Fakta
Fakta
Abstract
Introduction: The mast cell lives a hidden life, but it is implicated in several physiological reactions. Its ability to react to different stimuli impacts a variety of conditions such as asthma, atopic dermatitis, urticaria and anaphylaxis. It is not until recent decades that the evolution of the cell has been described and its fascinating biology has only recently been depicted. We here give a review of systemic mastocytosis in regards to cell biology, diagnostic approaches and clinical practice.
Methods: A search was made in PubMed in August 2011 entering the keywords: mastocytosis, (systemic, cutaneous, aggressive), mast cell leukaemia, mast cell sarcoma, chromosome, mutation, haematology and treatment.
Results: Mastocytosis is characterized by an abnormal proliferation of mast cells, which accumulate in one or several organ systems, primarily the skin and bone marrow. The disease is clinically heterogeneous and varies from a relatively benign condition with isolated cutaneous lesions to a very aggressive systemic condition with a grave prognosis. The condition affects men and women equally. Children are especially affected by the cutaneous form. In most children, the condition will improve or remit spontaneously before adulthood. Mastocytosis in adults, however, is more often systemic and tends to persist.
Conclusion: Patients with mastocytosis represent a heterogeneous group in terms of clinical presentation, management and prognosis. Furthermore, a range of medical specialties serve as the primary entrance to health services, which can be a challenge in respect of achieving uniform management. In order to improve diagnostics and management of systemic mastocytosis, the European Competence Network on Mastocytosis has been established. Patients under suspicion of systemic mastocytosis should be conferred with or referred to a haematological and a dermatological/allergological department.
The mast cell lives a hidden life, but plays an important role in many physiological processes. The cell’s ability to react on various stimuli is demonstrated by its implication in a wide range of conditions such as asthma, rhinitis, atopic dermatitis, urticaria and anaphylaxis. The cell was described by Paul Erlich in 1878 [1], but had already been linked to allergies some years earlier [2]. It is not until recent decades, however, that the evolution of the cell has been described [3, 4] and its fascinating biology has only been depicted within recent years [5, 6]. We here give a review on systemic mastocytosis in regards to cell biology, diagnostic approaches and clinical management.
METHODS
A search was made in PubMed in August 2011 entering these keywords: mastocytosis, (systemic, cutaneous, aggressive), mast cell leukaemia, mast cell sarcoma, chromosome, mutation, haematology and treatment. A search for relevant reviews in the Cochrane Library revealed no relevant results.
The mast cell
The mast cell originates from the pluripotent "cluster of differentiation" (CD)-34-positive haematopoietic stem cell [7]. Mast cell progenitors are known to leave the bone marrow before complete maturation and to "home" for well-vascularized tissues. In contrast, all other myeloid cells reside in the bone marrow until they have achieved complete maturation [8, 9]. Murine models have led to the identification of distinct mast cell progenitors and, furthermore, shown that these progenitors originate from pluripotent stem cells [10]. Other studies have shown that mast cells and basophil granulocytes are derived from a common progenitor cell which is differentiated after the granulocyte-monocyte progenitor-stage [3]. It is possible that the order of expression of certain transcription factors, especially up-regulation of GATA and down-regulation of CCAAT/enhancer binding protein (C/EBP)α in the early stages, plays a key role in determining the fate of the cell in respect to becoming a basophil granulocyte or a mast cell [11].
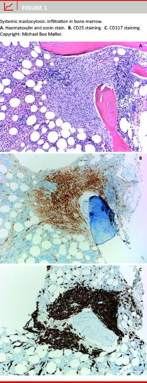
The morphology of mature mast cells is very characteristic with distinct granules. The cells are usually localized beneath or in the epithelium, close to vessels, nerves, smooth muscle cells and glandular tissue, but do not circulate in peripheral blood [9]. Mast cells therefore act as outposts of the immune system in regards to exogenous allergens and pathogens [12] (Figure 1). Mast cells do not contain different types of granules like the neutrophil granulocyte, but different mast cell populations can contain granules of different size and probably different contents [6, 13].
Mast cells therefore live a discreet life – and probably do so for many years. They can be stimulated to re-enter the cell cycle and proliferate [8, 9]. Mast cells can be grown in culture for the purpose of studying biological aspects and relate them to pathophysiological conditions.
Mast cells contain a wide range of biologically active substances that all have distinct effects. As a group, these preformed substances are classified as "mast cell mediators". They include histamine, which mainly originates from this cell, proteases, heparin, proteoglycans, leukotrienes and other cytokines with broad effects on other cells [7].
The proteases (chymases, tryptases and carboxypeptidase A) are exclusively released by mast cells [6]. Gene expression is particularly strong for proteases in mast cells [14] and the different, biologically active substances are directly referable to symptoms and clinical findings by degranulation.
Tryptase is found in substantial amounts in granules, but is kept inactive by low ph until exocytosis. Substrates for tryptase are, among others, fibrinogen, pre-kallikrein, complement factor C3, which can be related to an anticoagulant effect, vascular permeability and anaphylaxis [5]. Measurements of serum-tryptase can be used as a marker of mast cell degranulation [15].
Exocytosis of biologically active substances can be graduated and targeted depending on different "triggers". Degranulation is therefore not to be regarded as an "on-off" mechanism. The mechanisms of degranulation can be immunoglobulin (Ig)-E-mediated or initiated by various pathogens, but may also include more unspecific stimuli, and the release of biologically active substances can initiate acute or maintain chronic inflammation [16]. By these means, the mast cell plays an important role in allergic reactions and by amplifying or regulating kinetics in the adaptive immune system [8].
Stem cell factor (SCF) plays a pivotal role in mast-cell regulation and the receptor mast/stem cell growth-receptor also designated CD117 [7]. CD117 is a transmembrane protein with tyrosine-kinase-activity, and the KIT-gene that codes for CD117 is situated on chromosome four [17]. Thus, mast cells are derived from CD117-positive haematopoietic stem cells, but while CD117 is down regulated on other myeloid precursors, the mast cell maintains a high CD117 expression as a mature cell [7]. CD117-deficient mice lack mast cells [17], and SCF promotes survival by suppressing apoptosis after binding CD117 [9].
Classification – mastocytosis
The classification of mastocytosis has been revised in the 2008 WHO classification [15]. Mastocytosis is divided into two main entities:
– Cutaneous mastocytosis (CM), which is limited to the skin
– Systemic mastocytosis (SM), which is a clonal and disseminated condition.
CM may be further subdivided into different entities, but the reader is referred to reviews in dermatology for this topic.
Criteria for systemic mastocytosis
Mastocytosis is present if the "major" criterion and at least one "minor" criterion are fulfilled or if at least three "minor" criteria are present (Table 1). Please also refer to the sections "Pathological diagnostics" and "Molecular biology" for details.
In the majority of adults with mastocytosis, the condition will be disseminated as the use of sensitive and specific methods most often will demonstrate abnormal mast cells exhibiting CD25 expression and KIT-mutation [18].
Provided that SM can be demonstrated, the condition should be further classified into one of the six subtypes (Table 1, "B" findings represent organ involvement without organ dysfunction while "C" findings represent organ involvement with organ dysfunction).
SM is included in the WHO classification in the category "myeloproliferative neoplasms" (MPN) [15].
RESULTS
Mastocytosis is characterized by an abnormal proliferation of mast cells, which accumulate in one or several organ systems, primarily in the skin and bone marrow. The disease is clinically heterogeneous and varies from a relatively benign condition with isolated cutaneous lesions to a very aggressive systemic condition with a grave prognosis. Mastocytosis is rare. In a Spanish paper, the incidence has been estimated to two cases per 100.000/year, but presumably the condition is under-diagnosed [19].
The condition affects men and women equally. Children are especially affected by the cutaneous form (CM) and the disease will manifest itself in the first year of life in over 80% of cases. For the majority of children, the condition will improve or remit spontaneously before adulthood [20]. In contrast to this, mastocytosis among adults is more often systemic and tends to persist [21]. Among all cases of SM, it has been reported that indolent systemic mastocytosis (ISM) and SM with an associated (clonal) haematologic non-mast cell lineage disease (SM-AHNMD) (Table 1) comprise approximately 85% of patients and are equally frequent [22].
Symptoms can be divided into skin symptoms, mast cell-"release" symptoms and symptoms caused by non-cutaneous organ infiltration.
Skin symptoms are predominant. Most common is urticaria pigmentosa (Figure 2) which besides being a characteristic feature of CM occurs in 90% of patients with SM and up to 50% of patients with either SM-AHNMD or aggressive SM (ASM). It is therefore important to emphasize that SM-AHNMD and ASM not rarely present themselves without skin manifestations [23]. Pruritus is the most common complaint provoked by e.g. changes in temperature, hot baths, physical activity, certain foods, alcohol or drugs.
Mast cell-"release" symptoms occur in both CM and SM. The mast mediators will typically induce vasodilation, hypotension, flushing, itching, syncope, abdominal discomfort, vomiting and diarrhoea. Symptom intensity varies from mild allergic reactions to severe life-threatening anaphylaxis [24]. Less frequently mast cell-"release" results in more chronic symptoms, e.g. persistent gastrointestinal complaints. "Release" symptoms can be triggered by a range of specific factors such as various drugs (narcotics, opioids, non-steroidal anti-inflammatory drugs, iodic contrast media, vancomycin, other antibiotics and muscle-relaxants used for anaesthesia) mediated via immunoglobulin E, but also more unspecific factors such as hot baths, physical activity, surgical procedures, infection and emotional stress.
Symptoms caused by non-cutaneous manifestations will most often originate from bone marrow, gastrointestinal tract, lymph nodes, liver, spleen, bones and the urogenital system [25]. Accordingly, the following can be encountered: anaemia, thrombocytopenia, malabsorption, hepato- and splenomegaly and bone disease in the form of lytic lesions and pathological fractures. These symptoms, which are all results of organ infiltration with secondary organ dysfunction, are termed C-findings.
Skin manifestations will primarily result in referral to dermatological departments. A thorough medical history including potential symptom triggers and a skin biopsy will demonstrate CM. Subsequently, the task will be to classify the disease through relevant workup (Table 1).
Pathological diagnostics
A histological examination of a crista biopsy will secure the diagnosis in the majority of SM cases. The examination includes immunohistochemical staining for tryptase, CD117, CD25 and CD2 as discrete mast cell infiltration can otherwise be overlooked [15, 26]. (Figure 1). A similar practice is relevant for biopsies obtained from other organ systems. Both normal and neoplastic mast cells stain positive for tryptase and CD117 and therefore afford an opportunity to estimate both mast cell count and pattern of infiltration. Normal mast cells do not express CD25 or CD2 and therefore provide ability to discern between neoplastic and normal mast cells. Mast cell infiltration in the setting of ISM is frequently multifocal and compact, but not rarely exhibits a more discrete and interstitial pattern. ASM and MCL more commonly display a relatively compact and widespread infiltration [26]. The histological examination is supplemented by flow cytometry on marrow aspirate, which can establish the neoplastic phenotype with higher sensitivity and specificity [18, 27]. When examining bone marrow material, it is important that attention is also paid to the presence of possible non-mast cell clonal haematological disease.
Molecular biology
With the use of sensitive methods of analysis, it is possible to demonstrate a somatic A2447T-mutation in the coding sequence of the KIT-gene in 95% of adult cases of SM [7, 18]. Less sensitive methods, e.g. Sanger sequencing, may result in false-negative results in more than 90% of cases [18].
The mutation results in a substitution of aspartate (D) with valine (V) at position 816 in the kinase domain, which causes SCF-independent autoactivation of CD117. Studies of mast cell lines and murine models have shown that this mutation alone is sufficient to cause SM [28].
In the minority of adult patients where the KIT D816V-mutation cannot be demonstrated, other sensitive methods can frequently demonstrate other autoactivating mutations of KIT [7].
Patients with isolated mast cell disease generally have normal karyotypes with the KIT-mutation as the sole characteristic genetic alteration. SM-AHNMD can be associated with other genetic alterations depending on the associated condition, e.g. the acute myeloid leukaemia RUNX1-RUNX1T-fusion gene, JAK2 V617F-positive myeloproliferative neoplasms (MPN), and the TET2-mutation in MPN or MPN/myelodysplastic syndromes [15, 29]. Despite the presence of mast cell proliferation and an increase in serum tryptase, patients with eosinophilia and the FIP1L1-PDGFRA-fusion gene do not typically meet WHO criteria for SM and should be classified as a myeloid neoplasm with eosinophilia and PDGFRA-rearrangement [15, 29, 30].
Demonstration of the KIT-mutation in other haematopoietic cell lines besides the mast cell is associated with more aggressive types of SM, and ISM patients with this phenotype are at increased risk of progression to more aggressive types of the condition [31].
Additional relevant organ-specific workup such as diagnostic radiology, DEXA-scan etc. should follow local guidelines.
Management
At present, there is no cure for systemic mastocytosis, and aggressive up-front treatment of ISM cannot be recommended as the life expectancy of patients on conservative treatment regimens equals that of the general population [22, 31]. The purpose of treatment is therefore to relieve symptoms and increase quality of life.
Knowledge of patient-specific factors that lead to degranulation may ensure that the patient avoids these factors and may hence prevent disturbing symptoms. In order to avoid anaphylaxis in conjunction with anaesthesia, contrast X-ray or other procedures that can result in potentially massive degranulation of mast cells, it is recommended to perform prophylaxis in the form of H1-antagonists, H2-antagonists and leukotriene-antagonists one hour prior to procedure. Furthermore, in severe cases, administration of glucocorticoid 24 hours prior to – and repeated two hours before the procedure – can be used [32].
Allergic manifestations are managed with antihistamines, glucocorticoids and adrenaline according to traditional guidelines. It has been recommended that all patients be provided with an adrenaline autoinjector [33]. In particular, immunotherapy should be carried out in patients with IgE-mediated anaphylaxis after insect stings [34].
Cutaneous elements are managed with antihistamines for pruritus. In more severe cases, resort may be made to PUVA-therapy and topical steroids under occlusion. For more on this subject, we refer to the dermatological literature. Patients with ISM and stable SSM are treated symptomatically with mediator-regulating drugs, whereas a cytoreductive approach generally is not recommended for these more benign forms. Patients with bone affection are treated with calcium supplements and vitamin D. If osteoporosis is diagnosed, defined as a T-score below two, bisphosphonates are added [35] (Table 2).
In ASM patients where the goal is to reduce mast cell numbers, the effects of interferon alpha (IFN-α) or Cladribine (2CdA) are best documented [35, 36]. The D816V-mutation is resistant to imitinib mesylate. Other tyrosine kinase inhibitors are being evaluated, but so far with disappointing results, while midostaurin has shown some effect [37]. Patients with slowly progressive ASM can be monitored for months to years on IFN-α or 2CdA [35]. MCL is very serious condition that is treated with multiagent chemotherapy. If possible, allogeneic stem cell transplantation is recommended.
Patients with SM-AHNMD are treated for their SM and also receive specific treatment of the non-mast cell component according to established regimes for the haematological diagnose [35, 38, 39].
CONCLUSION
Patients with mastocytosis represent a heterogeneous group in terms of clinical presentation, management and prognosis. Furthermore, a range of medical specialties serve as the primary entrance to health services, which can be a challenge in respect to a uniform management. In order to improve diagnostics and management of SM, the European Competence Network on Mastocytosis has been established. The network encompasses haematologists, dermatologists, endocrinologists, allergologists, gastroenterologists, pathologists, clinical genetics and clinical immunologists. For the individual patient, an interdisciplinary approach is appropriate [19, 40]. It should be advised that patients under suspicion of SM are conferred with or referred to a haematological department and a dermatological/allergological department.
Correspondence: Christen Lykkegaard Andersen , Hæmatologisk Afdeling, Roskilde Hospital, 4000 Roskilde, Denmark. E-mail: christenla@gmail.com
Accepted: 4 January 2012
Conflicts of interest:Disclosure forms provided by the authors are available with the full text of this article at www.danmedj.dk.
Referencer
REFERENCES
Erlich P. Beitrage zur theorie und praxis der histologischen färbung. Leipzig, Germany: University of Leipzig, 1878.
Nettleship E, Tay W. Rare forms of urticaria. Br Med J 1869;2:323-30.
Arinobu Y, Iwasaki H, Akashi K. Origin of basophils and mast cells. Allergol Int 2009;58:21-8.
Kalesnikoff J, Galli SJ. New developments in mast cell biology. Nat Immunol 2008;9:1215-23.
Hallgren J, Pejler G. Biology of mast cell tryptase. An inflammatory mediator. FEBS J 2006;273:1871-95.
Pejler G, Ronnberg E, Waern I et al. Mast cell proteases: multifaceted regulators of inflammatory disease. Blood 2010;115:4981-90.
Metcalfe DD. Mast cells and mastocytosis. Blood 2008;112:946-56.
Gurish MF, Austen KF. The diverse roles of mast cells. J Exp Med 2001;194:F1-F5.
Metcalfe DD, Baram D, Mekori YA. Mast cells. Physiol Rev 1997;77:1033-79.
Chen CC, Grimbaldeston MA, Tsai M et al. Identification of mast cell progenitors in adult mice. Proc Natl Acad Sci U S A. 2005;102:11408-13.
Iwasaki H, Mizuno S, Arinobu Y et al. The order of expression of transcription factors directs hierarchical specification of hematopoietic lineages. Genes Dev 2006;20:3010-21.
Galli SJ, Nakae S, Tsai M. Mast cells in the development of adaptive immune responses. Nat Immunol 2005;6:135-42.
Kitamura Y. Heterogeneity of mast cells and phenotypic change between subpopulations. Annu Rev Immunol 1989;7:59-76.
Lutzelschwab C, Pejler G, Aveskogh M et al. Secretory granule proteases in rat mast cells. Cloning of 10 different serine proteases and a carboxypeptidase A from various rat mast cell populations. J Exp Med 1997;185:13-29.
Horny H, Akin C, Metcalfe D. Mastocytosis. In: Swerdlow SH et al, eds. WHO classification of tumours of haematopoietic and lymphoid origin. Lyon: IARC, 2008:54-63.
Galli SJ, Kalesnikoff J, Grimbaldeston MA et al. Mast cells as "tunable" effector and immunoregulatory cells: recent advances. Annu Rev Immunol 2005;23:749-86.
Akin C, Metcalfe DD. The biology of Kit in disease and the application of pharmacogenetics. J Allergy Clin Immunol 2004;114:13-9; quiz 20.
Kristensen T, Vestergaard H, Moller MB. Improved Detection of the KIT D816V mutation in patients with systemic mastocytosis using a quantitative and highly sensitive real-time qPCR assay. J Mol Diagn 2011;13:180-8.
Hagglund H, Gulen T, Saaf M et al. [Mastocytosis – a disease with many faces. Investigation and treatment should be performed in consultation with Karolinska University Hospital]. Läkartidningen 2008;105:3341-4, 3346-7.
Kirshenbaum AS, Kettelhut BV, Metcalfe DD et al. Mastocytosis in infants and children: recognition of patterns of skin disease. Allergy Proc 1989;10:17-21.
Wolff K, Komar M, Petzelbauer P. Clinical and histopathological aspects of cutaneous mastocytosis. Leuk Res 2001;25:519-28.
Lim KH, Tefferi A, Lasho TL et al. Systemic mastocytosis in 342 consecutive adults: survival studies and prognostic factors. Blood 2009;113:5727-36.
Soter NA. Mastocytosis and the skin. Hematol Oncol Clin North Am 2000;14:537-55, vi.
Austen KF. Systemic mastocytosis. N Engl J Med 1992;326:639-40.
Castells M, Austen KF. Mastocytosis: mediator-related signs and symptoms. Int Arch Allergy Immunol 2002;127:147-52.
Horny H, Sotlar K, Valent P. Mastocytosis. In: Hematopathology. Jaffe ES, Harris NL, Vardiman JW, Campo E, Arber DA, eds. Philadelphia: Elsevier Saunders, 2011:757-76.
Escribano L, Diaz-Agustin B, Bellas C et al. Utility of flow cytometric analysis of mast cells in the diagnosis and classification of adult mastocytosis. Leuk Res 2001;25:563-70.
Orfao A, Garcia-Montero AC, Sanchez L et al. Recent advances in the understanding of mastocytosis: the role of KIT mutations. Br J Haematol 2007;138:12-30.
Swerdlow SH, Campo E, Harris NL et al. WHO classification of tumours of haematopoietic and lymphoid tissues. Lyon: IARC, 2008:54-63.
Andersen CL, Vestergaard H, Norgaard P et al. Eosinophilia – pathogenesis, classification and therapy. Ugeskr Læger 2009;171:3256-62.
Escribano L, Alvarez-Twose I, Sanchez-Munoz L et al. Prognosis in adult indolent systemic mastocytosis: a long-term study of the Spanish Network on Mastocytosis in a series of 145 patients. J Allergy Clin Immunol 2009;124:514-21.
Castells M, Akin C et al. Treatment and prognosis of systemic mastocytosis. UpToDate 191, 2011.
Wilson TM, Metcalfe DD, Robyn J. Treatment of systemic mastocytosis. Immunol Allergy Clin North Am 2006;26:549-73.
Akin C. Anaphylaxis and mast cell disease: What is the risk? Curr Allergy Asthma Rep 2010;10:34-8.
Valent P, Sperr WR, Akin C. How I treat patients with advanced systemic mastocytosis. Blood 2010;116:5812-7.
Lim KH, Pardanani A, Butterfield JH et al. Cytoreductive therapy in 108 adults with systemic mastocytosis: outcome analysis and response prediction during treatment with interferon-alpha, hydroxyurea, imatinib mesylate or 2-chlorodeoxyadenosine. Am J Hematol 2009;84:790-4.
Pardanani A. Systemic mastocytosis in adults: 2011 update on diagnosis, risk stratification, and management. Am J Hematol 2011;86:362-71.
Bjerrum OW. Interferon-alpha treatment in systemic mastocytosis. Curr Drug Targets 2011;12:433-6.
Quintas-Cardama A, Aribi A, Cortes J et al. Novel approaches in the treatment of systemic mastocytosis. Cancer 2006;107:1429-39.
Valent P, Akin C, Escribano L et al. Standards and standardization in mastocytosis: consensus statements on diagnostics, treatment recommendations and response criteria. Eur J Clin Invest 2007;37:435-53.