Fakta
Fakta
ABSTRACT
Introduction: Testicular cancer is the most common type of cancer in young Caucasian men. It has been suggested that testicular microlithiasis (TML) is a premalignant condition. This study’s objective was to investigate TML histology prevalence in testicular cancer patients in two European populations.
Methods: We analysed archived histopathology orchiectomy specimens from 152 patients diagnosed with testicular cancer at Fredericia Hospital in Denmark from 2004 to 2014, and 106 patients diagnosed at St Thomas’ Hospital in London from 2011 to 2015.
Results: The Danish patients’ median age was 37 years (range: 16-74 years) and the English patients’ 36 years (range: 18-78 years). In the Danish patients, 29 (19.1%) had TML, and in the English patients, 43 (40.6%) had TML (p < 0.001). Haematoxylin bodies were slightly more common in the English patients. Laminated calcification was more often seen in seminomas than in non-seminomas.
Conclusions: The English testicular cancer patients had a statistically significantly higher TML prevalence than the Danish patients. This observation questions the hypothesised biological association between TML and testicular
cancer.
Funding: The Region of Southern Denmark supported this study.
Trial registration: not relevant.
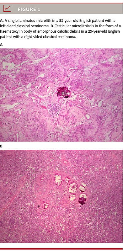
Testicular cancer is the most common type of cancer in young Caucasian men. It has been suggested that testicular microlithiasis (TML) is a premalignant condition [1, 2], especially for seminoma [3, 4]. TML can be visualised by ultrasonography or histopathology. TML does not cause pain or symptoms, and is impalpable. TML is a relatively common condition and is ultrasonically visualised by small high-echogenic spots 1-3 mm in diameter, often spread throughout the parenchyma of the testis. TML is an incidental finding in scrotal ultrasound examinations. There are two main histopathological types of TML: laminated calcification (Figure 1A)
and haematoxylin bodies (Figure 1B) [5].
There are different approaches to categorising TML, but the most used is a simple grading system with five or more microliths in the whole testis defined as classic TML, and limited TML if there are fewer than five microliths per testis.
A number of retrospective ultrasound studies have investigated the prevalence of TML in patients with testicular tumours. Some studies have found a higher TML prevalence in patients with testicular tumour than in patients with no pathology. The reported TML prevalence in symptomatic populations without testicular tumours varies from 9% to 18% [6, 7], and the reported TML prevalence in patients with testicular tumours varies from 15 to 57% [8-11].
Our aim was to assess histopathological TML prevalence in patients with testicular cancer from two European populations, and to investigate the relationship between TML and cancer-histologic subtypes of testicular cancer.
METHODS
A histopathological study investigating all testicular cancers from two hospitals in two European countries was performed. All the histopathology cancer specimens from Denmark were microscopically reviewed separately by MRP and JL (a senior pathologist with more than 15 years of experience). From England, all the histopathology cancer specimens were microscopically reviewed separately by MRP, OF and CH (a senior pathologist with more than 15 years of experience),
Patients from Denmark
Included in the study were all patients diagnosed with testicular cancer and who had an orchiectomy performed at Fredericia Hospital in the period from 2004 to 2014. A patient could be eligible only once, i.e. if the contralateral testicle was diagnosed with cancer during 2004 to 2014, the second cancer was not included. Three testicles were excluded due to bilateral cancer.
A total of 152 patients were eligible.
All pathology reports were reviewed; however,
TML is not routinely described in the pathology reporting from the Danish hospital and no information about TML was reported in the pathology reports.
Patients from England
Included were all patients diagnosed with testicular cancer and who had an orchiectomy performed at St Thomas’ Hospital, London from 2011 to 2015. We searched the hospital’s electronic pathology system (PathNet) and the hospital’s Electronic Patient Registry system and found a total of 106 patients with testicular cancer. None of the included 106 patients were diagnosed with bilateral cancer during the period from 2011 to 2015.
All pathology reports were reviewed, but TML is not routinely described in pathology reporting and none of the reports included information about TML.
Ethics
In Denmark, the Danish Data Protection Agency and The Regional Scientific Ethical Committees for Southern Denmark (ID: S-20120144 – additional protocol 46175) approved this study. We searched the Danish Registry for Use of Tissue (Vævsanvendelsesregister) using the Danish Central Personal Registration Number [12]. Every citizen in Denmark has a unique Central Personal Registration Number, which is linked to all medical records and official registries including the pathology register. In Denmark, patients have full control over his or her own biological material. To practice this right, the patient needs to register in The Registry for Use of Tissue. All health researchers are responsible for consulting The Registry for Use of Tissue before human biological material can be used in research. None of the patients had chosen to opt out according to The Registry for Use of Tissue [13]. Trial registration was not relevant.
In England, this study was not defined as a research study according to the National Health Service and ethics committee approval was therefore not necessary.
Data
Data were collected from the Electronic Patient Record Systems in the two hospitals: patient age at time of diagnosis, calendar year of diagnosis, ethnicity (White, Black, Asian, other specified ethnicities or unknown), tumour histology, tumour size and tumour stage.
From the microscopic review of specimens, we
collected data concerning TML status, total number of
microliths in the specimens, tissue location of the microliths, number of slides with TML and if any macro-calcification was present.
Statistical analysis
We calculated prevalence odds ratios (OR) for TML in relation to ethnicity, histology, age, right- or left-sided testicular tumour and tumour size, using logistic regression. In the multivariable analysis, we calculated ORs adjusted for year of diagnosis and age.
We calculated ORs with a 95% confidence interval (CI) using STATA statistical software (version 14.1, STATA corporation, College Station, TX, USA).
Trial registration: not relevant.
RESULTS
The median age in the Danish patients was 37 years (range: 16-74 years) and in the English patients 36 years (range: 18-78 years). The mean tumour size was 45.0 mm (range: 18.0-135.0 mm) in the Danish patients and 31.0 mm (range: 9-70 mm) in the English patients. A total of 29 (19.1%) of the Danish patients had TML, and 43 (40.6%) of the English patients had TML (p < 0.001)
(Table 1)
.
Limited TML was more common in the Danish patients (65.5%) than in the English patients (46.5%); however, this difference was not statistically significant. Haematoxylin bodies were slightly more common among the English than in the Danish patients. Laminated calcification was more frequently seen in seminomas than in non-seminomas.
Table 2
provides information about associations between TML and age, histology, tumour size and tumour stage. Tumour stage pT1 was found in 20.2% of the TML patients from Denmark and in 41.7% of the English TML patients (p = 0.207). A tumour size ≥ 30 mm was found in 16.8% in the Danish TML patients and in 35.5% in the English TML patients (p = 0.03).
Table 3
is a contingency table with limited and classic testicular microlithiasis in seminoma and non-seminoma from the Danish and English patients. Seminoma was strongly associated with limited TML (OR = 5.6; 95% CI: 1.05-30.1) in the Danish patients, but this was not the case in the English patients (OR = 0.8; 95% CI: 0.23-2.76).
Most of the Danish patients were White (98.7%), and only two patients were of Asian origin (1.3%). The two patients of Asian origin had no TML diagnosis.
Among the English patients, a total of 72 (67.9%) patients were White (27 with TML and 45 without), two (1.9%) Black (one with TML and one without), eight (7.5%) Asian (five with TML and three without) and 20 (22.7%) with no specified ethnicity (nine with TML and 11 without).
DISCUSSION
To our knowledge, with 258 histopathological orchiectomy specimens this is the largest study to investigate histology TML prevalence in men with testicular cancer from two different European countries.
TML was present in 19% of the Danish population of cancer patients, and 41% in the English population of cancer patients. Seminoma was statistically associated with limited TML in the Danish patients, but not in the English patients. This could be caused by the difference in tumour size within the two populations, since the size of the Danish testicular tumours exceeded the size of the English testicular tumours, thus having less surrounding normal tissue to harbour TML. However, other studies that have used ultrasonography found the TML prevalence in men with testicular cancer to vary from 15% to 57% [8-11].
The two types of TML (haematoxylin body and laminated calcification) have been related to germ cell tumours [3, 5]. Some studies have suggested that TML may have a stronger association with seminoma than other subtypes [3, 4]. However, this association was seen in men with limited TML in our study.
A Japanese study investigated 200 cancer specimens (56 orchiectomies and 144 biopsies), and found 41 patients with germ cell tumour, of whom four also had TML (9.8%) [14]. In another study from Japan 41 men with unilateral tumours had ultrasonography and biopsy performed on the contralateral testis [15]. Eleven of the 41 patients were diagnosed with TML (26.8%) by ultrasonography, but only two patients had the TML diagnosis confirmed pathologically.
Sharmeen et al investigated sonograms of a total of 346 men with testicular tumours, and found 51% (n = 175) had one or more microliths, and 20% (n = 69) had more than five microliths [3]. This corresponds well with our finding that 66% (n = 19) men had limited TML in the Danish population, but not in the English population of 47% (n = 20). In general, limited TML was more common than classic TML in both our populations.
Our findings suggest that TML may not be a premalignant condition. This is supported by the fact that only 14% of the patients had TML located inside the tumour tissue, and TML in symptomatic populations is high (range: 8.7-18.1%). Instead, it seems that testicular cancers coexist with TML. However, the growth of testicular tumours occurs mostly expansively (and not invasively), which may affect the number of microliths placed inside the tumour tissue.
The strength of this study is the unique opportunity afforded to compare two populations with testicular cancer from two European countries using one observer. The two populations were unequally distributed concerning ethnicity. Testicular cancer is rare in certain populations, e.g. African and Asian [16, 17]. TML is more present in some ethnicity groups than in others [18].
A recently published study found that Black men from southeast London had an increased risk of TML compared to White men, and that the most deprived socioeconomic groups had an increased risk of developing TML [19]. In this study of testicular cancer patients from southeast London, we found no differences in the prevalence of TML between different ethnic groups. All these observations combined suggest that there is no association between TML and testicular cancer.
When producing the histopathology slides, it is possible that the microliths could have been lost when processing the samples, resulting in the TML count being falsely low. In general, the tumour specimens contained a total of eight slides, but the very large tumours had more slides and this could affect the total count of
microliths.
Histologically, it is expected that 60% of the testicular germ cell tumours are seminoma and 40% non-seminoma [20]. We found that a total of 99 out of 152 (65%) of the Danish men were diagnosed with seminoma. The corresponding figures for English men were 63 out of 106 (59%).
The prevalence of TML was not similar in the two populations, but this variation is not unusual. A Japanese study evaluated pathologic specimens from 56 orchiectomies and 144 testicular biopsies, and found TML in 7.1% of the orchiectomies and 2.1% of the biopsies [14]. Renshaw investigated 79 orchiectomy specimens with germ cell tumour, and TML were present in 38 (48.1%) [5]. There seems to be a large variation between populations.
CONCLUSIONS
The English testicular cancer patients had a statistically significantly higher TML prevalence than the Danish patients. This observation may question the suggested
hypothesised biological association between TML and testicular cancer. However, other risk factors have not been investigated.
Correspondence: Malene Roland Pedersen.
E-mail: malene.roland.vils.pedersen@rsyd.dk
Accepted: 18 January 2018
Conflicts of interest: none. Disclosure forms provided by the authors are available with the full text of this article at www.danmedj.dk
Referencer
LITERATURE
Derogee M, Bevers RFM, Prins HJ et al. Testicular microlithiasis, a premalignant condition: prevalence, histopathologic findings, and relation to testicular tumor. Urology 2001;57:1133-7.
Wang T, Liu L, Luo J et al. A meta-analysis of the relationship between testicular microlithiasis and incidence of testicular cancer. Urol J 2015;12:2057-64.
Sharmeen F, Rosenthal MH, Wood MJ et al. Relationship between the pathologic subtype/initial stage and microliths in testicular germ cell tumors. J Ultrasound Med 2015;34:1977-82.
McDonald MW, Reed AB, Tran PT et al. Testicular tumor ultrasound characteristics and association with histopathology. Urol Int 2012;89:196-202.
Renshaw AA. Testicular calcifications: Incidence, histology and proposed pathological criteria for testicular microlithiasis. J Urol 1998;160:1625-8.
Deganello A, Svasti-Salee D, Allen P et al. Scrotal calcification in a symptomatic paediatric population: Prevalence, location, and appearance in a cohort of 516 patients. Clin Radiol 2012;67:862-7.
Middleton WD, Teefey SA, Santillan CS. Testicular microlithiasis: prospective analysis of prevalence and associated tumor. Radiology 2002;224:425-8.
Cast JE, Nelson WM, Early AS et al. Testicular microlithiasis: prevalence and tumor risk in a population referred for scrotal sonography. AJR Am J Roentgenol 2000;175:1703-6.
Skyrme RJ, Fenn NJ, Jones AR et al. Testicular microlithiasis in a UK population: its incidence, associations and follow-up. BJU Int 2000;86:482-5.
Bach AM, Hann LE, Hadar O et al. Testicular microlithiasis: what is its association with testicular cancer? Radiology 2001;220:70-5.
Otite U, Webb JAW, Oliver RTD et al. Testicular microlithiasis: Is it a benign condition with malignant potential? Eur Urol 2001;40:538-42.
Pedersen CB. The Danish civil registration system. Scand J Public Health 2011;39:22-5.
Vævsanvendelses registeret. www.ssi.dk/Service/OmSSI/Juridisk information/Information om biologisk materiale.aspx (8 Aug 2017).
Maeda Y, Komatsu K, Iwasa Y et al. Clinicopathological study of the testicular microlithiasis. Nihon Hinyokika Gakkai Zasshi Jap J Urol 2000;91:673-8.
Shichijo T, Sakamoto H, Saito K et al. Relevance of testicular microlithiasis to the testicular carcinoma in situ in the contralateral testicle. Nihon Hinyokika Gakkai Zasshi Jap J Urol 2007;98:541-6.
Maruthappu M, Barnes I, Sayeed S et al. Incidence of prostate and urological cancers in England by ethnic group, 2001-2007: a descriptive study. BMC Cancer 2015;15:753.
Trabert B, Chen J, Devesa SS et al. International patterns and trends in testicular cancer incidence, overall and by histologic subtype, 1973-2007. Andrology 2015;3:4-12.
Peterson AC, Bauman JM, Light DE et al. The prevalence of testicular microlithiasis in an asymptomatic population of men 18 to 35 years old. J Urol 2001;166:2061-4.
Pedersen MR, Bartlett EC, Rafaelsen SR et al. Testicular microlithiasis is associated with ethnicity and socioeconomic status. Acta Radiol Open 2017;6:2058460117723676.
Looijenga LH, Oosterhuis JW. Pathogenesis of testicular germ cell tumours. Rev Reprod 1999;4:90-100.