Akut indsættende pneumonitis efter immunterapi


Gitte Bonde Villadsen, Marie Josée Zareh Lausten-Thomsen & Søren Rafael Rafaelsen
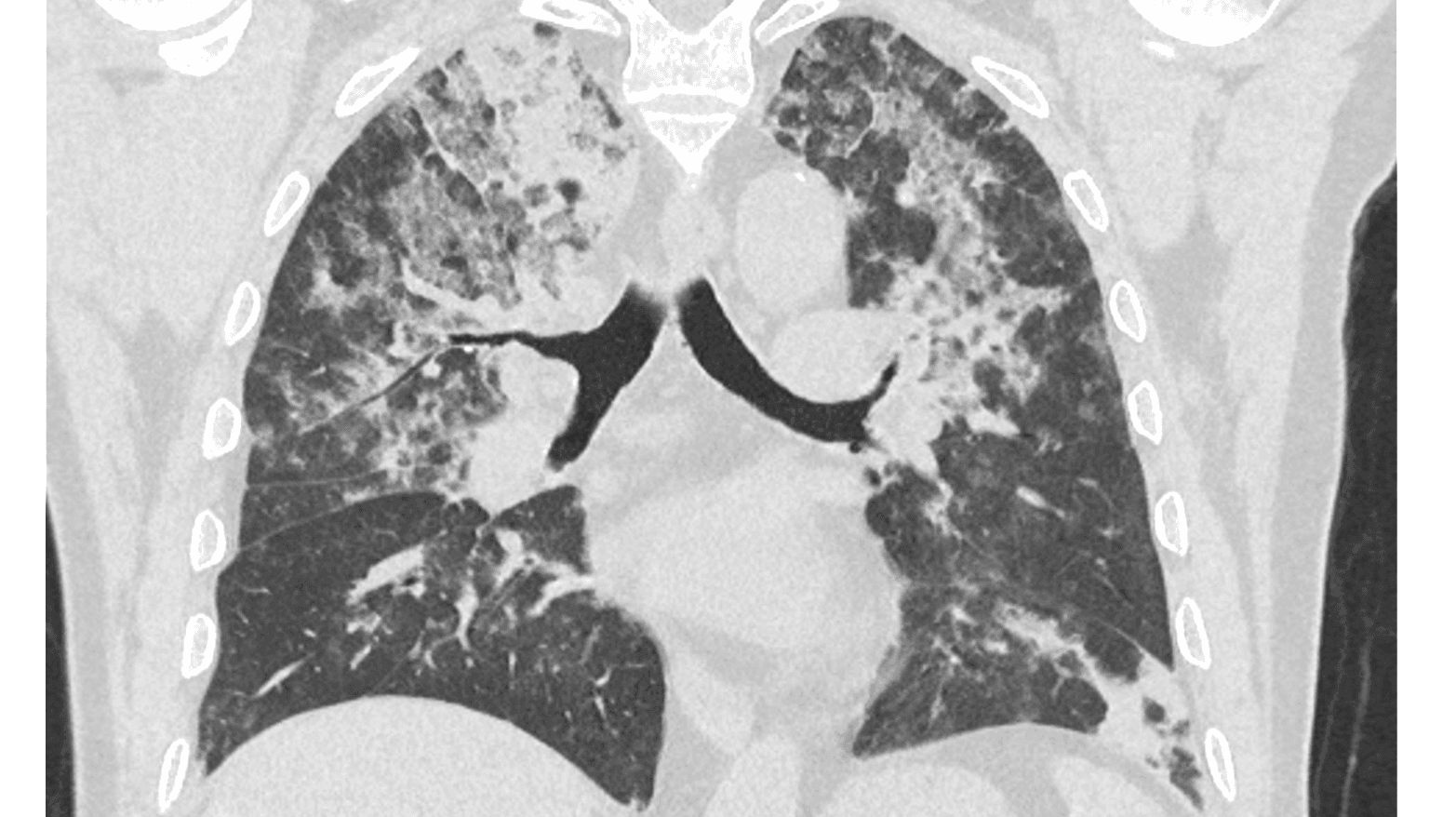
En 65-årig mand modtog første dosis af første genbehandling med immunterapi for dissemineret malignt melanom og udviklede efter to dage tiltagende åndenød, tør hoste og feber. Symptomerne progredierede hurtigt, og patienten blev indlagt seks dage efter immunterapien. På high resolution-CT af lungerne blev der konstateret udtalt immunterapiudløst pneumonitis. Efterfølgende behandling med højdosis prednisolon og ilt havde god effekt.
Denne sygehistorie illustrerer en meget hurtig udvikling af immunterapiudløst pneumonitis, også kaldet checkpoint inhibitor-pneumonitis (CIP). I et nyere studie har man vist, at incidensen var 5,1% hos immunterapibehandlede lungecancerpatienter, og anbefaler højdosis glukokortikoider som førstevalgsbehandling af CIP [1]. Eftersom immunterapi bliver en mere udbredt behandling, giver sygehistorien påmindelse om at have kendskab til denne alvorlige tilstand. Særligt udfordrende er symptombilledet på CIP, som let kan forveksles med en luftvejsinfektion [1].
Korrespondance Gitte Bonde Villadsen. E-mail: gitte.bonde.villadsen@rsyd.dk
Antaget 8. maj 2025
Publiceret på ugeskriftet.dk 15. september 2025
Interessekonflikter ingen. Alle forfattere har indsendt ICMJE Form for Disclosure of Potential Conflicts of Interest. Disse er tilgængelige sammen med artiklen på ugeskriftet.dk
Artikelreference Ugeskr Læger 2025;187:V73032
doi 10.61409/V73032
Open Access under Creative Commons License CC BY-NC-ND 4.0