Lukning af forreste tredjedel af sinus sagittalis superior hos en patient med to blyanter i hjernen


Thorbjørn Søren Rønn Jensen1, Trine Stavngaard2 & Vagn Eskesen1
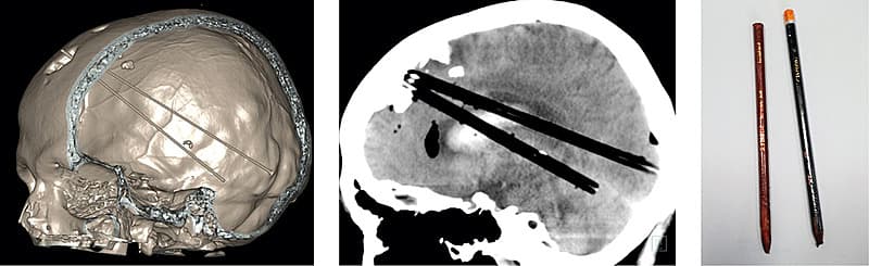
En 38-årig mand havde mast to blyanter gennem en eksisterende frontal kraniedefekt, som han ikke tidligere havde ønsket lukket. Han var efter akut overflytning vågen, vurderet psykotisk og uden oplagte neurologiske udfald. Blyanterne var ladt in situ. En CT af cerebrum viste begge blyanter, der strakte sig fra mesialt i venstre frontallap til højre occipitallap og højre cerebellare hemisfære, sidstnævnte via tentorium cerebelli.
Ved en akut kraniotomi fandt man forreste del af sinus sagittalis superior (SSS) penetreret af begge blyanter. For at minimere risikoen for en sinusblødning blev SSS ligeret fortil, inden blyanterne blev trukket ud gennem den frontale defekt.
Patienten var vågen efter operationen og fortsat uden oplagte neurologisk udfald. Han blev udskrevet i habituel tilstand.
SSS er den største hjernevene og følger den kranielle midtlinje fra crista galli til torcular herophili. Ved operation omkring SSS er lukning af den forreste tredjedel et relativt sikkert indgreb [1]. Der er dog beskrevet sekundære skader som personlighedsændringer, akinetisk mutisme og hukommelsestab pga. venøse infarkter med frontalt ødem, som i svære tilfælde kan være fatalt [2, 3].
Korrespondance: Thorbjørn Søren Rønn Jensen.
E-mail: thorbjoern.soeren.roenn.jensen.01@regionh.dk
Publiceret på Ugeskriftet.dk: 12. august 2019
Interessekonflikter: ingen. Forfatternes ICMJE-formularer er tilgængelige sammen med artiklen på Ugeskriftet.dk
Shrivastava RK, Segal S, Camins MB et al. Harvey Cushing's meningiomas text and the historical origin of resectability criteria for the anterior one third of the superior sagittal sinus. J Neurosurg 2003;99:787-91.
Salunke P, Sodhi HB, Aggarwal A et al. Is ligation and division of anterior third of superior sagittal sinus really safe? Clin Neurol Neurosurg 2013;115:1998-2002.
Nakamura M, Struck M, Roser F et al. Olfactory groove meningiomas: clinical outcome and recurrence rates after tumor removal through the frontolateral and bifrontal approach. Neurosurgery 2007;60:844-52.