1. trimester-screeningen og FØTOdatabasen


Kasper Gadsbøll1, Karin Sundberg1, Ida Kirkegaard2, Richard Farlie3, 4, Lene Sperling5, 6, 7, Lars Henning Pedersen4, 8, Olav Bjørn Petersen1, 9 & Finn Stener Jørgensen9, 10, 11
Alle gravide kvinder i Danmark tilbydes en 1. trimester-screeningsundersøgelse ved gestationsalder 11-14 uger. Tilbuddet accepteres af over 90%.
Ved screeningen detekteres over 90% af fostre med trisomi 21.
FØTOdatabasen er en national føtalmedicinsk forsknings- og kvalitetsdatabase.
UL-screening var ikke et tilbud til alle gravide kvinder i Danmark før 2004, hvor der imidlertid skete et paradigmeskifte. I september 2004 udgav Sundhedsstyrelsen (SST) nemlig en ny vejledning efter grundig forberedelse, hvori det anbefaledes, at alle gravide kvinder fremover skulle tilbydes to UL-undersøgelser i løbet af graviditeten [1]. En tidlig undersøgelse ved gestationsalder (GA) 11-14 uger med mulighed for sandsynlighedsberegning for kromosomafvigelser samt en sen undersøgelse ved GA 19-20 uger med fokus på gennemskanning af fosteret for misdannelser.
I 2017 kom en ny udgave af retningslinjerne for fosterdiagnostik [2], hvor de nye genetiske undersøgelser noninvasiv prænatal test (NIPT) og kromosomal mikroarray (CMA) (sidstnævnte som analysemetode ved moderkage- og fostervandsprøver) blev indført som tilbud ved øget sandsynlighed, ligesom der indførtes såkaldte enkeltkriterier for øget sandsynlighed for atypiske kromosomfejl. Retningslinjerne blev revideret igen i mindre omfang i 2020 [3] som følge af oprettelsen af Nationalt Genom Center.
Oprettelsen af FØTOdatabasen (FDB) i 2008-2010 med indsamling af nationale screeningsdata har haft afgørende betydning for det kliniske kvalitetsarbejde med 1. trimester-screeningen, ligesom databasen har muliggjort mange føtalmedicinske forskningsprojekter.
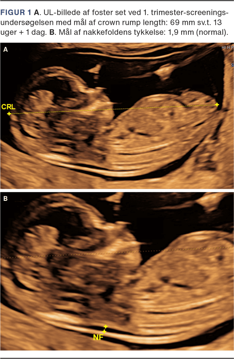
1. trimester-screeningsundersøgelsen er et tilbud til alle gravide, som den gravide informeres om hos egen læge i forbindelse med første svangreundersøgelse. Undersøgelsen foretages ved GA 11-14 uger af en sonograf, der er certificeret i nakkefold (NF)-skanning. Ved skanningen undersøges for fosterhjerteaktivitet, antal fostre samt for choriositet ved flerfoldsgraviditet. GA bestemmes ved måling af crown rump length (CRL) (Figur 1 A). Herudover måles NF-tykkelse (Figur 1 B), hvis den gravide ønsker sandsynlighedsvurdering for trisomi 21, trisomi 18 og trisomi 13. Fosteret undersøges desuden for større misdannelser, herunder større CNS-misdannelser (f.eks. anencefali), svære hjertemisdannelser, bugvægsdefekter og større skeletmisdannelser (f.eks. manglende ekstremiteter). Sandsynlighedsvurderingen beregnes ud fra den gravides alder, NF-tykkelse og biokemiske markører målt ved en blodprøve. Blodprøven (doubletesten) tages ved egen læge eller på hospital ved GA 8-14 uger. I blodprøven analyseres to proteiner, der begge produceres i placenta: pregnancy-associated-plasma-protein A (PAPP-A) og frit beta-humant choriongonadotropin (fβ-hCG). Den målte koncentration af begge markører omregnes til multiples of the median (MoM)-værdier, da de varierer betydeligt med GA, ligesom de justeres for diverse maternelle karakteristika, der vides at påvirke koncentrationen – bl.a. paritet, vægt, rygning, etnicitet og konceptionsmåde. Alle data samles i det føtalmedicinske softwareprogram Astraia, der udregner sandsynligheden for trisomi 21, 18 og 13. Hvis den gravide har en sandsynlighed for trisomi 21 på ≥ 1:300 og/eller trisomi 18 eller 13 på ≥ 1:150, tilbydes yderligere undersøgelse. Ligeledes tilbydes yderligere undersøgelse ved tilstedeværelse af et af følgende enkeltkriterier for atypiske kromosomfejl: alder ≥ 45 år, NF ≥ 3,5 mm, PAPP-A eller fβ-hCG ≤ 0,2 MoM, fβ-hCG ≥ 5 MoM, eller hvis der er påvist en misdannelse hos fosteret.
Videre udredning ved abnorm 1. trimester-screeningsundersøgelse
Ved øget sandsynlighed for kromosomafvigelse, positiv enkeltmarkør eller misdannelser tilbydes genetisk udredning, primært ved moderkageprøve (CVS) eller fostervandsprøve (AC), hvor føtalt DNA analyseres ved CMA [4, 5]. Som et alternativ til invasiv diagnostik tilbydes NIPT, der analyserer DNA-fragmenter fra placenta i en blodprøve fra den gravide. NIPT er en avanceret screeningstest med meget høj sensitivitet og specificitet for trisomi 21, 18 og 13, men med ringe evne i sin nuværende form til at detektere mikrodeletionssyndromer eller andre submikroskopiske aberrationer, der samlet set er hyppigere end trisomi 21 hos gravide ≤ 35 år [5, 6]. CMA og NIPT er derfor ikke ligeværdige undersøgelser. NIPT vil dog altid være et tilbud for dem, der ikke ønsker invasiv diagnostik.
Hvis UL-undersøgelsens resultat ikke vurderes normal, f.eks. ved fund af misdannelser eller øget NF (≥ 3,5 mm), tilbydes desuden tidlig gennemskanning og tidlig fosterhjerteskanning ved GA 16 uger med detaljeret gennemgang af fosterets anatomi og biometriske mål [7].
Hvis der ved den tidlige gennemskanning påvises misdannelser eller forstørret NF, og CMA-undersøgelsen er normal, tilbydes ved en række udvalgte misdannelser/tilstande udvidet genetisk udredning med helgenomsekventering (WGS).
Indikationerne for WGS justeres løbende i samarbejde med genetikerne, bl.a. i regi af Dansk Føtalmedicinsk Selskabs (DFMS) tværfaglige WGS-arbejdsgruppe [8].
Øget NF (≥ 3,5 mm) ved 1. trimester-undersøgelsen giver også indikation for sen fosterhjerteskanning ved GA 21 uger i tillæg til det rutinemæssige tilbud om en 2. trimester-skanning ved GA 19-20 uger.
Resultater fra 1. trimester-screeningen
Fra 2008 til 2018 deltog > 90% af danske gravide i tilbuddet om 1. trimester-screening. Andelen af gravide med øget sandsynlighed for trisomi 21 (screenpositivraten) lå nationalt under 5% i perioden (3,6-5,0%) kun med mindre regionale forskelle (Figur 2) [9]. I forbindelse med 1. trimester-screeningen identificeres > 90% af graviditeter med trisomi 21 (Figur 2 og Figur 3) [10] og ca. 84% med trisomi 18 og trisomi 13, hvilket er en markant forbedret detektionsrate sammenlignet med perioden før 2004. Dertil identificerede sandsynlighedsberegningen 86% af alle fostre med triploidi og 92% af fostre med Turners syndrom. Dog identificeredes kun 23% (248/1.091) af alle patogene mikrodeletions- og -duplikationssyndromer diagnosticeret inden toårsalderen i perioden [11].
Blandt gravide med høj sandsynlighed blev ca. 10% diagnosticeret med en kromosomanomali, og 70% af disse var trisomi 21, 18 eller 13, sv.t. ca. 195 tilfælde årligt. De resterende 30% udgjordes af kønskromosomafvigelser, mosaicisme og andre atypiske kromosomafvigelser (dvs. triploidi eller patogene mikrodeletioner og -duplikationer). Andelen med en patogen mikrodeletion eller -duplikation steg fra 4,7% i 2008-2012 til 13,9% i 2015-2018 primært grundet introduktionen af CMA i 2013 [11].
Raten af utilsigtede aborter inden for tre uger efter en CVS var i 2018 0,8%. Auditering viste, at størstedelen af de gravide, som aborterede, havde fostre med kromosomanomalier, misdannelser, væksthæmning eller placentaanomalier – alle selvstændige risikofaktorer for spontan abort. Et stort dansk FDB-baseret registerstudie fra 2016 fandt ingen øget risiko for abort efter CVS, når gravide med samme risikoprofiler blev sammenlignet [12]. Den procedurerelaterede abortrisiko efter CVS angives derfor til at være maks. 0,5%.
Ud over kromosomanomalier identificeres størstedelen af store strukturelle misdannelser ved 1. trimester-screeningen. Således blev alle fostre med anencefali og > 80% af fostre med bugvægsdefekter fundet inden GA 18 uger i 2018 [9].
FDB blev etableret i 2008-2010 på initiativ af DFMS [13]. I 2010 blev databasen en del af Regionernes Kliniske Kvalitetsudviklingsprogram (RKKP).
Formålet med FDB er at bidrage til ensartet praksis og høj standard på tværs af alle afdelinger gennem monitorering af kvaliteten af de tilbudte fosterdiagnostiske undersøgelser. Indsatsområder udpeges bl.a. via brug af indikatorer. Formålet er desuden at levere data til føtalmedicinsk forskning og derigennem bidrage til ny viden, udvikling og bedre behandling af gravide og de kommende børn. Databasens styregruppe er tværfaglig, og alle regioner er repræsenteret. Årsrapporterne er offentligt tilgængelige.
Ca. 99% af alle gravide fra 2008 og frem, der har fået foretaget en eller flere UL-skanninger under graviditeten er inkluderet i FDB, der samler og kobler data fra følgende datakilder (Figur 4) [13]:
- Astraia, et føtalmedicinsk registrerings- og beslutningstøttesystem, der anvendes på alle obstetriske afdelinger i Danmark.
- Dansk Cytogenetisk Centralregister, der indeholder information om genetiske analysesvar, både præ- og postnatale samt svar fra undersøgelser efter aborter.
- Det Medicinske Fødselsregister, der indeholder information om graviditets- og fødselsudfald.
- Landspatientregisteret, der indeholder diagnoser vedrørende den gravide, fosteret og det fødte barn.
Respekten for den gravides autonomi er central. Tilbuddet om screening gælder alle gravide i Danmark, og derfor påhviler det sundhedssystemet at sikre, at alle gravide får et informeret valg, herunder retten til ikke at vide [3]. De gravide skal gives fyldestgørende information om screeningens formål, begrænsninger og mulige konsekvenser allerede ved første svangreundersøgelse hos egen læge. Samtykket til undersøgelsen skal være frivilligt og baseret på en forståelse af, hvad skanningen indebærer, og hvilke valg det kan føre til, herunder yderligere diagnostik eller overvejelser om graviditetens fremtid.
Der er løbende debat om, hvorvidt skanningen og screeningsprogrammet er forbundet med etiske udfordringer. Desuden om undersøgelserne utilsigtet kan bidrage til stigmatisering af individer med kromosomale afvigelser, samt om undersøgelserne kan skabe et implicit pres på gravide for at træffe bestemte valg, herunder abort. Disse aspekter stiller krav til de sundhedsprofessionelle om at støtte patientens egne værdier og til sundhedssystemet om grundig information. En afgørende del af informationen er derfor, at der er tilbud om 1. trimester-skanning, uanset om den gravide også ønsker en sandsynlighedsberegning for kromosomafvigelser eller ej [3], samt at der er mulighed for helt at fravælge at blive UL-skannet, formuleret af SST som »… gennem neutral og fyldestgørende information at give den gravide/parret mulighed for at træffe de valg, der er rigtige for hende/dem – ikke at hindre fødsel af børn med alvorlige sygdomme eller handikap« [3].
Det forventes, at tilbuddet med tiden udvides på forskellig vis. UL-teknologien udvikles konstant. Det vil fremover i tiltagende grad give mulighed for en mere omfattende tidlig undersøgelse af fosteret for misdannelser inkl. hjertemisdannelser [14]. Herudover åbner udviklingen inden for genetik og molekylærbiologi for, at man fremover i forbindelse med 1. trimester-screeningen vil kunne tilbyde endnu mere omfattende undersøgelser for kromosomfejl og genfejl, ligesom bærerscreening vil kunne blive mulig.
Der er også mulighed for inklusion af screeningsundersøgelser for maternelle graviditetsrelaterede komplikationer i undersøgelsen. I 2025 opstartes således et nationalt 1. trimester-screeningsprojekt for præeklampsi (PE) i Danmark [15-17].
I en tid, hvor kunstig intelligens (AI)-baseret forskning udvikler sig med stor hastighed, også inden for føtalmedicin, vil det specielt i Danmark blive muligt løbende at træne AI-modeller på de meget store mængder populationsbaserede screeningsdata, som lagres i FDB, efterhånden som graviditetsudfaldene bliver kendt. Da der både er anamnestiske, maternelle og føtale data samt børnediagnoser i databasen, er mulighederne mange for at kunne udvikle individuelle kontrolforløb og behandlinger. Forhåbentlig vil vi dermed kunne identificere de fleste højrisikogravide – ikke kun for sygdom hos fosteret, men også for placentapatologi og vækstproblematikker samt maternelle tilstande, der øger risikoen for præterm fødsel og intrauterin død. Målet er at gøre dette så tidligt i graviditeten som muligt, så profylakse kan indsættes om muligt, og kontrol planlægges.
1. trimester-screeningen har været en stor succes med meget høj patientaccept siden starten i 2004, hvor screeningsundersøgelsen blev indført. Den faglige kvalitet i screeningsarbejdet holdes konstant høj, bl.a. gennem et tæt nationalt samarbejde via DFMS med nationale guidelines og et nationalt årligt 1. trimester-møde med gennemgang af screeningsdata fra Astraia og FDB, hvilket muliggør tæt monitorering inkl. undersøgelse af opfyldelsesgrad af diverse screeningsindikatorer. I de kommende år udvides 1. trimester-screeningen fra 2025 med inklusion af et nationalt implementeringsprojekt om 1. trimester-screening for PE. FDB er siden starten udbygget meget betydeligt. Forskningsmulighederne i databasen forventes med AI at kunne nå et nyt niveau.
Korrespondance Finn Stener Jørgensen. E-mail: finn.stener.joergensen@regionh.dk
Antaget 7. marts 2025
Publiceret på ugeskriftet.dk 28. april 2025
Interessekonflikter OBP oplyser økonomisk støtte fra eller interesse i The Novo Nordisk Foundation. Alle forfattere har indsendt ICMJE Form for Disclosure of Potential Conflicts of Interest. Disse er tilgængelige sammen med artiklen på ugeskriftet.dk
Referencer findes i artiklen publiceret på ugeskriftet.dk
Artikelreference Ugeskr Læger 2025;187:V12240874
doi 10.61409/V12240874
Open Access under Creative Commons License CC BY-NC-ND 4.0
All pregnant women in Denmark are offered a first-trimester ultrasound screening examination between 11 and 14 weeks of gestation. Additionally, women are offered a risk assessment for foetal chromosomal abnormalities. The main results in this review are that more than 90% of pregnant women attend the first-trimester screening, and of those, 5% receive a high-risk screening result for trisomy 21. The first-trimester screening detects more than 90% of trisomy 21 cases and a large proportion of severe structural malformations. The Danish Fetal Medicine Database (DFMD) was established in 2008-2010. DFMD is a national clinical research and quality database.