Aktuelt
Neuropsykiatriske symptomer opstod næsten 4 uger efter svær kulilteforgiftning

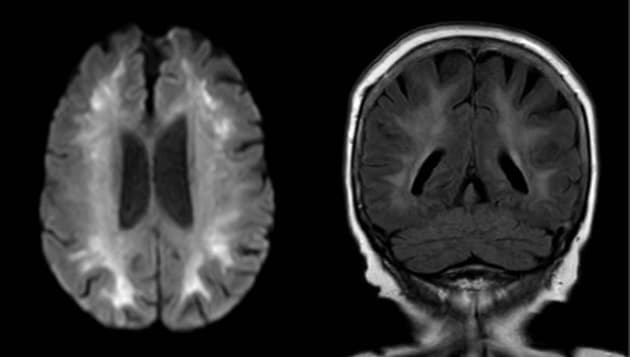
MR skanning af hjernen.
29. apr. 2020
1 min.

Sygehistorien beskriver en tidligere rask 77-årig kvinde, som blev fundet bevidstløs med svær kulilteforgiftning fra et defekt pillefyr. Arteriepunktur viste svært forhøjet hæmoglobinmætning af kulilte på 27%. Hun fik flere behandlinger med hyperbar oxygen i trykkammer og blev udskrevet efter otte dage. Ca. 3 uger senere blev hun genindlagt med balancebesvær, hukommelsesbesvær og apati. Læs mere om patogenese og diagnostik af denne tilstand, som benævnes forsinket neuropsykiatrisk syndrom, i kasuistikken af El Mahdaoui et al.
Læs kasuistik
Kulilteforgiftning og udvikling af forsinket neuropsykiatrisk syndrom hos en 77-årig kvinde
Sahla El Mahdaoui, Christian Stenør, Arkadiusz Weglewski et al