Skip to main content

Udtalt hypertrofi af bimilt efter splenektomi

cover

Christian Philip Fischer1 & Christian Skou Eriksen2

12. jun. 2023
1 min.

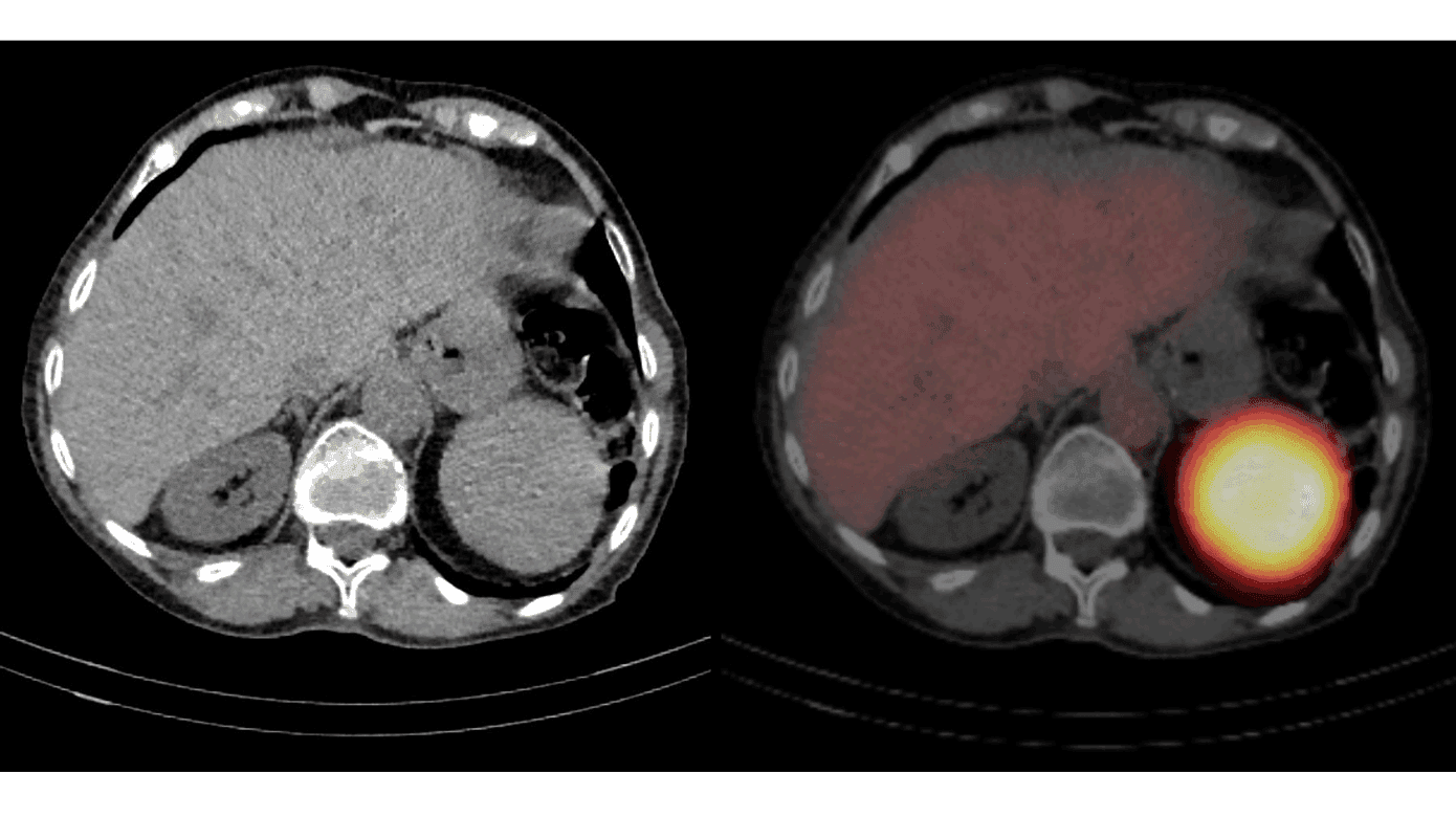
En 80-årig kvinde, splenektomeret i 1984 på grund af kronisk anæmi sekundært til hereditær sfærocytose, blev henvist til udredning for mindre, utilsigtet vægttab. CT af thorax og abdomen viste en velafgrænset, homogen proces under venstre diaphragmakuppel. Mistanken om miltvæv blev bekræftet ved hjælp af miltscintigrafi. Ved undersøgelsen fik patienten udtaget erytrocytter, som blev denatureret og mærket med 99mTc. Efter injektion af de radioaktivt mærkede og denaturerede erytrocytter blev der udført single-photon emission CT (SPECT) kombineret med konventionel CT med henblik på anatomisk lokalisationsbestemmelse. Undersøgelsen viste kraftig aktivitet i en proces i miltlejet, hvilket repræsenterede akkumulation af denaturerede erytrocytter, foreneligt med miltvæv. På de viste billeder ses også lav, fysiologisk erytrocytaktivitet i leveren og aorta.

En eller flere bimilte findes hos ca. 15% af befolkningen. Efterladte bimilte i forbindelse med splenektomi kan efterfølgende undergå hypertrofi, dog sjældent beskrevet så udtalt som i dette tilfælde. Det beslægtede fænomen splenose kan ses ved heterotopisk autotransplantation af miltvæv i forbindelse med traume eller kirurgisk indgreb.

Fundet skønnes at kunne forklare retikulocytosen hos patienten i denne sygehistorie. Herudover er den hypertrofiske milt formentligt med til at reducere den ellers velbeskrevne risiko for infektioner med bl.a. kapselbærende infektioner efter splenektomi.

Korrespondance Christian Philip Fischer. E-mail: christian.philip.fischer@regionh.dk

Publiceret på ugeskriftet.dk 12. juni 2023

Interessekonflikter Der er anført potentielle interessekonflikter. Forfatternes ICMJE-formularer er tilgængelige sammen med artiklen på ugeskriftet.dk

Artikelreference Ugeskr Læger 2023;185:V71187

Referencer

Supplerende litteratur

Palumbo V, Mannino M, Teodoro M et al. An extremely rare case of an oversized accessory spleen: case report and review of the literature. BMC Surg. 2019;19(1):45.