Kronisk emfysematøs osteomyelitis


Mohsin Aslam1, Simona Gentile2 & Per Boye Hansen1
Emfysematøs osteomyelitis (EO) er en yderst sjælden tilstand karakteriseret ved infektion med luftudvikling i knogle og omkringliggende væv. Mortaliteten er høj, hvorfor tidlig og korrekt diagnose er nødvendig for optimal behandling. I det følgende beskrives forløbet hos en patient, hvor en CT verificerede EO i højre humerus og venstre klavikel.
En 65-årig mand med primært centralnervesystems (CNS-)lymfom i behandling med intensiv kombinationskemoterapi udviklede neutropeni, feber uden fokus og forværring i kroniske rygsmerter. Tidligt i forløbet afslørede dyrkninger vækst af Klebsiella pneumoniae i urinen og blodet i en ud af tre kolber begge følsomme for cefuroxim, gentamicin og meropenem. PET viste forandringer fra bevægeapparatet og columna, herunder Th7 og malignitetssupekte forandringer i venstre klavikel og venstre humerus. Biopsier viste hhv. uspecifikke reaktive forandringer og ingen tegn på malignitet.
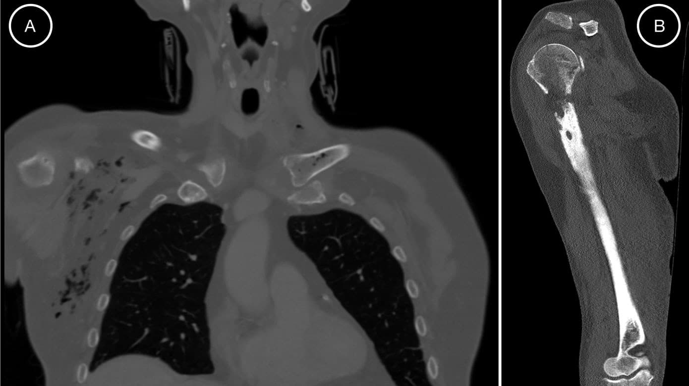
Med tiltagende smerter og nytilkommen hævelse af højre overekstremitet viste en fornyet CT en nytilkommen ossøs destruktion med luftudvikling i højre humerus og omkringliggende muskler og fascier samt luftudvikling i venstre mediale klavikelende (Figur 1A). Disse fund var forenelige med EO.
Efter en sygdomsperiode på tre måneder med bredspektret antibiotika, infektion uden sikker ætiologi og svingende grad af infektionskontrol fik patienten i alt seks uger med i.v. cefuroxim tillagt ciprofloxacin og metronidazol med efterfølgende klinisk bedring, infektionskontrol og samtidig verificeret aftagende luftudvikling i højre skulder og svind af luft i venstre klavikel. Der opnåedes imidlertid komplet remission (CR) for CNS-lymfomet efter blot to serier af kemobehandlinger. Man afstod på dette tidspunkt fra yderligere kemoterapi pga. komplikationerne.
Efter tre måneder uden antibiotika blev patienten genindlagt med recidiv af osteomyelitis (Figur 1B) og udviklede en absces i højre overarm. Dyrkninger af materiale fra UL-vejledt drænage viste K. pneumoniae med uændret resistensmønster. Patienten fik herefter i.v. antibiotika i tre måneder med god effekt.
Et år efter sidste kemobehandling fik patienten relaps af CNS-lymfomet. Under kemoforløbet indlagdes patienten med mistanke om recidiv af EO. MR af højre skulder viste forandringer forenelige med osteomyelitis. Efter i alt 14 måneders recidiverende infektioner blev der foretaget revisionskirurgi med amputation af højre caput humeri, skylning med gentamicin og vancomycin, indsættelse af Gentacoll i marvkanalen samt gentamicin-coated cement spacer i leddet. Dyrkninger herfra påviste vækst af K. pneumoniae i fire ud af fem vævbiopsier følsom for cefuroxim og gentamicin. Patienten fik herefter seks ugers behandling med i.v. cefuroxim. I efterforløbet blev patienten bragt i CR for CNS-lymfomet og uden recidiv af EO.
EO er en sjælden tilstand med en høj dødelighed, der bør overvejes ved påvist luftudvikling i knogle og omkringliggende væv. EO er sparsomt beskrevet i litteraturen med i alt 49 tilfælde. Med en mortalitetsrate på 34% er det essentielt at diagnosticere tilstanden tidligt i forløbet for at sikre bedst mulig behandling [1]. Tilstedeværelse af intraossøs luft i appendikulær knogle beskrives som patognomonisk for EO. Differentialdiagnoser indebærer traume, penetrerende sår, frakturer, postoperative komplikationer, osteonekrose og malignitet [2]. Der er en ligelig kønsfordeling og gennemsnitsalder på 52 år på diagnosetidspunkt. EO ses oftere hos individer med flere komorbiditeter som malignitet, diabetes mellitus, arteriel hypertension og alkoholoverforbrug. Infektionen er oftest lokaliseret til rygsøjle, bækken og hofte. Størstedelen har involvering af flere knogler. Infektionen kan være mono- eller polymikrobiel og er oftest forårsaget af bakterier i Enterobacteriaceae-familien eller anaerobe infektioner [1]. Andelen af infektioner forårsaget af K. pneumoniae øges hos individer med nedsat immunforsvar og er beskrevet som agens for udviklingen af EO [3].
Diagnosen afhænger af billeddiagnostik. CT er mest sensitiv for at påvise intraossøs gasudvikling, hvor pimpstenstegn (oversat fra »pumice stone sign«) ses ved 96% af tilfældene [4]. Røntgen har lav sensitivitet, og MR kan bruges til påvisning af luft i bløddelsvæv. Der anbefales behandling med antibiotika i op til fire-seks uger. Initialt minimum to ugers i.v. administration. Kirurgi skal hvis muligt undgås, da det er associeret med højere dødelighed og er forbeholdt komplikationer som abscesdannelse, nekrose eller manglende respons på antibiotika [1].
Korrespondance Mohsin Aslam. E-mail: mohsin.aslam@regionh.dk
Antaget 20. juli 2023
Publiceret på ugeskriftet.dk 11. september 2023
Interessekonflikter ingen. Forfatternes ICMJE-formularer er tilgængelige sammen med artiklen på ugeskriftet.dk
Referencer findes i artiklen publiceret på ugeskriftet.dk
Artikelreference Ugeskr Læger 2023;185:V04230264
Mohsin Aslam, Simona Gentile & Per Boye Hansen
Ugeskr Læger 2023;185:V04230264
Emphysematous osteomyelitis (EO) is a rare and dangerous infection characterized by the presence of intraosseous gas. In this case report, a 65-year-old man with primary central nervous system lymphoma had recurrent infections and pain in his shoulders. Urine and blood cultures revealed Klebsiella pneumoniae. CT showed the formation of gas in the right humerus and left clavicle penetrating the surrounding tissues, which led to the diagnosis of EO. After several long-term antibiotic treatments, the patient underwent surgery on the right proximal humerus. Biopsy cultures revealed K. pneumoniae.