Aktuelt
Amøbekolitis fundet i forbindelse med cancerudredning

Ugeskr Læger 2021;183:V05210447
10. sep. 2021
1 min.

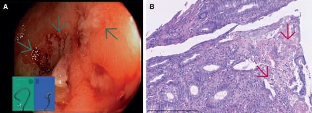
Amøbiasis i mave-tarm-kanalen kan føre til diarré, dysenteri og amøbekolitis og i sjældne tilfælde til ekstraintestinale manifestationer fra lever, lunge, hjerte og hjerne. Kasuistikken af Hartmeyer et al beskriver et asymptomatisk forløb, hos en 61-årig mand, som gennemgik en screeningskoloskopi. Forfatterne diskuterer diagnostik og behandling af amøbiasis.
Læs kasuistik
Asymptomtisk amøbekolitis påvist ved koloskopi
Gitte Nyvang Hartmeyer, Lene Gaarsmand Christensen & Per Vadgaard Andersen