Akut nyresvigt hos 15-årig efter kortvarigt brug af NSAID


Wafie Hussein Chahrour1, Dorthe Sadowa Bille1, Nina Lørth Mårtensson2 & Line Thousig Sehested3
Behandling med selv små doser af NSAID kan medføre akut nyresvigt (AKI) hos raske børn [1].
AKI hos børn inddeles ligesom hos voksne i prærenale, renale og postrenale årsager, og nyresvigt klassificeres ud fra pediatric risk, injury, failure, loss, end stage renal disease (pRIFLE)-kriterier baseret på ændringer i P-kreatinin og urinoutput [2, 3].
NSAID-induceret AKI kan opstå ved to mekanismer: akut tubulær nekrose (ATN) og lægemiddelinduceret akut tubulointerstitiel nefritis (ATIN). Behandling med NSAID kan ved prærenal påvirkning i form af nedsat blodgennemstrømning til nyrerne føre til renal iskæmi resulterende i ATN. Dehydrering kan forstærke dette respons [1]. Lægemiddelinduceret ATIN skyldes en cellemedieret overfølsomhedsreaktion, som primært påvirker nyrevævet direkte og giver dermed en renal påvirkning. Lægemiddelinduceret ATIN kan opstå uafhængigt af administrationsvej og behandlingsvarighed [4].
De kliniske symptomer på ATIN er oftest uspecifikke i form af kraftesløshed, vægttab, kvalme og mavesmerter. NSAID-udløst ATIN kræver ofte understøttende væskebehandling, elektrolytregulering og eventuelt immunregulerende steroidbehandling [1].
En 15-årig tidligere nyrerask pige henvendte sig til egen læge grundet højresidige mavesmerter. UL af abdomen viste galdesten, som blev behandlet med diclofenac (NSAID), dosis 50 mg × 2 dagligt (vægt 86 kg).
Efter tre dages behandling udvikledes tiltagende smerter i lænderyggen og flanker, opkastninger og nedsat appetit. På mistanke om kolecystitis blev patienten indlagt i akutmodtagelsen. Her fandtes forhøjet P-kreatinin på 200 μmol/l (41-80 μmol/l), CRP på 92 mg/l, urinalbumin-/kreatininratio (UACR) 1.825 mg/g og mikroskopisk hæmaturi. P-hæmoglobin, P-kalium og P-bikarbonat var normale. Næste dag fandtes P-kreatinin stigende til 290 μmol/l, P-albumin 32 g/l, og P-kalium var fortsat normal på 3,6 mmol/l, Der var vægtøgning på 1 kg, men ingen ødemer.
Patienten blev dagen efter overflyttet til børneafdeling med prærenal AKI som tentativ diagnose. Hun fik i løbet af indlæggelsen 2.650 ml væske og havde seks vandladninger. Diclofenac blev seponeret grundet risiko for nefrotoksisitet. På mistanke om kolangit opstartedes i.v.-piperacillin/tazobactam 4 g × 3 dagligt. Dette reduceredes efter et døgn til 4 g × 2 ud fra en eGFR på 25 ml/min/1,73m2 (> 90 ml/min/1,73 m2).
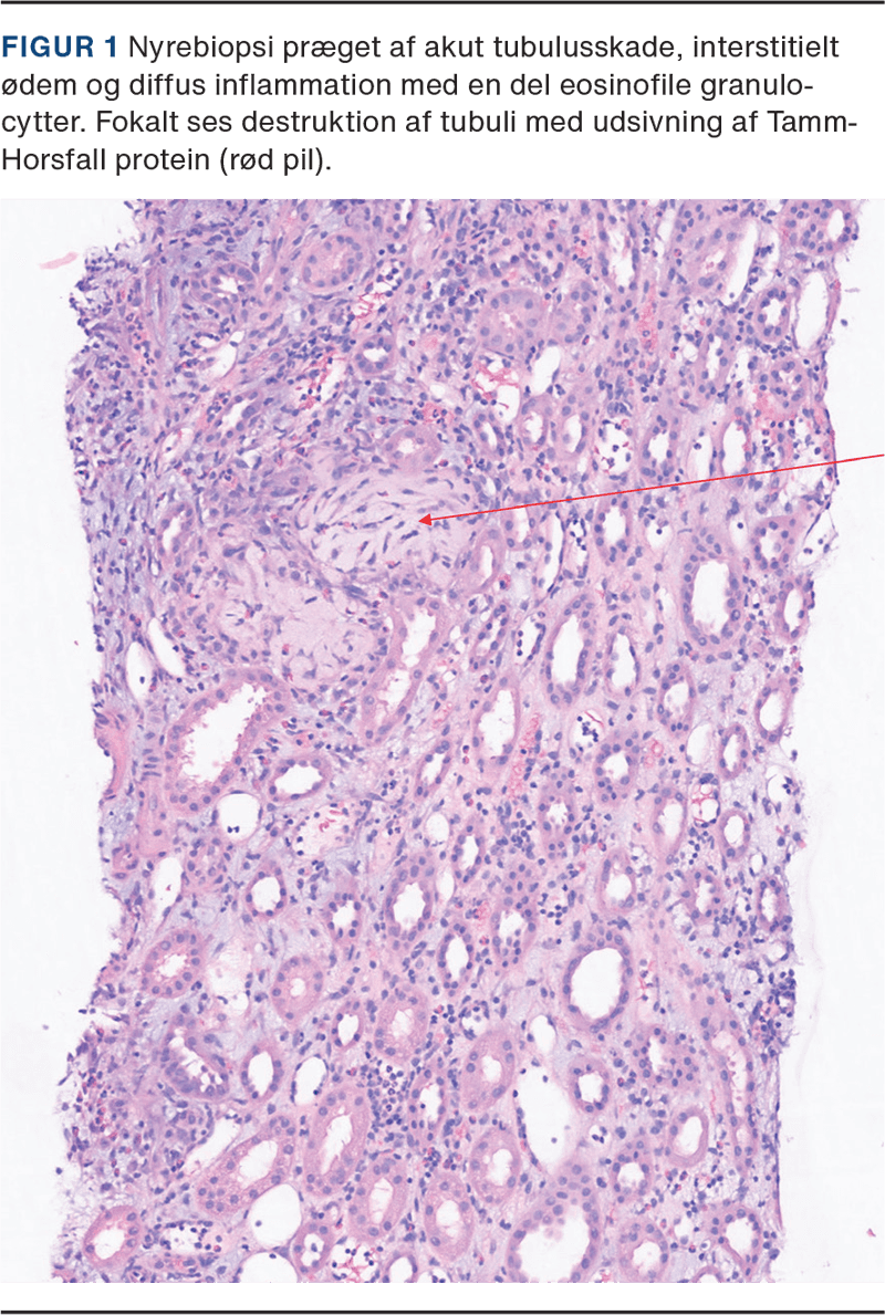
På tredje indlæggelsesdøgn steg P-kreatinin til 440 μmol/l, eGFR 16 ml/min/1,73m2, fosfat til 1,87 mmol/l (0,72-1,49 mmol/l), p-kalium til 4,1 mmol/l, og HCO3 var uændret. Patienten havde vedvarende diureser: 0,8 ml/kg/t, vægten var 86,6 kg, og patienten havde nu fulminant nonoligurisk nyresvigt. Patienten blev overflyttet til højtspecialiseret afdeling grundet rapidt progredierende nyresvigt med henblik på stillingtagen til biopsi, behandling og muligt behov for dialyse. Der blev opstartet behandling med prednisolon tablet 80 mg × 1 dagligt, og to døgn efter blev der foretaget nyrebiopsi. Denne viste medikamentel betinget interstitiel nefritis med let akut tubulær skade, interstitielt ødem og inflammation med en del eosinofile granulocytter. Stedvis sås destruktion af tubuli, der morfologisk lignede billedet ved en akut tubulointerstitiel nefritis (ATIN) (se Figur 1).
P-kreatinin normaliseres i løbet af ni dage og UACR efter 12 dage. Prednisolonbehandlingen blev udtrappet over fem uger. Patienten var normotensiv under hele forløbet.
Patienten følges nu ambulant på tredje år, hvor der vedvarende er normal kreatinin, UACR og blodtryk, og forventes afsluttet med epikrise til egen læge uden yderligere opfølgning, når hun fylder 18 år. Patienten har livslang cave for NSAID.
Omfanget af NSAID-brug er ukendt. Ved behandling af børn og unge med NSAID – især ved længerevarende brug – anbefales det at sikre optimalt væskeindtag. Dette er særligt vigtigt, hvis der foreligger andre risikofaktorer såsom kendt nyresygdom, dehydrering og/eller svær infektion, begge med risiko for hypoperfusion og samtidig anvendelse af anden potentiel nefrotoksisk medicin. Ved tvivl bør NSAID undgås, og et alternativt smertestillende middel bør overvejes. Symptomer på NSAID-udløst AKI kan være uspecifikke, og incidensen for AKI er præget af usikkerhed. Ved mistanke bør der være lav tærskel for at tage blodprøver med henblik på vurdering af nyrefunktionen. Ved stigende P-kreatinin eller reduceret diurese under NSAID-behandling skal behandlingen seponeres straks. Patienten skal herefter monitoreres med gentagne målinger af P-kreatinin, urinoutput, daglig vægt og blodtryk.
Korrespondance Wafie Hussein Chahrour. E-mail: wafiechahrour@gmail.com
Antaget 24. september 2025
Publiceret på ugeskriftet.dk 22. december 2025
Interessekonflikter LTS oplyser økonomisk støtte fra eller interesse i Haukeland University Hospital. Alle forfattere har indsendt ICMJE Form for Disclosure of Potential Conflicts of Interest. Disse er tilgængelige sammen med artiklen på ugeskriftet.dk.
Referencer findes i artiklen publiceret på ugeskriftet.dk
Artikelreference Ugeskr Læger 2025;187:V05250413
doi 10.61409/V05250413
Open Access under Creative Commons License CC BY-NC-ND 4.0
Small doses of NSAIDs can cause acute renal failure in healthy children. We present the case of a 15-year-old girl who developed acute tubulointerstitial nephritis after three days of treatment with NSAID. The patient presented with lower back pain, sore renal beds, vomiting and loss of appetite. Tests revealed affected kidney function with elevated creatinine levels and proteinuria. Final diagnosis happened through a kidney biopsy, which revealed acute tubulointerstitial nephritis. The patient was treated with prednisolone, and the paraclinical parameters were normalized.