Abstract
Implementation of ultrasound-guided carpal tunnel release
INTRODUCTION. Ultra-minimally invasive ultrasound-guided carpal tunnel release is a surgical procedure for treatment of carpal tunnel syndrome that is associated with less surgery-related morbidity and faster recovery than open surgery. The objectives of this study were to describe how the surgical technique may be acquired and to report the results obtained after implementation in a clinical setting.
METHODS. The study consisted of two parts: 1) description of the surgical skills needed to perform the procedure, and 2) evaluation of the procedure in the first ten consecutively operated patients after 12-month follow-up using questionnaires and magnetic resonance imaging (MRI).
RESULTS. The procedure was performed on 29 cadaveric arms and assessed regarding surgical release success and signs of iatrogenic damage. Subsequently, the procedure was performed on ten patients with carpal tunnel syndrome. The results of the six-item Carpal Tunnel Symptoms Scale (1-5) improved from 3.3 ± 0.9 (mean ± standard deviation) preoperatively to 1.2 ± 0.3, p = 0.002, after 12 months. Quick Disabilities of the Arm, Shoulder and Hand (DASH) (0-100) results improved from 33.4 ± 14.8 to 2.3 ± 4.0, p = 0.002. There were no infections or iatrogenic damage to nerves or blood vessels.
CONCLUSIONS. This study presents a way to safely acquire the skills needed to perform the procedure and implement it in an out-patient setting. The results were comparable to previous findings regarding both effectiveness and safety. MRI documented the surgical gap in the transverse carpal ligament, release length, cross-sectional area changes in the carpal tunnel and median nerve, and reactive changes in the carpal tunnel.
FUNDING. None.
TRIAL REGISTRATION. Not relevant.
The carpal tunnel syndrome (CTS) diagnosis is traditionally based on the patient’s history, physical examination and electrodiagnostic testing [1, 2]. Treatments span from observation and splinting, over glucocorticoid injection, to surgical carpal tunnel release (CTR) with open CTR being the most common procedure [3]. Ultrasound (US)-guided CTR with use of smaller incisions has been introduced to reduce surgery-related morbidity and subsequently speed up recovery [4-7]. This procedure has several benefits for the patient, hospital and society. The surgical procedure time is short and the procedure may be performed in an outpatient ambulatory setting thus increasing patient turnover. Furthermore, the return-to-work recovery time is only seven days [5, 6, 8, 9].
Rojo-Manaute et al. introduced and documented the effectiveness of ultra-minimally invasive US-guided CTR (UMIU-CTR) with retrograde release of the transverse carpal ligament (TCL) using a hook knife [7, 10, 11]. The term “ultra-minimally invasive” refers to the limited tissue damage ensured by the procedure: a 1 mm incision port and the retaining of the fascial layer directly palmar to the TCL [7, 10, 11].
Magnetic resonance imaging (MRI) and US may be used to support the clinical diagnosis [12, 13]. In addition, MRI has been used to evaluate the surgical procedures, whereas US plays a role in the UMIU-CTS treatment by guiding the surgical instruments [6, 14].
Our objectives were to describe how the skills needed to learn the UMIU-CTR procedure are acquired and to describe the implementation of the procedure in a Danish hospital setting using patient-rated outcome measures and MRI.
METHODS
Study design and participants
This was a two-part study. Part one was acquisition of the required skills to perform the UMIU-CTR procedure. Part two was the implementation in an outpatient hospital setting with 12-month follow-up, including patient-rated outcome questionnaires and MRI.
Part 1: skill acquisition
A rheumatologist (TPK) with 12 years of experience with musculoskeletal US and US-guided injections was assigned to the project and had the procedure demonstrated by dr. Rojo-Manaute. At the Department of Biomedicine at Aarhus University, the UMIU-CTR procedure was practiced on cadavers [11, 15, 16]. Over a period of 12 months, the procedure was conducted in 29 arms (2-5 arms at each visit), Figure 1A. The cadavers were unembalmed, either fresh or preserved frozen. An anatomy doctor (HD) was present during the training. After each procedure, the carpal tunnel was dissected along the radial side with a longitudinal incision, releasing the TCL. Then the carpal tunnel could be opened for inspection of nerves, vessels and the profound side of the TCL. Special attention was given to the median nerve with its distal branches, the thenar motor branch, artery and veins of the superficial palmar arch, and whether the procedure was performed as intended between the median nerve and the canal of Guyon (Nakamichi’s safe zone) [11, 15-17]. Finally, the release of the TCL was assessed in its full length (Figure 1B) [7, 11]. We found no signs of nerve/vessel damage. Initially, we did observe cases with incomplete release of the TCL with skipped areas where no cuts could be identified.
Part 2: procedure implementation
One physician (TPK) was assigned to perform the clinical examination including US and verification of the diagnosis and also conducted the inclusion and treatment procedures. Between January 2019 and May 2020, 30 patients with CTS were assessed for eligibility and indication for surgery. Ten patients were included in the study.
The inclusion criteria were: disease duration > 6 months, a positive nerve conduction study (NCS), failure of conservative treatment and constant/unacceptable CTS symptoms. Symptoms included numbness and tingling mainly in the thumb and radial fingers, aching and pain in the anterior wrist and forearm.
The exclusion criteria were: age < 18 years, hand disorders/malformations/injury, CTS surgery, no CTS injection with corticosteroid within six months and secondary CTS.
Sonographic evaluation
A high-end US scanner (Ascendus, Hitachi Medical Systems, Tokyo, Japan) with an 18 MHz linear transducer was used for the pre-operative examination. A portable US scanner (Arieta Proloque, Hitachi Medical) with an 18 MHz linear transducer was used for the UMIU-CTR during cadaver training and in the patient-operative setting alike.
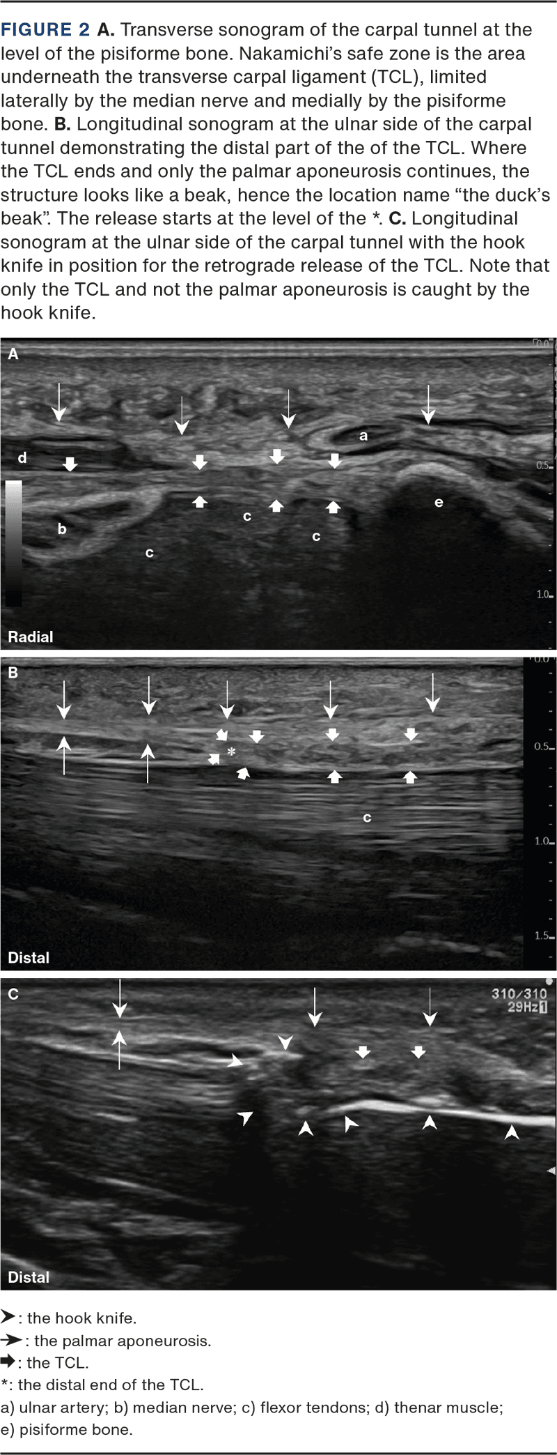
During the preoperative US, the carpal tunnel was assessed prior to the UMIU-CTR to identify the landmarks needed to perform the intervention, anatomic variations (like a bifid median nerve) and unexpected nerve branches/small vessels (like a looped thenar motor branch), see Figure 2A and B. US intervention details are described in Supplementary Material Appendix A, pages 2-5.
Evaluation by magnetic resonance imaging
The MRI scanner was a Siemens Skyra 3 Tesla System with a dedicated hand and wrist coil with 16 receiver channels. MRI sequence parameters are presented in Supplementary Material Appendix D, page 1.
Interventions
The intervention is described in Supplementary Material Appendix A, pages 2-5.
Outcomes
Primary outcomes
To compare the results of this study to similar trials, we chose:
The six-item CTS Symptoms Scale (CTS-6)
The Quick Disabilities of the Arm, Shoulder and Hand (DASH) instrument.
These outcomes (for a detailed description see Supplementary Material Appendix B) were assessed at baseline and at clinical follow-up after one, two, three and six months, and, finally, by phone after 12 months.
Secondary outcomes
Secondary outcomes regarding post-operative pain are listed below and described in detail elsewhere (Supplementary Material Appendix B):
The two-item Palmar Pain Scale. Assessed at one, two, three, six and 12 months
Average surgery-related pain during the first week assessed by phone interview.
An MRI evaluation was performed at baseline and at one and 12 months.
Safety: any reported side effects were noted.
Data evaluation
Magnetic resonance imaging analyses
The TLC gap width was measured at one and 12 months (Supplementary Material Appendix D, Figures 3A-C) and gap visibility was assessed at 12 months [6, 14]. The length of the ligament release and whether the ligament release was complete were assessed after one month [6, 14].
At baseline and after one and 12 months, the following were assessed: presence of reactive changes (soft tissue oedema) within the carpal tunnel, the cross-sectional area (CSA) of the median nerve measured at the carpal tunnel inlet (at the level of the radial styloid process) and intratunnel at the level of the hook of hamate (Supplementary Material Appendix D, Figures 4A-B) [6, 14]. The CSA of the carpal tunnel was assessed at the line joining the hook of hamate and the trapezium tubercle. Finally, the shortest distance between the hook of hamate and the trapezium tubercle was measured (Supplementary Material Appendix D, Figures 4C-D).
Statistics
The differences from baseline to the various post-operative time points were calculated based on Wilcoxon signed-rank tests. The statistical software used was Microsoft Excel 2019 with the add-in tool pack Analyse-It® (Version 4.65.3, Analyse-it Software Ltd, Leeds, UK).
Approval
The project was assessed by the Central Denmark Region Committees on Health Research Ethics, case no. 1-10-72-1-19. However, as a quality assessment study, it did not require the approval from the committee system. The project was also reported to the Danish Data Protection Agency through the Central Denmark Region, but did not require registration, case no. 1-16-02-4-19. All participants provided informed consent. The study was conducted in accordance with Danish law and in pursuance of the Declaration of Helsinki.
Trial registration: not relevant.
RESULTS
Ten patients were included in this study. The baseline characteristics are presented in Supplementary Material Appendix A, page 1 . The outcomes based on CTS-6 and Quick DASH are presented in Table 1.
Magnetic resonance imaging
MRI data from nine patients were acquired (mean ± standard deviation) 3.5 ± 3.1 weeks (baseline scan) before the UMIU-CTR. Post-operative data from all ten patients were acquired 4.8 ± 2.4 weeks (one-month scan) and data from nine patients were acquired 60.7 ± 16.7 weeks (12-month scan) after the surgical procedure.
A summary of the MRI analyses is provided in Table 2.
Safety
There were no infections and no signs of iatrogenic flexor tendon or median nerve injury, including the thenar motor branch.
Missing data
Last observation carried forward was applied for missing data except in case of missing baseline data where the specific comparative data were omitted. One participant failed to complete the questionnaires at two and three months. One participant had no baseline MRI, whereas another missed the 12-month scan. Finally, single cases of motion artifacts were observed on some image series at baseline, one month and 12 months.
DISCUSSION
This study described how to acquire the skills needed to perform the UMIU-CTR technique and how to implement the procedure in a clinical setting.
US skills and anatomical insight into the structures in the carpal tunnel are essential to safely undertake this procedure. Handling the surgical equipment (the hook knife) under US guidance requires practice, and the cadaver exercises proved to be an effective way to acquire these skills. Each step in the procedure is technically challenging and needs specific practice with many repetitions. Learning how to get back on track if a mistake is made in hook knife positioning/advancement is a skill that should be practiced, and here cadaver training is valuable. Mittal and Dekimpe et al. described the value of training and gradually perfecting the technique [15, 18]. However, a potential limiting factor for the generalisability of UMIU-CTR may be the technical practice needed to perform the intervention.
Our aim was to evaluate and document the results of the first ten operations and match our results to those reported in larger trials. The participants were slightly younger and had longer disease duration than in previous UMIU_CTR trials [6, 7]. On average, the participants had moderate to severe NCS changes. The disease-specific CTS-6 demonstrated baseline values similar to those reported from other studies, whereas the Quick DASH values were lower (mean 33.4) than those of other trials with values around 50 [7]. The observed difference in the less disease-specific Quick DASH was most likely related to the small sample size and the fact that two participants reported few symptoms. Based on CTS-6 and Quick DASH results, the symptoms were reduced significantly already at the one-month follow-up, and this effect was maintained for the entire observation period.
Three patients were not 100% asymptomatic after 12 months, which is reflected in the outcome measures even though the average end-of-study measurements were close to “no symptoms”. The details of these three patients are described in Supplementary Material Appendix C.
Compared to the two larger studies on the current technique, we observed the same course of symptom remission and end-of-study results. The RCT by Rojo-Manaute et al. compared mini-open CTR to UMIU-CTR [7]. In two groups of 46 participants, they found that UMIU-CTR provided earlier functional return at less post-operative morbidity, but with the same neurologic recovery as mini–open CTR. Petrover et al. followed 119 patients for six months after UMIU-CTR but without a control group [6]. The pattern of symptom improvement was similar regarding the time needed to observe improvement (one month) and the degree of symptom reduction. No studies have compared UMIU-CTR to arthroscopic CTR. It would be of interest to compare two procedures with less surgery-related comorbidity in terms of recovery time and cost effectiveness.
Safety is an important aspect when introducing a new surgical technique. As in the studies by Rojo-Manaute et al. and Petrover et al., we found no iatrogenic damage to important structures, including the thenar motor branch [6, 7].
We observed a varying degree of post-operative pain. This ranged from almost no pain, one participant being able to go to the gym and lift weights within the first week after surgery, to another participant who experienced moderate to severe pain during demanding manual work for the first eight weeks. People experience post-operative pain differently, which may explain some of the ongoing post-operative pain seen in the palmar pain scale (see Table 1). Another issue relates to the degree of retaining of the fascial layer directly palmar to the TCL. In the UMIU-CTR technique, only the TCL should be released. This contrasts to open CTR, where all layers are sectioned. As discussed by Rojo-Manaute et al., the palmar aponeurosis directly palmar to the TCL is richly innervated and should therefore be spared [19]. Because the operator in this study was at the beginning of the learning curve, it is likely that he released more than only the TCL “to be sure” to achieve a sufficient release, and that this may be one explanation for the post-operational pain experienced by some patients. However, the post-operative pain question is complex and still debated, including issues such as scar sensitivity, pillar pain, grip weakness or recurrent median nerve symptoms [20].
The procedure time ranged from 20 to 30 minutes. This is slower than the six minutes described in the literature and relates to the operator’s experience level [6].
Despite being the first ten operated patients by an operator at the beginning of his learning curve, we find that the result is successful. We were able to achieve the same level of patient satisfaction as has been documented in larger clinical trials.
Imaging
The MRI discussion is presented in Supplementary Material Appendix D, pages 4-7.
Limitations
Due to the small sample size and the large number of statistical tests performed, a risk exists of both type I and type II errors.
Difficulties lying still during MRI resulted in image motion artifacts in a few patients, challenging the analyses.
The outcomes for this study were chosen based on larger trials to which we wanted to compare our results. Outcomes not included that would have been relevant were NCS and clinical examination.
CONCLUSIONS
UMIU-CTR is a new surgical procedure for treatment of CTS with several benefits for the patient, hospital and society. In this study, we presented a way to safely acquire the skills needed to perform the procedure and implement it in an out-patient setting. We followed the first ten consecutively operated patients for 12 months and observed outcomes regarding both effectiveness and safety that were comparable to those previously observed in larger clinical trials. Using MRI, we documented the release of the TCL and assessed the structural changes in the median nerve and the carpal tunnel following surgery.
Correspondence Thøger Persson Krogh. E-mail: thogerkrogh@hotmail.com
*) Shared last authorship
Accepted 24 May 2023
Conflicts of interest none. Disclosure forms provided by the authors are available with the article at ugeskriftet.dk/dmj
Acknowledgements Dr. Erisela Montvillas, Department of Neurophysiology and Neurology, Aarhus University Hospital, Denmark is tanked for offering advice preparing the study and for helping in the recruitment of study participants.
Cite this as Dan Med J 2023;70(9):A11220689
Supplementary Material Appendix A-D: 2023-05/a11220689-supplementary_0.pdf
Referencer
- Middleton SD, Anakwe RE. Carpal tunnel syndrome. BMJ. 2014;349:g6437.
- Atroshi I, Gummesson C, Johnsson R et al. Prevalence of carpal tunnel syndrome in a general population. JAMA. 1999;282(2):153-8.
- Cranford CS, Ho JY, Kalainov DM, Hartigan BJ. Carpal tunnel syndrome. J Am Acad Orthop Surg. 2007;15(9):537-48.
- Guo D, Tang Y, Ji Y et al. A non-scalpel technique for minimally invasive surgery: percutaneously looped thread transection of the transverse carpal ligament. Hand (N Y). 2015;10(1):40-8.
- Hebbard P, Thomas P, Fransch SV et al. Microinvasive carpal tunnel release using a retractable needle-mounted blade. J Ultrasound Med. 2021;40(7):1451-8.
- Petrover D, Silvera J, De Baere T et al. Percutaneous ultrasound-guided carpal tunnel release: study upon clinical efficacy and safety. Cardiovasc Intervent Radiol. 2017;40(4):568-75.
- Rojo-Manaute JM, Capa-Grasa A, Chana-Rodriguez F et al. Ultra-minimally invasive ultrasound-guided carpal tunnel release: a randomized clinical trial. J Ultrasound Med. 2016;35(6):1149-57.
- Kinanga R, Moungondo F. Cost-effectiveness of sonography-guided surgery. Hand Clin. 2022;38(1):65-73.
- Rojo-Manaute JM, Capa-Grasa A, Del Cerro-Gutierrez M et al. Sonographically guided intrasheath percutaneous release of the first annular pulley for trigger digits, part 2: randomized comparative study of the economic impact of 3 surgical models. J Ultrasound Med. 2012;31(3):427-38.
- Capa-Grasa A, Rojo-Manaute JM, Rodriguez FC, Martin JV. Ultra minimally invasive sonographically guided carpal tunnel release: an external pilot study. Orthop Traumatol Surg Res. 2014;100(3):287-92.
- Rojo-Manaute JM, Capa-Grasa A, Rodriguez-Maruri GE et al. Ultra-minimally invasive sonographically guided carpal tunnel release: anatomic study of a new technique. J Ultrasound Med. 2013;32(1):131-42.
- Bagga B, Sinha A, Khandelwal N et al. Comparison of magnetic resonance imaging and ultrasonography in diagnosing and grading carpal tunnel syndrome: a prospective study. Curr Probl Diagn Radiol. 2020;49(2):102-15.
- Roomizadeh P, Eftekharsadat B, Abedini A et al. Ultrasonographic assessment of carpal tunnel syndrome severity: a systematic review and meta-analysis. Am J Phys Med Rehabil. 2019;98(5):373-81.
- Ng AWH, Griffith JF, Tsai CSC et al. MRI of the carpal tunnel 3 and 12 months after endoscopic carpal tunnel release. AJR Am J Roentgenol. 2021;216(2):464-70.
- Dekimpe C, Andreani O, Camuzard O et al. Ultrasound-guided percutaneous release of the carpal tunnel: comparison of the learning curves of a senior versus a junior operator. A cadaveric study. Skeletal Radiol. 2019;48(11):1803-9.
- Nakamichi K, Tachibana S. Ultrasonographically assisted carpal tunnel release. J Hand Surg Am. 1997;22(5):853-62.
- Nakamichi K, Tachibana S. Distance between the median nerve and ulnar neurovascular bundle: clinical significance with ultrasonographically assisted carpal tunnel release. J Hand Surg Am. 1998;23(5):870-4.
- Mittal N, Sangha H, Flannery J et al. Ultrasound-guided incisionless carpal tunnel release using a hook knife: a cadaveric study. PM R. 2019;11(10):1101-6.
- Stecco C, Macchi V, Lancerotto L et al. Comparison of transverse carpal ligament and flexor retinaculum terminology for the wrist. J Hand Surg Am. 2010;35(5):746-53.
- Morrell NT, Harris A, Skjong C, Akelman E. Carpal tunnel release: do we understand the biomechanical consequences? J Wrist Surg. 2014;3(4):235-8.