Aktuelt
Forløb og behandling af ukompliceret divertikulitis

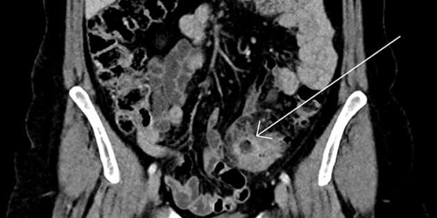
CT-billede af ukompliceret divertikulitis i colon sigmoideum med lokal inflammation og stranding omkring et divertikel (pil).
12. jul. 2021
1 min.

Ukompliceret akut divertikulitis er karakteriseret ved forekomst af lokaliseret inflammation med eller uden små intramurale abscesser i sigmoideum, mens ved kompliceret divertikulitis ses perikoliske abscesser, peritonitis, obstruktion og fistulering. Statusartiklen af Dichman og Shabanzedah gennemgår ætiologi, patofysiologi, diagnosticering og behandling af ukompliceret divertikulitis. Forfatterne konkluderer, at tilstanden ikke bør rutinemæssigt behandles med antibiotika.
Læs statusartikel
Ukompliceret akut divertikulitis kan behandles uden antibiotika
Marie-Louise Dichman & Daniel Mønsted Shabanzedah