Aktuelt
Bronkiektasier er en overset lungesygdom

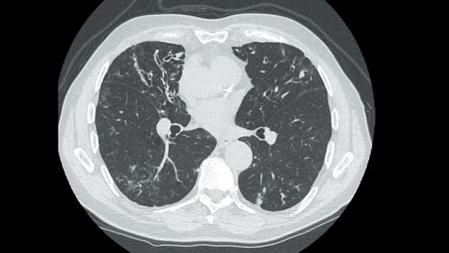
© Højresolutions-CT-billede af bronkiektasier.
7. dec. 2018
1 min.

Modsat astma og KOL er bronkiektasier en kronisk lungesygdom, hvor forskningsinteressen hidtil har været relativt begrænset. Imidlertid har øget anvendelse af højresolutions-CT ved udredning af lungepatienter vist en højere prævalens end tidligere antaget, hvilket har øget forskningsinteressen. Statusartiklen af Hilberg et al gennemgår forekomst, ætiologi og diagnostik og foreslår en individualiseret behandling afhængig af fænotypen og endotypen.
Læs statusartiklen
Individualiseret behandling af patienter med bronkiektasier
Ole Hilberg, Charlotte Hyldgaard, Anders Løkke et al