Aktuelt
Antifibrotiske lægemidler har effekt ved flere typer af progressiv fibrotisk interstitiel lungesygdom

Ugeskr Læger 2021;183:V04210348
8. dec. 2021
1 min.

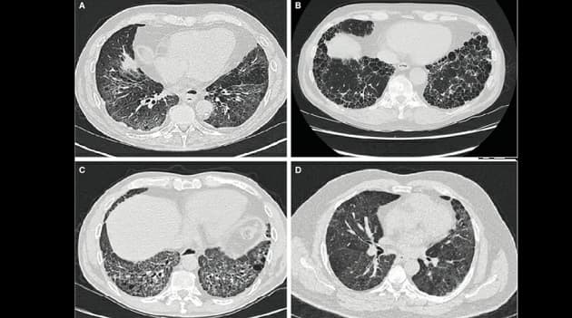
Interstitielle lungesygdomme er en heterogen gruppe af sjældne sygdomme med mere end 150 undertyper med idiopatisk pulmonal fibrose som den hyppigste tilstand. Statusartiklen af Sritharan et al fokuserer på andre subtyper, som dog har flere fællestræk med den idiopatiske lungefibrose, herunder progredierende fibrosedannelse og dårlig prognose. Forfatterne konkluderer, at antifibrotisk behandling, som nintedanib og pirfenidon, også ser ud til at have effekt ved disse subtyper af intersitiel lungesygdom.
Læs statusartikel
Behandling af progressiv fibrotisk interstitiel lungesygdom
Sajitha Sophia Sritharan, Line Kølner-Augustson, Sissel Kronborg-White et al