Skip to main content

Akut aortasyndrom

Louise Hill-Madsen, Katrine Brodersen & Annette Høgh

9. maj 2016
11 min.

Akut aortasyndrom er en betegnelse for en gruppe af patogene tilstande, som påvirker de torakale såvel som de abdominale dele af aorta og omfatter klassisk aortadissektion, intramuralt hæmatom, penetrerende aterosklerotisk ulcus og rumperet aortaaneurisme [1, 2]. De nævnte tilstande kan eksistere side om side, og udvikling af dissektion fra både intramuralt hæmatom og penetrerende ulcus er beskrevet [1]. Akut aortasyndrom er en klinisk udfordring, idet symptomerne kan ligne flere hyppige akutte tilstande som koronart syndrom og akut abdomen m.fl. og har en hurtigt indsættende, høj mortalitet [3-5].

Formålet med denne artikel er at øge opmærksomheden på forekomsten af akut aortasyndrom og den kliniske præsentation samt at understrege, hvor vigtig optimal billeddiagnostik er i diagnosticeringen.

FOREKOMST

Populationsbaserede undersøgelser tyder på en incidens af akut aortasyndrom på 2-3,5 pr. 100.000 personår, svarende til 100-200 nye tilfælde om året i Danmark [1, 3, 5]. Dette er sandsynligvis ikke den sande incidens, idet tilstanden som nævnt har en hurtigt indsættende, høj mortalitet, og det anslås, at op mod 21% dør præhospitalt [5, 6]. En del dødsfald vil dermed formentligt blive tilskrevet andre hyppigere sygdomme. Herudover må det forventes, at incidensen vil stige i takt med, at gennemsnitsalderen i populationen stiger, og i et prospektivt populationsbaseret studie fra 2013, baseret på data fra det primære og sekundære sundhedsvæsen, anslås da også en højere incidens på seks pr. 100.000 pr. år [6-8].

PATOLOGI

Klassisk aortadissektion, som er den hyppigste undergruppe af akut aortasyndrom [9], sker ved en brist i aortas intima, hvorved karvæggens lag spaltes fra hinanden, og to lumina opstår. Dissektionen kan involvere afgangen af visceralarterierne, med risiko for iskæmi af de organer, der forsynes fra aorta (nyrer, tarm og ben) til følge. Desuden kan der opstå hjertetamponade og ruptur af aorta [9]. Intramuralt hæmatom opstår ved ruptur i vasa vasorum i media og kan betragtes som
et forstadium til dissektion [9, 10]. Intramuralt hæmatom sidder oftest i den descenderende del af aorta og er associeret med højere alder end aortadissektion [10, 11]. Penetrerende aterosklerotisk ulcus defineres som en ulceration i aterosklerotisk intima med penetrering til media, hvilket kan føre til lokalt hæmatom i aortavæggen eller til ruptur [2, 3] (Figur 1). Trods den
forskellige patologi ved akut aortasyndroms undergrupper ligner symptomerne hinanden, hvilket gør det både klinisk og billeddiagnostisk vanskeligt at differentiere og derved vanskeligt at stille den præcise diagnose [9].

AKUT AORTASYNDROM –
DISPONERING OG SYMPTOMER

Der er flere forskelligartede disponerende faktorer til akut aortasyndrom (Tabel 1). Fælles for dem alle er en svækkelse af intima.

Mænd bliver hyppigere ramt end kvinder, mens de afficerede kvinder har en dårligere prognose. Det skyldes, at kvinderne gennemsnitligt er ældre og oftere har atypiske symptomer, som medfører forsinket diagnose, hvilket afspejler sig i en højere mortalitet for kvinder, som bliver opereret for type A-dissektion (Figur 2), end for mænd [3, 7, 13, 15, 16].

Ældre patienter (> 70 år) har hyppigere disponerende faktorer som aterosklerose, diabetes og hypertension, mens Marfans syndrom udelukkende associeres med yngre personer [17-19].

Symptomerne på akut aortasyndrom har en bred variation fra en isoleret synkope og hypotension til voldsomme smerter ofte lokaliseret til bryst og/eller ryg. Desuden har op til 10% af patienterne ingen smerter [4, 5, 20]. Der er beskrevet ændringer i smertelokalisation og -intensitet som følge af dissektionens udbredelse [5, 13]. Neurologiske udfald kan ses ved dissektion fra arcus aorta med involvering af karotider eller afklemning af spinalarterier. Klassiske symptomer som hjertemislyd beskrives hos 44% af patienterne med type A-dissektion, og pulsdeficit kan kun konstateres hos 20% [5, 13].

Sullivan et al anfører, at man hyppigst har mistanke om aortadissektion ved bryst og rygsmerter (86%) og kun i 8% af tilfældene med isolerede abdominalsmerter [3, 21], samt at dette medfører en tendens til forsinket diagnosticering og en deraf øget mortalitet [16]. Akut aortasyndrom, som debuterer uden at medføre smerter, men med bevidsthedspåvirkning og/eller neurologiske udfald, forsinker ligeledes diagnosen, da symptomerne minder mere om cerebrovaskulær sygdom end noget andet [20]. Den tilgrundliggende mekanisme bag akut aortasyndrom uden smerter er fortsat omdiskuteret, men diabetisk neuropati eller nedsat cerebral perfusion kunne være en del af forklaringen [20, 22].

PARAKLINIK

EKG er standardundersøgelse hos patienter med smerter i thorax, men specificiteten og sensitiviteten er for lav til, at undersøgelsen selvstændigt kan bruges til at stille diagnosen akut aortasyndrom med. Der findes heller ikke en specifik biomarkør for akut aortasyndrom. D-dimer er foreslået som diagnostisk redskab, og da den udviser høj sensitivitet, men ikke specificitet for akut aortadissektion kan den formentlig benyttes til udelukkelse af tilstanden (inden for 24 timer), men ikke til uddifferentiering af tilstanden fra lungeemboli [9, 23]. Smooth muscle myosin heavy protein frisættes ved skade på aorta og kan måske i fremtiden være af diagnostisk værdi [1, 8, 24]. De tilgængelige undersøgelser er alle uspecifikke og dækker ikke alle patologiske tilstande ved akut aortasyndrom. Det er derfor vigtigt at understrege, at der er tale om supplementer til en klinisk diagnose.

BILLEDDIAGNOSTIK

Ved billeddiagnostisk udredning for den tentative diagnose akut aortasyndrom er der behov for en billedmodalitet, hvormed man kan visualisere hele aorta, og hvormed der kan frembringes meget præcis information om lumen, vægtykkelse og variationer af denne. Desuden er det ønskværdigt at få overblik over forandringernes karakter og udbredelse, og hvilke sidegrene fra aorta der er involveret.

CT-angiografi er førstevalg ved akut aortasyndrom, hvor en hurtig og præcis diagnosticering er påkrævet, og den skal udføres, så snart mistanken er opstået. I et studie fra 2006 findes både transøsofageal ekkokardiografi, spiral-CT og MR-skanning, de to sidstnævnte begge med kontrast, at være ligeværdige undersøgelser, alle med en sensitivitet og specificitet > 95% [25]. Transøsofageal ekkokardiografi kan udføres meget hurtigt. Dog begrænses undersøgelsen af at være operatørafhængig, og af at det er vanskeligt at visualisere grenene fra aortabuen sufficient. Undersøgelsen er imidlertidig velegnet til beskrivelse af komplikationer som aortainsufficens, kardial tamponade og ventrikeldysfunktion [9, 26]. MR-skanning er sjældent lige så tilgængelig som CT i den akutte udredningsfase. Desuden er MR-skanning mere tidskrævende, og metalimplantater hos patienten kan påvirke den samlede kvalitet af undersøgelsen og vanskeliggøre tolkning af de frembragte billeder. Ulemperne ved CT er, at kontrastindgift er nødvendig for at fremstille aorta optimalt, og at patienten udsættes for røntgenstråling. Disse problemer kan imidlertid afhjælpes ved at optimere skanningsprotokoller og kontrastadministration [12, 26].

Til senere followup, hvor det er nødvendigt med gentagne billedserier, er MR-skanning formentlig det bedste valg.

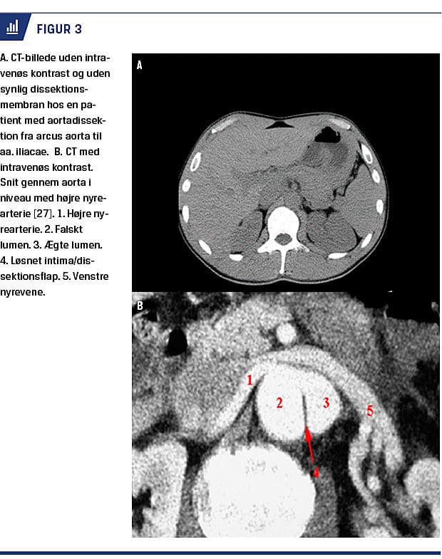
Udvikling af EKG-gated CT-angiografi skaber mulighed for endnu mere præcis diagnostik, da man med denne nye teknik kan fjerne pulsationsartefakter [2, 12]. I international litteratur anbefales herudover CT uden kontrast forud for en optimal kontrastundersøgelse for at kunne visualisere et evt. intramuralt hæmatom eller en forkalkning langs intima [10, 12] (Figur 3).

BEHANDLING/UDKOMME

Alle undergrupper af akut aortasyndrom kræver hurtig udredning og behandling af både symptomer (kredsløbskollaps, blodtrykskontrol og smertelindring) og den bagvedliggende årsag (kirurgisk eller endovaskulær revaskularisering). Symptomer på akut cerebral, koronar og visceral iskæmi eller ekstremitetsiskæmi er ensbetydende med en højere mortalitet end ingen iskæmi [3, 17, 18, 22].

Ubehandlet har patienter med type A-dissektion en mortalitetsrisiko på 1-2% pr. time i det første døgn og 49% efter 14 dage [1, 5]. Behandling af type A-dissektion er primært kirurgi med indsættelse af en composite graft i den ascenderende aorta. Hvis aortaroden er involveret, kan aortaklappen udskiftes. Målet er at undgå komplikationer som ruptur af aorta, cerebralt insult, hjertetamponade, visceral iskæmi og cirkulatorisk kollaps. Ved kirurgisk intervention nedsættes mortaliteten til 10% i det første døgn og knap 20% efter 14 dage
[1, 8].

Der foreligger få randomiserede studier, hvor forskellen mellem operativ og medicinsk behandling af type B-dissektion belyses [4, 9]. Ved ukompliceret type B-dissektion er førstevalget medicinsk reduktion af blodtrykket (< 120 mmHg og hjertefrekvens på 60-80 slag/minut) for at stabilisere dissektionen og derved undgå komplikationer og ruptur [18]. Endvidere er sufficient smertebehandling vigtigt, da smerter i sig selv giver anledning til blodtryksstigning og takykardi. Ved udvikling af komplikationer som ruptur, nedsat perfusion af mave-tarm-kanalen eller underekstremiteterne og ukontrollerbart blodtryk trods medicinsk behandling (1, 2, 10, 18) anbefales endovaskulær intervention, da denne behandlingsform har en mortalitetsrisiko på ca. 10%, mens risikoen ved åben operation er ca. 30% [9, 28, 29]. Risikoen er sammenlignelig med mortalitetsrisikoen for patienter med ukompliceret type B-dissektion. En opgørelse fra International Registry of Acute Aortic Dissection tyder på en lavere mortalitet hos endovaskulært behandlede patienter end hos medicinsk behandlede patienter efter fem års followup, trods øget morbiditet præoperativt hos førstnævnte [30]. Tilsvarende aortadissektion inddeles behandlingen af intramuralt hæmatom og penetrerende aterosklerotisk ulcus (heraf er 90% lokaliseret i aorta descendens) i kirurgisk behandling af den ascenderende del af aorta og aggressiv blodtryksreducerende behandling af den descenderende del [1, 9, 10, 11].

Behandlingen af akut aortasyndrom bør centraliseres, ideelt set på de steder, hvor invasiv behandling er mulig, da invasiv behandling optimalt skal ske inden for få timer ved organpåvirkning.

KONKLUSION

Varierende symptombilleder gør diagnosen akut aortasyndrom svær at stille. Det er i høj grad en klinisk diagnose, der kræver, at klinikeren får mistanken om akut aortasyndrom, for at de rigtige tiltag sættes i gang. CT-angiografi er det vigtigste diagnostiske værktøj og er førstevalg, hvis der er mistanke om diagnosen. Hurtig diagnose er altafgørende for at forbedre den ellers dårlige prognose.

Korrespondance: Katrine Brodersen.
E-mail: katrine.brodersen@viborg.rm.dk

Antaget: 18. marts 2016

Publiceret på Ugeskriftet.dk: 9. maj 2016

Interessekonflikter:

Summary

Acute aortic syndrome

Acute aortic syndrome is a group of pathogenic conditions including aortic dissection, intramural haematoma, pene&shy;trating ulcer and aortic aneurysm. The syndrome is a challenging clinical diagnosis because the symptoms are numerous and diverse with similarity to other more common conditions. Delayed diagnosis and treatment can be fatal. Computed tomography angiography is the most important diagnostic tool and is the first choice when acute aortic syndrome is suspected. With this article, we wish to raise awareness of the incidence of acute aortic syndrome and the clinical features of the syndrome.

Referencer

Litteratur

  1. Tsai TT, Nienaber CA, Eagle KA. Acut aortic syndromes. Circulation 2005;112:3802-13.

  2. Fleischmann D, Scott Mitchell R, Craig Miller D. Acute aorta syndromes: new insights from electrocardiographically gated computed tomography. Semin Thorac Cardiovasc Surg 2008;20:340-7.

  3. 2010 ACCF/AHA/AATS/ACR/ASA/SCA/SCAI/SIR/STS/SVM Guidelines for the Diagnosis and Management of Patients With Thoracic Aortic Disease: a Report of the American College of Cardiology Foundation/American Heart Association Task Force on Practice Guidelines, American Association for Thoracic Surgery, American College of Radiology, American Stroke Association, Society of Cardiovascular Anesthesiologists, Society for Cardiovascular Angiography and Interventions, Society of Interventional Radiology, Society of Thoracic Surgeons, and Society for Vascular Medicine. Circulation 2010;121:e266-e369.

  4. Golledge J, Eagle K. Acute aorta dissection. Semin Lancet 2008;372:
    55-66.

  5. Mészaeaos I, Móroez J, Szép L. Epidemiology and clinopathology of aortic dissection: a population-based longitudinal study over 27 years. Chest 2000;117:1271-8.

  6. Olsson C, Thelin S, Ståhle E et al. Thoracic aortic aneurysm and dissection: increasing prevalence and improved outcomes reported in a nationawide populations-based study of more than 14000 cases from 1987 to 2002. Circulation 2006;114:2611-8.

  7. Howard D, Banerjee AA, Fairhead J et al. Population-based study of incidens and outcome of acute aortic dissection and premorbid risk factor control: 10-year results from the Oxford Vascular Study. Circulation 2013;127:2031-7.

  8. Nienaber CA, Clough RE. Management of acute aortic dissection.
    Seminar Lancet 2015;385:800-11.

  9. Nienaber CA, Powell J. Management of acute aortic syndromes. Eur Heart J 2012;33:26-35.

  10. Salvolini L, Renda P, Fiore D et al. Acute aortic syndromes: role of multi-detector row CT. Eur Radiol 2007;65:350-8.

  11. Harris K, Braverman A, Eagle K et al. Acute aortic hematoma: an analysis from the International Registry of Acute Aortic Dissection. Circulation 2012;126(suppl 1):S91-96

  12. Chin A, Fleischmann D. State-of-the-art computed tomography angiography of acute aortic syndrome. Semin Ultrasound CT MRI 2012;
    33:222-34.

  13. Hagan P, Nienaber CA, Isselbacher E et al. The International Registry of Acute Aortic Dissection (IRAD): new insights into an old disease. JAMA 2000;283:897-903.

  14. Lægehåndbogen. www.sundhed.dk/sundhedsfaglig/laegehaandbogen/hjerte-kar/illustrationer/tegning/aorta-dissektioner (18. mar 2016).

  15. Nienaber CA, Fattori R, Mehta R. Gender-related differences in acute aortic dissection. Circulation 2004;109:3014-21.

  16. Harris K, Strauss C, Eagle K et al. Correlates of delayed recognition and treatment of acute type A aortic dissection: The International Registry of Acute Aortic Dissection (IRAD). Circulation 2011;124:1911-8.

  17. Mehta R, O’Gara P, Bossone E et al. Acute type A aortic dissection in the elderly: clinical characteristics, management and outcomes in the current era. J Am Coll Cardiol 2002;40:685-92.

  18. Mehta R, Bossone E, Evangelista A et al. Acute type B dissection in elderly patients: clinical features, outcome, and simple risk stratification rule. Ann Thorac Surg 2004;77:1622-9.

  19. Januzzi J, Isselbacher E, Fattori R et al. Characterizing the young patient with aortic dissection: results from the International Registry of Aortic Disssection (IRAD). J Am Coll Cardio 2004;43:665-9.

  20. Imamura H, Sekiguchi Y, Iwashita T et al. Painless acute aorta dissection. Circ J 2011;75:59-66.

  21. Sullivan PR, Wolfson AB, Leckey RD et al. Diagnosis of acute thoracic aortic dissection in the emergency department. Am J Emerg Med 2000;18:46-50.

  22. Nallamothu B, Mehta R, Saint S et al. Syncope in acute aortic dissection: diagnostic, prognostic and clinical implications. Am J Med 2002;
    113:468-71.

  23. Suzuki T, Distante A, Zizza A et al. Diagnosis of acute aortic dissection by D-dimer: The International Registry of Acute Aortic Dissection Substudy on Biomarkers (IRAD-Bio) Experience. Circulation 2009;119:
    2702-7.

  24. Nienaber CA. The role of imaging in acute aortic syndromes. Eur Heart J Cardiovasc Imaging 2013;14:15-23.

  25. Shiga T, Wajima Z, Apfel CC et al. Diagnostic accuracy of transesophageal echocardiography, helical computed tomography, and magnetic resonance imaging for suspected thoracic aortic dissection: systematic review and meta-analysis. Arch Intern Med 2006;166:1350-6.

  26. Rengier F, Geisbüsch P, Vosshenrich R et al. State-of-the-art aortic
    imaging: Part 1 – fundamentals and perspectives of CT and MRI. Vasa 2013;42:395-412.

  27. Lægehåndbogen. www.sundhed.dk/borger/sygdomme-a-aa/hjerte-og-blodkar/illustrationer/billeddiagnostik/aorta-ct-dissektion (9. apr 2016).

  28. Fattori R, Tsai T, Myrmel T et al. Complicated acute type B dissection: is surgery still the best option? JACC Cardiovasc Interv 2008;1:395-402.

  29. Lombardi J, Cambria R, Nienaber C et al. Prospective multicenter clinical trial (STABLE) on the endovascular treatment of complicated type B aortic dissection using a composite device design. J Vasc Surg 2012;55:629-40.

  30. Fattori R, Montgomey D, Lovato L et al. Survival after endovascular therapy in patients with type B aortic dissection: a report from the
    International Registry of Acute Aortic Dissection (IRAD). JACC Cardiovasc Interv 2013;6:876-82.