Akut abdomen med fund af pneumokokperitonitis


Marlene Aagaard Hansen & Michelle Meier
Streptococcus pneumoniae (pneumokokker) er en grampositiv bakterie kendt for at forårsage en række infektionssygdomme oftest relateret til mellemøre, bihuler og lunger. Mere alvorlig er invasiv pneumokoksygdom, hvor pneumokokker påvises i blod, cerebrospinalvæske eller andet normalt sterilt prøvemateriale. En meget sjælden og potentiel livstruende manifestation af invasiv pneumokoksygdom er pneumokokperitonitis.
En 20-årig ellers sund og rask mand blev indlagt med to dages varende, diffust lokaliserede mavesmerter ledsaget af enkelte alimentære opkastninger, muskulære smerter samt febrilia.
Ved indlæggelsen måltes temperatur 37,6 °C og puls på 100 pr. minut, ellers normale vitalparametre. Biokemi viste forhøjet CRP 392 mg/l og leukocytter 20,9 mia./l, og der blev foretaget bloddyrkning.
Ved objektiv undersøgelse af abdomen fandtes diffus peritoneal reaktion.
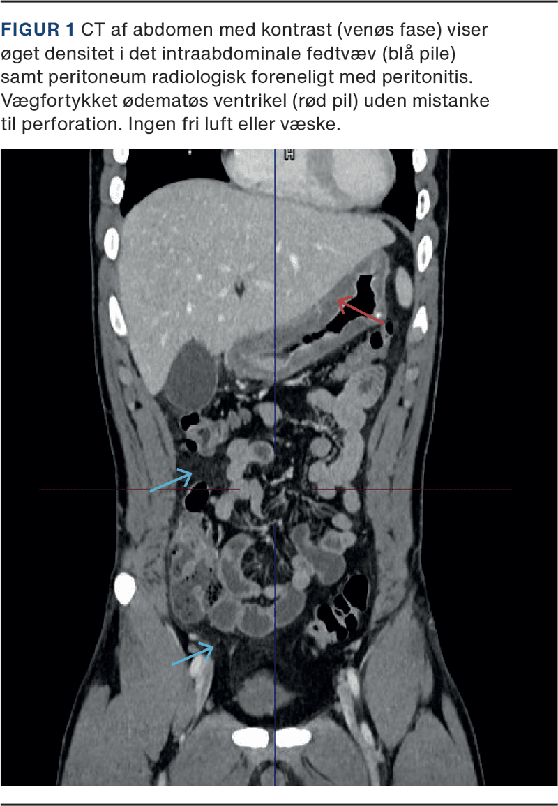
På baggrund af uafklaret akut abdomen med peritonealia blev akut højrisiko abdominalkirurgi (AHA)-forløb iværksat inkl. administration af piperacillin/tazobactam. CT af abdomen viste let fortykket ventrikelvæg og diffus peritonitis uden oplagt indgangsport (Figur 1).
Herpå blev der foretaget akut diagnostisk laparoskopi med fund af diffus, purulent peritonitis. De intraabdominale organer blev gennemgået systematisk uden fund af patologi. Purulent peritonealvæske blev opsamlet og sendt i spidsglas med henblik på dyrkning. En supplerende peroperativ gastroskopi var ligeledes normal.
Dyrkning af peritonealvæske var uden vækst. Bloddyrkning udkom imidlertid med fund af penicillinfølsomme pneumokokker. På anbefaling fra mikrobiologisk afdeling fastholdtes behandling med bredspektret piperacillin/tazobactam. Der var hverken anamnestisk eller klinisk mistanke til andet primært infektionsfokus.
I de følgende dage forbedredes patientens almentilstand og på tredje postoperative dag var patienten afebril, CRP 132 mg/l og leukocytter 11,2 mia./l. Patienten modtog herefter i.v. piperacillin/tazobactam, mens han var på orlov i hjemmet. På syvende postoperative dag var CRP yderligere faldet til 22 mg/l, leukocytter normaliserede, antibiotikabehandling blev seponeret, og patienten blev udskrevet velbefindende. Efter Statens Serum Instituts (SSI) anbefalinger blev patienten vaccineret med PCV20.
Aktuelle sygehistorie beskriver en sjælden og overraskende klinisk manifestation af invasiv pneumokoksygdom hos en 20-årig mand uden prædisponerende faktorer for primær bakteriel peritonitis.
Pneumokokperitonitis er beskrevet som primær infektion uden andet fokus hos patienter med levercirrose, nefrotisk syndrom og immunsuppresion og desuden sekundært til eksempelvis gastrointestinel perforation samt spredt fra genitaltrakten [1]. Baseret på en midtjysk opgørelse fra 2003 forekommer sekundær peritonitis typisk hos: (1) børn med appendicitis, (2) yngre kvinder med gynækologisk infektionsfokus og (3) ældre, komorbide patienter med læsion i øvre gastrointestinalkanal [2].
Incidensen for pneumokokperitonitis er 0,5 pr. 100.000 pr. år [2]. Til sammenligning er incidensen af invasiv pneumokoksygdom opgivet til 10,5 pr. 100.000 pr. år [3]. På baggrund af den lave incidens findes ikke behandlingskonsensus for pneumokokperitonitis. Diagnostisk laparoskopi med mulighed for behandling af en evt. læsion i gastrointestinalkanalen er givet. Peroperativ skylning af bughulen kan udføres. Vigtigst er antibiotisk behandling [1].
Ved invasiv pneumokoksygdom er der laboratoriemeldepligt til SSI [4]. Pneumokokvaccination er effektivt i forebyggelsen af invasiv pneumokoksygdom herunder pneumokokperitonitis [4] og har siden 2007 været del af det danske børnevaccinationsprogram, den 13-valente pneumokokvaccine (PCV13), og anbefales herudover til ældre over 65 år, den 23-valente pneumokokvaccine (PCV23) samt andre risikogrupper [4, 5]. Patienten i denne kasuistik er født i 2004, tre år før indførelsen af pneumokokvaccine i børnevaccinationsprogrammet.
Ud over præsentation af en sjælden manifestation af pneumokoksygdom, er dette sygdomsforløb bemærkelsesværdigt, idet patienten er ung, tidligere rask og uden kendte prædisponerende faktorer til pneumokokperitonitis og falder således udenfor definerede risikogrupper. Dyrkning af peritonealvæsken var negativ, muligvis grundet antibiotisk behandling forud for prøvetagning. Ved rettidige diagnostiske tiltag og relevant antibiotikabehandling blev sygdomsforløbet kort og ukompliceret. Det er uvist, hvordan pneumokokker i denne case har nået peritoneum – fokuseret anamnese og nævnte undersøgelser har ikke kunnet klarlægge dette.
Korrespondance Michelle Meier. E-mail: michellemeiermd@gmail.com
Antaget 8. juli 2025
Publiceret på ugeskriftet.dk 29. september 2025
Interessekonflikter ingen. Begge forfattere har indsendt ICMJE Form for Disclosure of Potential Conflicts of Interest. Disse er tilgængelige sammen med artiklen på ugeskriftet.dk.
Referencer findes i artiklen publiceret på ugeskriftet.dk
Artikelreference Ugeskr Læger 2025;187:V04250301
doi 10.61409/V04250301
Open Access under Creative Commons License CC BY-NC-ND 4.0
A healthy 20-year-old man was admitted with abdominal pain and fever. He had signs of peritoneal irritation, and blood tests showed elevated infection markers. Laparoscopy revealed purulent peritonitis of unclear cause. Blood cultures grew Streptococcus pneumoniae. He improved rapidly with antibiotics. This case highlights a rare manifestation of pneumococcal disease – peritonitis in an unusual subject; a young, previously healthy patient without risk factors. Following recovery, he was vaccinated against pneumococci.