Andenæbsfraktur


Ahmad Zeidan1*, Milan Mohammad1, 2*, Ilija Ban1 & Nizar Hamrouni1
Blandt calcaneusfrakturer optræder en sjælden, men klinisk vigtig subtype, den såkaldte andenæbsfraktur også benævnt »tuberosity-fraktur«, »tongue-type-fraktur« eller »beak-fraktur«. Denne specifikke avulsionsfraktur udgør 1-3% af alle calcaneusfrakturer og opstår som følge af en ossøs afrivning af akillessenen, som kan displacere den posteriore del af calcaneus proksimalt [1]. Diverse traumemekanismer er blevet identificeret og spænder fra simple vrid til direkte traumer.
Andenæbsfraktur er historisk beskrevet af den græske læge, Hippokrates. Han adresserede en potentiel risiko for hudnekrose, hvis frakturen ikke blev diagnosticeret og behandlet rettidigt [2]. De associerede bløddelskomplikationer er således den primære udfordring ved denne fraktur [1, 3, 4]. Det afrevne knoglefragment giver typisk et vedvarende tryk på de omkringliggende bløddele, der kan kompromittere den lokale vævsperfusion, hvilket øger risikoen for nekrose, infektion og efterfølgende bløddelsdefekter [3]. Tidlig diagnosticering og en omhyggelig, rettidig intervention er afgørende for at forhindre disse potentielt alvorlige komplikationer [3, 4].
I det følgende vil vi præsentere en case, hvor en ældre mand henvendte sig i skadestuen med en andenæbsfraktur som følge af et vridtraume.
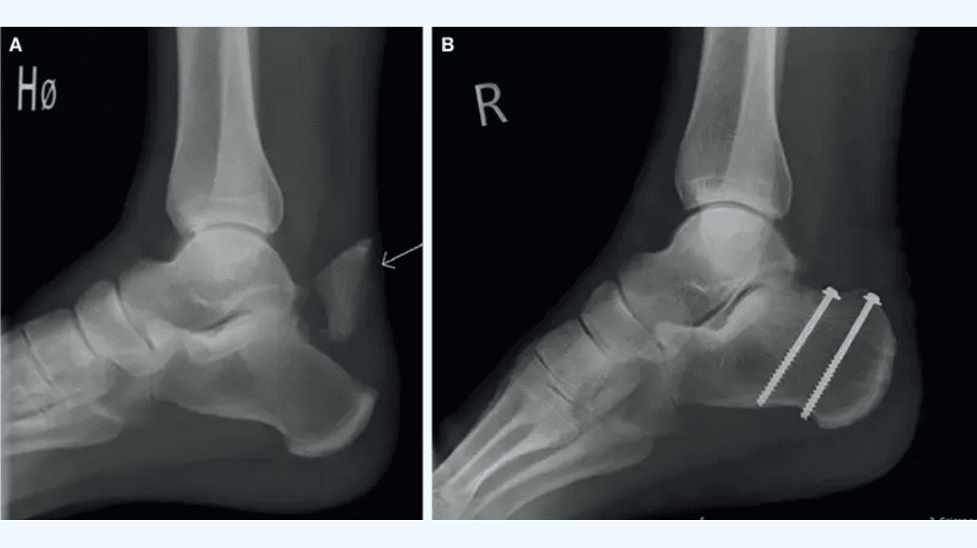
En 71-årig mand henvendte sig i skadestuen to dage efter et mindre vrid i foden ved et fald ned ad få trappetrin. Objektivt fandtes udbredt hævelse lokaliseret om ankelleddet. Distalt for akillessenetilhæftningen blev palperet en ossøs defekt på cirka 2 cm ved tuber calcanei samt ossøst materiale på begge sider af defekten med misfarvet og udspændt hud. Thompsons test var positiv med nedsat plantart fleksionsrespons. Der fandtes ingen øvrige positive fund, herunder ingen sideforskel ved Matles test. På mistanke om ossøs akillesseneavulsion blev der foretaget røntgenbillede af calcaneus, der bekræftede fund af den såkaldte andenæbsfraktur (Figur 1).
Patienten fik anlagt Walker-støvle med tre hælkiler uden tilladelse til at støtte på foden med henblik på at approksimere fragmenterne, slække i trækket fra akillessenen og dermed aflaste bløddelene, og dette blev dokumenteret. Patienten blev indlagt og opereret den følgende dag efter fodkirurgisk konference, hvor det afrevne fragment blev fikseret med to kanylerede skruer, washers og fibertape. Postoperativt var patienten uden støtte i fire uger.
Ved postoperativ kontrol fandtes huden hævet og macereret med epidermolyse. Der blev podet fra det eksponerede område og opstartet behandling med profylaktiske antibiotika. I de følgende måneder voksede defekten sig gradvist større, og patienten undergik multiple, mindre bløddelsrevisioner med vacuum-assisted closure (VAC)-behandling og opfølgning på sårcenteret. Der blev konfereret med plastikkirurgisk og mikrobiologisk afdeling med vejledning i videre behandling vedrørende henholdsvis bløddele og antibiotika. Patienten blev senere indlagt og undergik større operation med fjernelse af osteosyntesemateriale og næsten halvdelen af en avital akillessene (Figur 1). Postoperativt blev besluttet kontinuert antibiotikabehandling i tre måneder med videre sårbehandling.
Seks måneder efter traumet havde patienten fortsat en betydende bløddelsdefekt, men var infektions- og smertefri med gangfunktion (Figur 1).
Andenæbsfraktur er en sjælden fraktur, der kan resultere i potentielt alvorlige bløddelskomplikationer, hvis skaden ikke erkendes og behandles rettidigt.
På trods af behovet for intervention i den akutte fase foreligger der aktuelt ingen ensrettet behandling [3]. Der hersker dog enighed om kirurgisk intervention som foretrukken behandling, idet konservativ tilgang kun bør overvejes ved minimal displacering og upåvirkede bløddele [3]. Frakturen opfylder sjældent Ottawa Ankle Rules, der eksisterer som et klinisk beslutningsværktøj til at vejlede i behovet for røntgenbilleder af anklen, og risikoen for at overse frakturen er derfor betydende. Frakturen forekommer hyppigere blandt ældre patienter med komorbiditeter såsom osteoporose, diabetes mellitus eller perifer neuropati, som er disponerende til komplikationer [1, 3].
Frakturens diastase har også betydning, idet risikoen for komplikationer øges ved diastase over 20 mm [1]. Risikoen for bløddelskomplikationer kan nedsættes ved tidlig diagnosticering og kirurgisk intervention [3].
Irreversible bagfodsbløddelsdefekter kan behandles ved rekonstruktive mikrokirurgiske lapper, men ikke alle patienter er kandidater til denne behandling [5].
I kraft af tilstandens sjældne forekomst, ukarakteristiske præsentation, behovet for akut intervention samt de alvorlige, relaterede komplikationer, er det essentielt at have kendskab til denne type skade blandt behandlende sundhedspersonale i skadestuer og almen praksis. Der bør tilstræbes dokumentation af de tilstødende bløddele samt tidlig ortopædkirurgisk vurdering.
Korrespondance Nizar Hamrouni. E-mail: Nizar.b.hamrouni@gmail.com
*) delt førsteforfatterskab
Antaget 12. januar 2024
Publiceret på ugeskriftet.dk 19. februar 2024
Interessekonflikter ingen. Forfatternes ICMJE-formularer er tilgængelige sammen med artiklen på ugeskriftet.dk
Referencer findes i artiklen publiceret på ugeskriftet.dk
Artikelreference Ugeskr Læger 2024;186:V10230635.
doi 10.61409/V10230635
Open Access under Creative Commons License CC BY-NC-ND 4.0
Ahmad Zeidan, Milan Mohammad, Ilija Ban & Nizar Hamrouni
Beak fractures represent a rare subtype of calcaneal fractures with potential risk of soft tissue complications due to compromised local perfusion. Early diagnosis and timely intervention are crucial to prevent necrosis, infection, and soft tissue defects. This case report describes a 71-year-old male with a beak fracture and delayed intervention with reoccurring soft tissue defects. Given the rarity of the condition, atypical presentation and need for urgent intervention, this emphasizes the importance of awareness of beak fractures of the calcaneus.