Fakta
Fakta
Abstract
Introduction: Non-operative management (NOM) is now the primary treatment for blunt splenic injuries in children. Only one study has examined the use of NOM in a Scandinavian population. Thus, the purpose of this study is to report our experience in treating children with blunt splenic injuries with NOM at a Danish university hospital.
Methods: We conducted a retrospective observational study of 34 consecutive children (aged 16 years or less) admitted to our level 1-trauma centre with blunt splenic injury in the 12-year period from 1 January 2001 to 31 December 2012. Data on patients and procedures were obtained by review of all medical records and re-evaluation of all initial computed tomographies (CT).
Results: We included 34 children with a median age of 10.5 years (67.6% males) in this study. All patients were scheduled for NOM, and two (5.9%) patients underwent splenic artery embolisation (SAE). Two (5.9%) patients later needed surgical intervention. The NOM success rate was 88% (95% confidence interval (CI): 73-97%) without SAE and 94% (95% CI: 80-99%) with SAE. We found no difference in the American Association for the Surgery of Trauma grade when comparing the initial CT evaluation (mean 2.59 ± 1.1) with the CT re-evaluation (mean 2.71 ± 0.94); p = 0.226.
Conclusion: We demonstrated a high degree of success and safety of non-operative treatment in children with blunt splenic injury in a Scandinavian setting. Our results are comparable to international findings.
Funding: not relevant.
Trial registration: not relevant.
Abdominal trauma is associated with a high mortality mainly due to excessive bleeding into the peritoneal cavity [1]. In children, the spleen is the most frequently affected organ in abdominal trauma [2]. Due to anatomical and physiological differences compared with the adult population, children elicit unique injury patterns and should be treated accordingly [2].
Blunt splenic injuries in children were previously managed with splenectomy to cease life-threatening bleeding. However, due to the risk of post-splenectomy sepsis and other complications, treatment has evolved from a surgical approach towards more conservative treatment strategies [3].
Non-operative management (NOM), which was previously associated with a high degree of morbidity and mortality, is now the treatment of choice for blunt splenic injuries in children [3, 4]. Further application of splenic artery embolisation (SAE) to NOM seems to entail a concomitant increase in success rates while preserving long-term splenic function [5, 6].
Previous international retrospective studies evaluating the use of NOM in the treatment of blunt splenic injuries in paediatric populations document a beneficial effect with success rates exceeding 90% [4, 7, 8]. However, only one study has examined the use of NOM in a Scandinavian population yielding a success rate of 98% [5]. The purpose of this retrospective study was to report our experience in treating children with blunt splenic injuries with NOM over a 12-year study period at a Danish university hospital.
METHODS
We conducted a retrospective observational study of 34 consecutive children (aged 16 years or less) admitted to our level 1-trauma centre with blunt splenic injury in the period from 1 January 2001 to 31 December 2012 (Figure 1).
Setting and patient selection
Our hospital is a level 1-trauma centre treating all types of traumatic injuries. Initial evaluation of all patients followed the Advanced Trauma and Life Support (ATLS) algorithm [9], which includes an assessment of circulatory stability supplemented by focused assessment with sonography in trauma (FAST) and computed tomography (CT) imaging. Circulatorily stable patients with blunt splenic injury demonstrated on initial CT evaluation were considered for NOM. No patients underwent immediate splenectomy without a prior NOM attempt in the study period. We defined blunt splenic injury as discharge diagnoses DS352a, DS360, DS360a, DS367, or DS369 in the International Classification of Diseases, 10th revision (ICD-10). We excluded one patient whose data were not obtainable.
Non-operative management algorithm
Patients undergoing NOM for blunt splenic injuries were observed at our intensive care unit for a few days followed by observation in the ward until day seven. Haemoglobin was continuously measured every six hours for the first two days, hereafter every 12 hours. In cases of declining haemoglobin levels or contrast extravasation demonstrated on subsequent CT imaging, arteriography and eventually SAE was considered.
Data on patients and procedures
To obtain data on patient characteristics, treatment modality and outcome, we retrospectively reviewed all medical records. One specialist in radiology conducted re-evaluation of all admission CT images, blinded to the patient’s treatment and outcome, to provide information on the American Association for the Surgery of Trauma (AAST) splenic injury scale (Table 1) and contrast extravasation. CT images were available for all patients.
Statistical analyses
Success rates were calculated as the percentage of successful procedures in relation to the total number of patients included and presented with corresponding 95% confidence intervals (CIs). Consecutive variables (AAST grade on initial evaluation and re-evaluation of CT images) were compared using a paired t-test. p-values below 0.05 were considered statistically significant. Statistical analyses were carried out using Stata 13 (StataCorp LP, College Station, TX, USA).
Trial registration: not relevant.
RESULTS
Descriptive characteristics
During the 12-year study period, we included 34 children in this study (Table 2). All patients had an American Society of Anesthesiologists (ASA) score of 1. The trauma mechanism was mainly traffic accidents. None of the four patients requiring blood transfusion received more than two units of red blood cells; one received five units of freshly frozen plasma.
Outcome of non-operative management
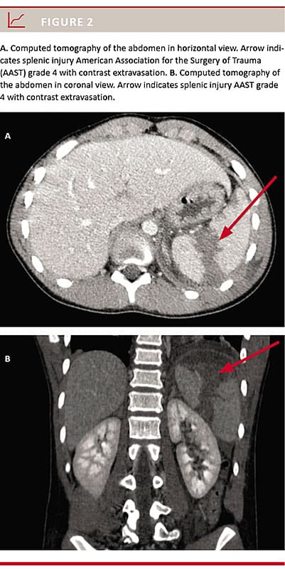
All 34 patients were scheduled for NOM. Two (5.9%) patients later needed surgical intervention. One patient (AAST grade 5 on initial CT evaluation and grade 4 on CT re-evaluation) had a splenectomy performed due to impaired circulation within the first 24 hours, and the other had a laparotomy with suturing of the small intestines due to perforation (AAST grade 1 on initial CT evaluation and grade 2 on CT re-evaluation). During the course of NOM, two (5.9%) patients underwent SAE, one due to diffuse bleeding and one due to a pseudo-aneurism (Figure 2 and Figure 3, respectively). Subsequently, all patients were considered circulatorily stable. Thus, the NOM success rate was 88% (95% CI: 73-97%) without SAE and 94% (95% CI: 80-99%) with SAE.
AAST grades
Among the patients who did not undergo surgery (n = 32), there was a mean AAST grade of 2.56 ± 1.01 on initial CT evaluation and 2.69 ± 0.93 on CT re-evaluation. We found no difference in the overall AAST grade when comparing the initial CT evaluation (mean 2.59 ± 1.1) with the CT re-evaluation (mean 2.71 ± 0.94); p = 0.226.
DISCUSSION
In this retrospective observational study of 34 children admitted to our institution with blunt splenic injury over a 12-year study period, we found that the vast majority of the patients could be successfully treated with NOM, if needed supplemented with SAE.
Few previous studies have examined the effect of NOM for blunt splenic injuries in a paediatric population. In a population with similar AAST grades and injury patterns, Fick et al [8] demonstrated a success rate of 91%, which corresponds to our findings. Bond et al [7] presented a success rate of 97.4%, which is superior to ours. However, their study population included patients with both hepatic and splenic injuries and a lower mean AAST grade for splenic injuries. A Norwegian study by Skattum et al [5] with a similar treatment algorithm and study design demonstrated a success rate of 98% when SAE was applied to NOM. This is slightly higher than our success rate of 94%. In addition, in their study the patients had a higher mean AAST grade. However, Skattum et al presented a slightly higher immediate laparotomy, transfusion and complication rate than found in our study, which indicates that their study population was more severely injured than ours. Thus, a higher success rate seems surprising. However, when looking at the patients receiving only NOM and not SAE, success rates are similar (84% in our study versus 86% in their study), which underscores the effect of SAE in high-grade lesions.
Predictors for failure of NOM in children have been studied, but the results are controversial. In adults, age > 40 years, a high AAST grade, the need of blood transfusion and contrast extravasation on initial CT imaging are factors that predict failure of NOM [10]. In children, the results are contradictory, as studies have found either circulatory instability [8], contrast extravasation [11] or injury severity [12] to predict failure. Unfortunately, our numbers are too small to contribute to this debate.
The comprehensive patient journals and registration performed in Denmark is a major strength of this study. Thus, the data used in this study are considered to be of high quality. In addition, we found no difference between initial evaluation and re-evaluation of CT images, which indicates that our initial classification of AAST grades was correct.
Several limitations should be considered in the interpretation of our findings. The retrospective nature of the study is associated with a risk of bias due to selection of patients. We included all patients registered with the relevant ICD-10 codes in our hospital’s administrative system. Thus, any patient registered with an incorrect code was not included in the study. However, as a dedicated trauma team with stringent protocols for evaluation, treatment and registration manages all admitted patients, we assume that this would not be a substantial problem. In addition, our study included relatively few patients over a long period of time contributing to a low study power.
NOM is a widely accepted treatment modality in adult patients with blunt splenic injury [13], and international studies have also shown high success rates when NOM is applied to children. The outcome of this procedure has, however, only once been investigated in a Scandinavian population. In conclusion, we demonstrate a high degree of success and safety of non-operative treatment in children with blunt splenic injury in a Scandinavian setting. Our results are comparable to international findings.
Correspondence: Jakob Kirkegård, Abdominalkirurgisk Afdeling, Abdominalcentret, Aarhus Universitetshospital, Bygning 1C, Nørrebrogade 44, 8000 Aarhus C, Denmark. E-mail: jakob.kirkegaard@auh.rm.dk
Accepted: 24 November 2014
Conflicts of interest:Disclosure forms provided by the authors are available with the full text of this article at www.danmedj.dk
Referencer
REFERENCES
Lund H, Kofoed SC, Hillingsø JG et al. High mortality after emergency room laparotomy in haemodynamically unstable trauma patients. Dan Med Bul 2011;58(5):A4275.
Gaines BA. Intra-abdominal solid organ injury in children: diagnosis and treatment. J Trauma 2009;67(2 suppl):S135-S139.
Thompson SR, Holland AJ. Evolution of non-operative management for blunt splenic trauma in children. J Paediatr Child Health 2006;42:231-4.
Davies DA, Pearl RH, Ein SH et al. Management of blunt splenic injury in children: evolution of the nonoperative approach. J Pediatr Surg 2009;
44:1005-8.Skattum J, Gaarder C, Naess PA. Splenic artery embolisation in children and adolescents – an 8 year experience. Injury 2014;45:160-3.
Skattum J, Loekke RJ, Titze TL et al. Preserved function after angioembolisation of splenic injury in children and adolescents: a case control study. Injury 2014;45:156-9.
Bond SJ, Eichelberger MR, Gotschall CS et al. Nonoperative management of blunt hepatic and splenic injury in children. Ann Surg 1996;223:286-9.
Fick AE, Raychaudhuri P, Bear J et al. Factors predicting the need for splenectomy in children with blunt splenic trauma. ANZ J Surg 2011;81:
717-9.Stahel PF, Smith WR, Moore EE. Current trends in resuscitation strategy for the multiply injured patient. Injury 2009;40(suppl 4):S27-S35.
Olthof DC, Joosse P, van der Vlies CH et al. Prognostic factors for failure of nonoperative management in adults with blunt splenic injury: a systematic review. J Trauma Acute Care Surg 2013;74:546-57.
Nwomeh BC, Nadler EP, Meza MP et al. Contrast extravasation predicts the need for operative intervention in children with blunt splenic trauma.
J Trauma 2004;56:537-41.Potoka DA, Schall LC, Ford HR. Risk factors for splenectomy in children with blunt splenic trauma. J Pediatr Surg 2002;37:294-9.
Stein DM, Scalea TM. Nonoperative management of spleen and liver injuries. J Intensive Care Med 2006;21:296-304.