Aktuelt
Kontrolendoskopi bør forbeholdes patienter med kompliceret akut divertikulitis

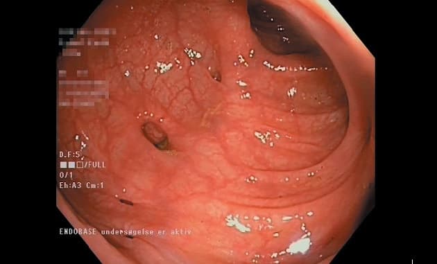
©. Divertikulose ved endoskopi.
22. okt. 2018
1 min.

Over 60% af ældre over 80 år har colondivertikulose, og livstidsrisikoen for at udvikle en komplicerende akut divertikulitis hos disse personer antages at være 10-25%. Mange guidelines anbefaler koloskopi i en rolig fase efter CT-verificeret divertikulitis. I deres statusartikel konkluderer Erritzøe et al, at risikoen for at have en ikkeerkendt kolorektal cancer især er øget hos patienter med kompliceret divertikulitis, mens der ikke er evidensbaseret gevinst ved at foretage en kontrolendoskopi efter en ukompliceret divertikulitis.
Læs statusartiklen
Kontrolendoskopi efter akut divertikulitis
Liv Willer Erritzøe, Svend Knuhtsen & Lasse Bremholm Hansen