nuchal rigidity, nausea, vomiting and general malaise: symptoms and findings otherwise indicative of meningitis. The older patients presented with aphasia, confusion, facial nerve palsy, vertigo and positive Babinski´s sign. These symptoms are consistent with those of a stroke, which was initially suspected in all the elderly patients. In accordance with previous studies, fever was absent in more than half of the cases [12]. The wide range in body temperature and CRP values encountered in this study, suggests a low predictive value of whether or not a BA is present.
The finding of a ring-enhancing lesion by CT with contrast or MRI is essential in confirming the OBA diagnosis. All the OBAs in the present study were confirmed with MRI. Differential diagnoses with ring-enhancing lesions are necrotic glioblastomas and cystic metastatic brain tumours. Distinction has improved by using diffusion-weighted MRI where Bas, as opposed to tumours, are indicated by hyperintensity [13, 14]
The delayed diagnostics combined with on-going antimicrobial treatment at the time of swab collection may well have contributed to the sparse information about microbiologic agents. In addition, the species found are likely to have been selected due to antibiotics. The lack of microbiological knowledge calls for collection of material from both abscess and primary focus of infection whenever possible in order to target antibiotic therapy.
The OBA patients had a high occurrence of co-morbidity which is associated with greater susceptibility to infectious disease, substance dependence, cardiovascular disease and cancer. Predisposing factors in terms of history of ear disease and head trauma were found in more than half of the cases. Several studies have found males to be predominantly affected by OBA [12, 15-17], which is consistent with the 6:1 male/female ratio of the present study.
The fact that none of our patients died from OBA is in agreement with the low mortality rates reported in contemporary studies [8, 18]. The frequent occurrence of sequelae does, however, elucidate the need for proper audiologic and neurologic follow-up in the course following an OBA.
CONCLUSION
The present study confirms that OBAs still constitutes a severe threat of morbidity. Early diagnostics and treatment in a multidisciplinary setting are immensely important in order to reduce the risk of this devastating complication, and antimicrobial treatment should be commenced within a few days if the AOM does not resolve. It is equally important to recognise the possibility of an ear focus when a young patient presents with diffuse symptoms resembling meningitis, or an elderly patient presents with symptoms consistent with a stroke, whether or not any classic ear symptoms are present.
Red flags should be raised in the primary sector, and an OBA should be suspected when patients present with impaired consciousness, headache, neurological deficits, a history of ear disease or if they suffered a head trauma prior to admission. Because of the difficulties in clinical diagnosis of BA, neuroimaging is essential. Therefore, a contrast CT or preferably an MRI should be done on suspicion.
A thorough otologic history and examination should be performed without delay, and preferably by an otologist, in order to locate the focus of infection.
Recognising an OBA remains a challenge, and more research on this subject is required (Figure 3).
Correspondence: Tina Kissow Lildal, Øre-næse-hals-afdelingen,
Aarhus Universitetshospital, Nørrebrogade 44, 8000 Aarhus C, Denmark.
E-mail: kissow@hotmail.com
Accepted: 19 March 2014
Conflicts of interest:Disclosure forms provided by the authors are available with the full text of this article at www.danmedj.dk
Referencer
REFERENCES
Browning G, Luxon LM. The ear, hearing and balance. In: Gleeson MJ, Browning G, Burton MJ et al, eds. Scott-Brown’s otorhinolaryngology, head and neck surgery. 7th ed. London: Taylor & Francis, 2008:3385.
Korsholm J, Kristensen RN, Heslop A et al. Sequelae and death following pneumococcal meningitis. Ugeskr Læger 2009;171:1481-5.
Treatment of brain abscess. Br Med J 1952;2:871-2.
Jooma OV, Pennybacker JB, Tutton GK. Brain abscess: aspiration, drainage, or excision? J Neurol Neurosurg Psychiatry 1951;14:308-13.
Beller AJ, Sahar A, Praiss I. Brain abscess: review of 89 cases over a period of 30 years. J Neurol Neurosurg Psychiatry 1973;36:757-68.
Prasad KN, Mishra AM, Gupta D et al. Analysis of microbial etiology and mortality in patients with brain abscess. J Infect 2006;53:221-7.
Penido Nde O, Borin A, Iha LC et al. Intracranial complications of otitis media: 15 years of experience in 33 patients. Otolaryngol Head Neck Surg 2005;132:37-42.
Sharma R, Mohandas K, Cooke RP. Intracranial abscesses: changes in epidemiology and management over five decades in Merseyside. Infection 2009;37:39-43.
Holmberg K, Axelsson A, Hansson P et al. The correlation between otoscopy and otomicroscopy in acute otitis media during healing. Scand Audiol 1985;14:191-9.
Kraus M, Tovi F. Central nervous system complications secondary to oto-rhinologic infections. An analysis of 39 pediatric cases. Int J Pediatr Otorhinolaryngol 1992;24:217-26.
Petersen CG, Ovesen T, Pedersen CB. Acute mastoidectomy in a Danish county from 1977 to 1996 with focus on the bacteriology. Int J Pediatr Otorhinolaryngol 1998;45:21-9.
Couloigner V, Sterkers O, Redondo A et al. Brain abscesses of ear, nose, and throat origin: comparison between otogenic and sinogenic etiologies. Skull Base Surg 1998;8:163-8.
Leuthardt EC, Wippold FJ, 2nd, Oswood MC et al. Diffusion-weighted MR imaging in the preoperative assessment of brain abscesses. Surg Neurol 2002;58:395-402,discussion 402.
Mascalchi M, Filippi M, Floris R et al. Diffusion-weighted MR of the brain: methodology and clinical application. Radiol Med 2005;109:155-97.
Alaani A, Coulson C, McDermott AL et al. Transtemporal approach to otogenic brain abscesses. Acta Otolaryngol 2010;130:1214-9.
Bento R, de Brito R, Ribas GC. Surgical management of intracranial complications of otogenic infection. Ear Nose Throat J 2006;85:36-9.
Miura MS, Krumennauer RC, Lubianca Neto JF. Intracranial complications of chronic suppurative otitis media in children. Braz J Otorhinolaryngol 2005;71:639-43.
Szyfter W, Kruk-Zagajewska A, Borucki L et al. Evolution in management of otogenic brain abscess. Otol Neurotol 2012;33:393-5.