Aktuelt
Sjælden årsag til febrilia og højresidige respirationssynkrone abdominalsmerter hos en ung kvinde

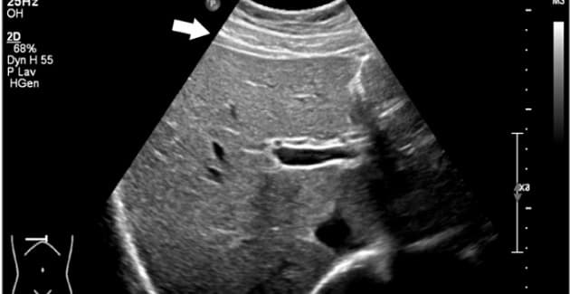
UL skanningsbillede af patientens lever.
12. feb. 2021
1 min.

Fitz-Hugh-Curtisʼ syndrom (FHCS) er en komplikation til underlivsinfektion og giver perihepatitis med smerter under højre kurvatur. Kasuistikken af Skov og Schreiber beskriver sygdomsforløbet hos en tidligere rask 21-årig kvinde og anfører, at et karakteristisk fund er fortykket og trelaget leverkapsel på UL-skanningsbilledet.
Læs kasuistik
Fitz-Hugh-Curtisʼ syndrom kan give smerter under højre kurvatur
Rebecca Skov & Selma Schreiber