Spiral på afveje


Amalie Møller Fiirgaard & Tomas Frahm Nielsen
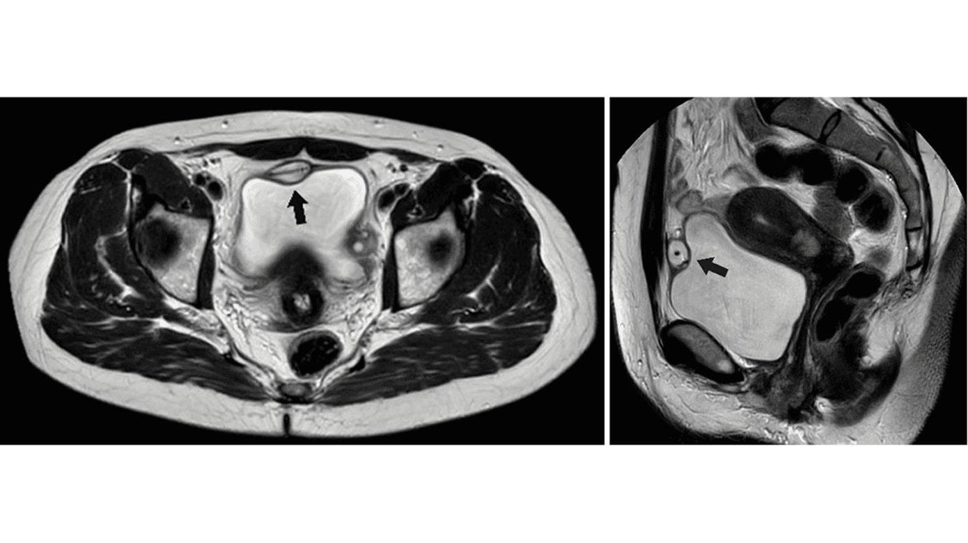
En 47-årig kvinde fik ved helkrops-MR-skanning påvist en 2 × 3 cm stor cyste i blærevæggen. Cysten indeholdt proteinholdig væske og et fremmedlegeme. Kvinden fik som 33-årig ukompliceret opsat en kobberspiral, men ønskede den fjernet ca. halvandet år efter, da hun havde graviditetsønske. Hun erfarede at være gravid, inden spiralen blev fjernet, hvorfor egen læge henviste til en gynækolog, som ikke kunne se spiralen, men bekræftede tidlig graviditet. Fødslen af en rask datter var ukompliceret. Ingen havde set kobberspiralen i forbindelse med UL-skanning, og en ny hormonspiral, som blev opsat i 2014, var fortsat in situ. Der havde været enkelte tilfælde af blærebetændelse, men ellers ingen gener.
På en MR-skanning sås hormonspiralen velplaceret i uterus, mens kobberspiralen befandt sig foran urinblæren og delvist i blærevæggen.
Perforationsraten for spiraler anslås at være 1,6-2,1/1.000 oplægninger. De fleste perforationer, som menes at ske under oplægningen, er associeret med ingen eller relativt få symptomer [1]. Ved mistanke om manglende spiral in situ tilrådes røntgenundersøgelse, evt. forudgået af UL-skanning [2, 3]. WHO anbefaler, at alle displacerede spiraler fjernes, men fjernelse af de asymptomatiske kan diskuteres, medmindre det drejer sig om en hormonspiral, og patienten har graviditetsønske [4, 5].
Korrespondance Amalie Møller Fiirgaard. E-mail: amaliemf@gmail.com
Publiceret på ugeskriftet.dk 13. marts 2023
Interessekonflikter ingen. Forfatternes ICMJE-formularer er tilgængelige sammen med artiklen på ugeskriftet.dk
Artikelreference Ugeskr Læger 2023;185:V71165