Aktuelt
Traumatisk hofteluksation hos børn

Venstresidig hofteluksation
10. jul. 2020
1 min.

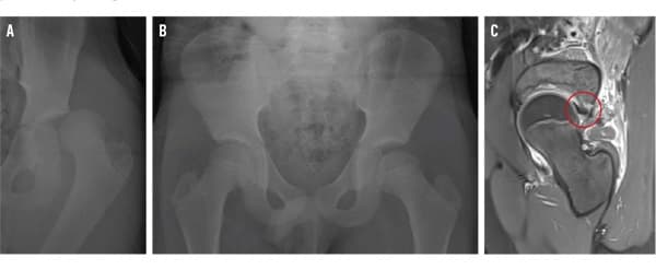
Primær behandling af traumatisk hofteluksation hos børn er lukket reposition så hurtigt som muligt. Med udgangspunkt i to sygehistorer, hvor der efter reposition var tegn på interponeret væv, gennemgår Foldager et al. en sikker kirurgisk dislokationsteknik, hvor det er muligt at skåne a. circumflexa femoris og samtidigt få overblik over skaderne.
Kasuistik
Sikker kirurgisk hoftedislokation til behandling af skader efter traumatisk hofteluksation hos børn
Casper Bindzus Foldager, Jeppe Barckman & Martin Gottliebsen