Skip to main content

Akut iskæmisk proktitis efter et epileptisk anfald

Læge Camille Kristine Klintmann, 1. reservelæge Jens G. Hillingsø & overlæge Anders Glenthøj Bispebjerg Hospital, Kirurgisk Gastroenterologisk Afdeling K og Patologiafdelingen

26. sep. 2008
4 min.

Akut iskæmisk proktitis forekommer sjældent i klinikken, hovedsageligt fordi rectum forsynes fra et meget udbredt arterielt netværk. Derfor er rectum normalt kun involveret hos ca. 10% af patienter med iskæmisk kolitis. Tidligere rapporterede tilfælde af iskæmisk proktitis er relaterede til alvorlig vaskulær insufficiens i den rektale cirkulation på baggrund af systemisk aterosklerose, især efterfølgende operationer på aorta eller iliaca. Vi rapporterer her et tilfælde af iskæmisk proktitis efterfølgende et epileptisk anfald.

Iskæmisk proktitis er en sjælden lidelse på grund af den rigelige karforsyning til rectum. Ifølge Bharucha et al [1] udgør iskæmisk kolitis i rectosigmoideum mindre end 10% af tilfældene af spontan iskæmisk kolitis, hvorfor iskæmi i rectum alene må skønnes at være endnu sjældnere. Tidligere rapporterede tilfælde beskriver patienter med alvorlig kompromitteret blodforsyning, bl.a. grundet inadekvat kollateral forsyning til rectum [2], efter operation på aorta eller de iliofemorale kar, følger af svær, udbredt kardiovaskulær sygdom og akut myokardieinfarkt (AMI) [1-3]. Endvidere er der beskrevet et enkelt tilfælde efter en anafylaktisk reaktion [3]), otte uger efter en normal og ukompliceret fødsel [4], som komplikation i forbindelse med systemisk lupus erythematosus [5] og efter septikæmi [1].

Et retrospektivt studie med 328 patienter med iskæmisk kolitis fra 1976-1991 viste, at ti patienter (ca. 3%) havde lokaliseret iskæmisk proktosigmoiditis, af dem havde seks iskæmisk proktitis [1].

Vi rapporterer om et tilfælde af akut iskæmisk proktitis efter et epileptisk anfald.

Sygehistorie

En 46-årig mand med et kendt alkoholforbrug på 30-40 genstande dagligt og posttraumatisk epilepsi efter en trafikulykke 11 år tidligere blev medicineret herfor med oxcarbazepin. Han blev indlagt efter at have ligget bevidstløs med ekskret-afgang i et ukendt tidsrum på gulvet i hjemmet. Det blev ved neurologisk tilsyn tolket som et epileptisk anfald. Den eneste fokale gene var tynd afføring igennem to døgn. Ved indlæggelsen var han vågen og klar, blodtrykket var 117/64 mmHg, og pulsen var 84. Abdomen var blød og uøm. Paraklinisk var hæmoglobin (hgb) 7,3, leukocytter 23,4, S-Na 129 og C-reaktivt protein (CRP) 6, men øvrige værdier var inden for normalområdet. Der blev foretaget computertomografi (CT) af cerebrum og røntgen af thorax, begge viste intet abnormt.

Atten timer efter indlæggelsen blev der observeret frisk blod pr. rectum. Efter 24 timer faldt hgb til 5,9, leukocytter til 18,9 og CRP steg til 83. En rektoskopi viste circumferential fibrinbelægning fra anus og 20 cm op, hvilket initialt blev tolket som proktitis, muligvis pseudomembranøs.

En sigmoideoskopi fire dage efter indlæggelsen viste naturlig slimhinde oralt for rectum, der var inflammeret. Patienten havde fortsat vandtynde, blodtingerede diareer op til syv gange i døgnet. Hæmoglobin- og leukocytniveau var normaliseret, mens CRP var steget til 105.

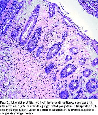
På mistanke om tumor blev der foretaget en magnetisk resonans (MR)-scanning, der afkræftede tumormistanken, men viste ødem perirektalt. Mikroskopisvar viste akut iskæmisk proktitis (Figur 1 ). Ved en sigmoideoskopi ti dage efter indlæggelsen var der spontan remission af tilstanden.

Diskussion

Akut iskæmisk proktitis er en sjælden diagnose [1, 2]. I dette tilfælde blev den stillet ved mikroskopi. De histologiske forandringer kan dog være svære at skelne fra f.eks. infektiøs proktitis [1].

Den udløsende årsag er ikke afklaret, men en mulighed er hypotension under/efter et epilepsianfald. Dette forklarer ikke lokalisationen, og hypotensionsudløst iskæmi i tarmsystemet plejer at være lokaliseret til højre colon og ikke til rectosigmoideum [1, 3]. Forsøg på hunde har vist, at hypoperfusion alene ikke forårsager tarmiskæmi uden samtidig arteriel obstruktion [3]. Patienten var kun let anæmisk ved ankomsten, og en del af det følgende hæmoglobinfald skyldtes formentligt rehydrering i løbet af det første døgns indlæggelse.

Langt de fleste tilfælde af akut iskæmisk proktitis er som nævnt forbundet med udbredt aterosklerotisk karsygdom eller operationer på centrale arterier. Den her omtalte patient havde ingen større operation i anamnesen, kendt diabetes eller andre symptomer på aterosklerose. Akut iskæmisk proktitis er tidligere beskrevet hos en patient med levercirrose [1], og da vores patient endnu ikke havde fået cirrose, men kun let påvirket leverbiokemi med parankymatøst mønster, var det næppe den udløsende årsag. Dehydrering og forbigående hypotension i forbindelse med et epileptisk anfald var formentlig årsagen til den akutte rektale iskæmi hos denne patient.


Camille Kristine Klintmann, Århusgade 2, st. th., DK-2100 København Ø. E-mail: c_buxbom@tiscali.dk

Antaget: 12. juni 2006

Interessekonflikter: Ingen

Summary

Summary Acute ischemic proctitis following an epileptic attack - a case study Ugeskr Læger 2008;170(40):3124-3125 Acute ischemic proctitis is a rare diagnosis mainly because the rectum is supplied by an extensive arterial network. Consequently, in more than 90% of patients with ischemic colitis the rectum is spared. Previously reported cases are related to severe vascular insufficiency of the rectal circulation caused by systemic atherosclerosis, usually following aortic or aortoiliac operations. We report one case of acute ischemic proctitis following an epileptic attack.

Referencer

  1. Bharucha AE, Tremaine WJ, Johnson CD et al. Ischemic proctosigmoiditis. Am J Gastroenterol 1996:91:2305-9.
  2. Nelson RL, Briley S, Schuler JJ et al. Acute ischemic proctitis. Dis Colon Rectum 1992:35:375-80.
  3. Travis S, Davies DR, Creamer B. Acute colorectal ischemia after anaphylactoid shock. Gut 1991:32:443-6.
  4. Tytgat GNJ, Schotborgh RH, Hofer SOP. Probable ischemic proctosigmoiditis presenting 8 weeks post-partum. Gastroint Endosc 1993:39:703-6.
  5. Reissman P, Weiss EG, Teoh TA et al. Gangrenous ischemic colitis of the rectum: a rare complication of systemic lupus erythematosus. Am J Gastroenterol 1994;89:2234-6.