Akut luftvejsobstruktion grundet uerkendt akalasi efter ukompliceret vaginal fødsel


Anna García-Alix Grynnerup1, Mette Siemsens2, Birgitte Charabi3, Jakob Louis Demant Thomsen4 & Jacob Lykke1
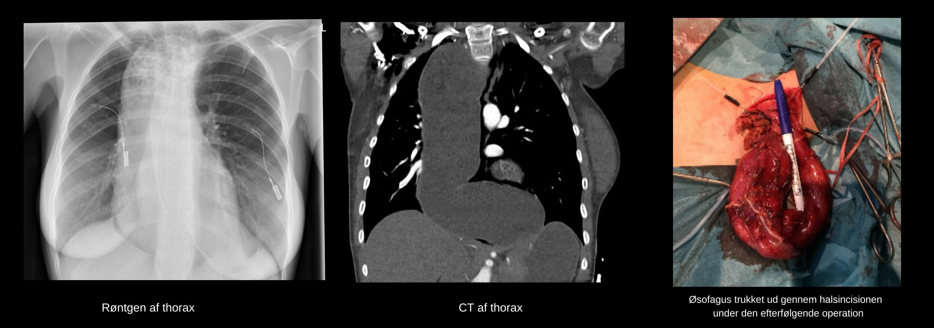
En 22-årig kvinde fødte sit første barn ukompliceret vaginalt, men fik umiddelbart herefter akut respirationsbesvær med påskyndet stridorøs vejrtrækning. En røntgenundersøgelse af thorax viser breddeforøget mediastinum. Der blev foretaget akut CT, der viste massivt dilateret væskefyldt øsofagus med tryk på trachea og højre hovedbronchus, hvilket var foreneligt med akalasi. Patienten blev overflyttet til et intensivafsnit, hvor den respiratoriske tilstand bedredes.
Anamnestisk berettedes der om synkebesvær, opkastninger og vægttab gennem 5-7 år samt anfald med respirationsbesvær efter måltider. Anfaldene var blevet tolket som angstanfald. I graviditeten var patienten blevet fulgt pga. hyppige opkastninger. Hun var tidligere blevet udredt med gastroskopi, som var uden abnorme fund.
Akalasi er en motilitetssygdom i øsofagus med deraf følgende trykstigning i øsofagus og manglede tømning [1]. De hyppigste symptomer er dysfagi og regurgitation, som kan fejltolkes som spiseforstyrrelse eller graviditetsgener hos gravide [2]. Ubehandlet kan akalasi over tid resultere i svær dilatation og forlængelse af øsofagus. Luftvejsobstruktion som følge af dette er en sjælden komplikation ved akalasi og viser sig i form af akut respirationsbesvær [3].
Korrespondance: Anna García-Alix Grynnerup.
E-mail: Anna.garcia-alix.haugen.grynnerup.01@regionh.dk
Interessekonflikter: ingen. Forfatternes ICMJE-formularer er tilgængelige sammen med artiklen på Ugeskriftet.dk
Richter JE. Achalasia – an update. J Neurogastroenterol Motil 2010;16:232-42.
Spiliopoulos D, Spiliopoulos M, Awala A. Esophageal achalasia: an uncommon complication during pregnancy treated conservatively. Case Rep Obstet Gynecol 2013;2013:639698
Then EO, Sunkara T, John F et al. Achalasia cardia resulting in bronchial obstruction – a case series and literature review. Korean J Gastroenterol 2019;73:105-8.