Ankylose af hallux som senfølge til infektion efter negleresektion


Tine S. Madsen1, Daniel Bomark2 & Yvette A. Cramer3
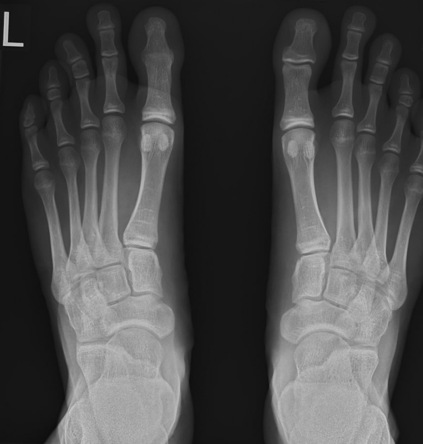
En ung mand er henvist grundet nedsat bevægelse og belastningsrelateret gener ved sport over venstre 1. tå. Røntgen viser ankylose af venstre tås yderled, men årsagen hertil skal findes år tilbage.
I barnealderen gennemgik patienten gentagne konservative behandlinger for en nedgroet negl på samme tå, da behandlingerne var uden tilstrækkelig effekt, så blev tilstanden håndteret kirurgisk [1, 2].
Det postoperative forløb blev kompliceret af infektion og septisk artritis, hvilket nødvendiggjorde indlæggelse og i.v.-antibiotisk behandling. Infektionen blev behandlet uden kirurgisk revision og uden efterfølgende recidiv.
Ugens billede illustrerer derfor en sjælden senfølge, nemlig ankylose af venstre 1. tås proksimale og distale phalanx sekundært til en postoperativ infektion. Postoperativ infektion udgør den største komplikation til neglekirurgi med en incidens på 3-5% [3, 4]. Lignede tilstande er ikke tidligere beskrevet i litteraturen. Enkle lignende tilfælde på fingrenes yderled er beskrevet, men her grundet forsinket primær behandling – kirurgisk revision og antibiotika [5].
Formålet med ugens billede er derfor at fremhæve en sjælden, men klinisk betydende senfølge efter negleresektion.
Korrespondance Tine S. Madsen. E-mail: tinemadsen1994@live.dk
Antaget 16. oktober 2025
Publiceret på ugeskriftet.dk 2. februar 2026
Interessekonflikter ingen. Alle forfattere har indsendt ICMJE Form for Disclosure of Potential Conflicts of Interest. Disse er tilgængelige sammen med artiklen på ugeskriftet.dk
Artikelreference Ugeskr Læger 2026;188:V73073
doi 10.61409/V73073
Open Access under Creative Commons License CC BY-NC-ND 4.0