Akutte smerter og kraftnedsættelse i underekstremitet


Moug Al-Bakri, E-mail: mougalbakri@yahoo.com, Barbara Michalska, Anne Molzen, Dorte Dalgaard, Niels Andreasen, Nykøbing Falster Sygehus, Ugeskr Læger 2016;178:V67782
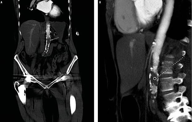
En 77-årig kvinde med kronisk obstruktiv lungesygdom, systemisk lupus erythematosus, kroniske lænderygsmerter og tidligere apopleksi blev indlagt via Falck pga. pludseligt opstået nedsat kraft og sensibilitet samt smerter i højre crus. Patienten havde claudicatio. Objektivt vurderet var hun vågen, klar og velorienteret ved ankomsten. Den højre underekstremitet var lidt bleg, kølig og pulsløs. Hun blev tiltagende dårlig med kraftig progrediering af forløbet over få timer, hvor begge ben blev fuldstændigt kølige, blåmarmorerede og paretiske. Der blev foretaget CT af abdomen på mistanke om aortaaneurisme, men skanningen viste tromboseret aorta abdominalis 2 cm distalt for afgangen af nyrearterierne. A. Trombe i aorta abdominalis i koronalt plan. B. Trombe i aorta abdominalis i sagittalt plan. Patienten blev overflyttet til en karkirurgisk afdeling og gik ad mortum kort tid efter.
Publiceret på ugeskriftet.dk: 18. juli 2016
Interessekonflikter: