Skip to main content

Arachnoideacyster kan være associeret med kognitive og affektive symptomer

Victoria Emilie Neesgaard1, Frantz Rom Poulsen2, 3, 4, Anders Vedel Holst1 & Tiit Illimar Mathiesen5, 6

3. jan. 2022
12 min.

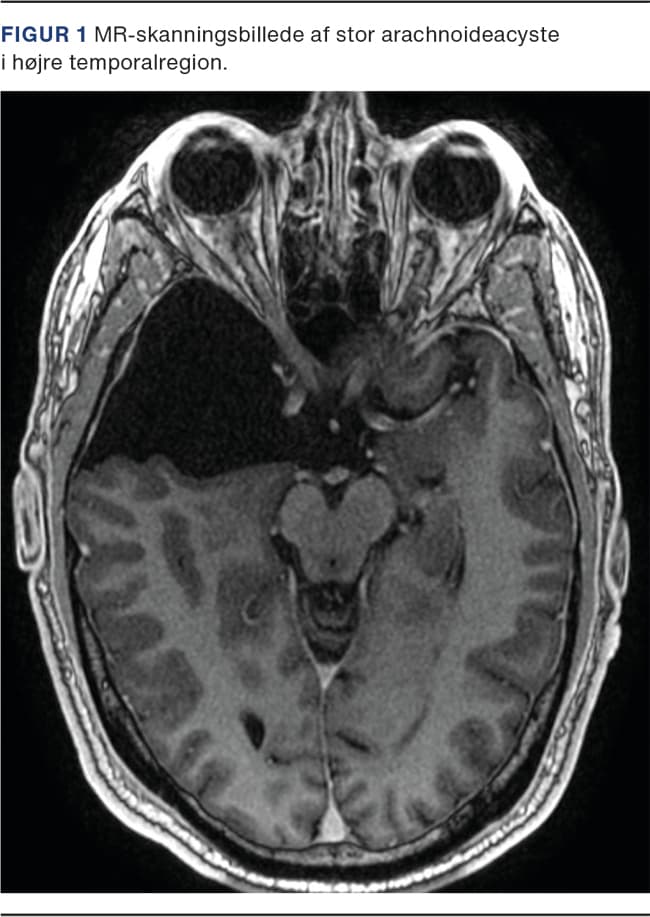
Arachnoideacyster (Figur 1 og Figur 2) er hyppige tilfældige fund på hjerneskanninger med en prævalens på 2% i befolkningen [1]. De betragtes som kongenitte strukturer, som udgår fra arachnoidea mater, den midterste hjernehinde, og indeholder cerebrospinalvæske. De kan opstå overalt, hvor der findes arachnoidea, inklusive i spinalkanalen. De intrakranielle arachnoideacyster ses oftest i fossa cranii media (55%), hvor de typisk er placeret mellem cerebrum og kraniet [1]. De findes her lidt hyppigere i venstre end i højre hemisfære, og blandt patienterne ses en lille overvægt af mænd [2].

Fakta

Hovedbudskaber

HARMLØSE STRUKTURER

Som kongenitte strukturer vokser arachnoideacyster kun undtagelsesvist. I de tilfælde, hvor der findes indikation for kirurgisk intervention, vil det oftest foregå ved endoskopisk teknik eller ved kraniotomi. Rationalet ved kirurgisk behandling er drænage af cysten ved at skabe kommunikation med subarachnoidalrummet, ventrikelsystemet eller de basale cisterner. Dette opnås ved fenestrering eller anlæggelse af en shunt. Shunter kan anlægges fra cysten til peritonealhulen (cystoperitoneal shunt) eller evt. til højre atrium (cystoatrial shunt). Procedurerne giver sjældent langsigtede komplikationer, om end shuntafhængighed, shuntdysfunktion, overdrænage og infektion forekommer [3]. I de fleste tilfælde giver cysterne dog ikke anledning til oplagte neurologiske deficit, og de betragtes derfor almindeligvis som harmløse og fordrer sjældent behandling.

OG DOG

Imidlertid er der i den seneste årrække rejst tvivl om, hvorvidt denne hyppigt konservative tilgang til arachnoideacyster er den rette. I nyere litteratur beskrives, at tilstedeværelse af cysterne kan være associeret med kognitive og affektive lidelser, der i høj grad kan påvirke livskvaliteten [4-13]. Hvis dette er tilfældet, kan de nuværende indikationer for behandling forbedres, særligt set i lyset af, at de kirurgiske procedurer sjældent giver alvorlige komplikationer.

Det er allerede veldokumenteret, at arachnoideacyster kan forvolde intracystiske og subdurale blødninger, som ofte er behandlingskrævende [14]. Mekanismen menes at være bristning af brovener med relation til cysten eller vener på cystens overflade kombineret med cystens nedsatte komplians [14]. Ligeledes er hydrocefalus hyppigt beskrevet som komplikation i forbindelse med arachnoideacyster, særligt ved cyster i fossa posterior eller suprasellart [15]. Selvom fenestration af cysten som eneste behandling kan afhjælpe hydrocefalus i nogle tilfælde, kan det være nødvendigt også at anlægge en shunt fra ventrikelsystemet [15, 16]. Arachnoideacyster med ledsagende hydrocefalus ses hyppigst hos børn, der oftest debuterer med hovedpine, kramper og forsinket udvikling [15]. Desuden ses det, at cyster i fossa posterior, særligt i den cerebellopontine vinkel, kan forårsage kranienerveudfald [2]. I disse tilfælde ses der ofte normalisering postoperativt [2].

Øvrige symptomer, som hyppigt beskrives hos patienter med arachnoideacyster, er hovedpine, svimmelhed og kvalme [1, 2, 6, 8, 10, 11, 13, 17-20]. Disse er imidlertid subjektive og uspecifikke symptomer, som også er relativt hyppige i baggrundsbefolkningen. En eventuel påvirkning forårsaget af arachnoideacyster er derfor svær at dokumentere, og selvom litteraturen tyder på nogen effekt af behandling, er fejlkilder som placeboeffekt og præoperativ bekymring svære at justere for.

Kognitive symptomer er derimod mere håndgribelige, idet de kan vurderes objektivt og er tilknyttet specifikke områder af hjernen. En patologisk effekt af arachnoideacysterne ville således reflektere placeringen og tale for en organisk årsag. Der foreligger enkelte studier, hvor man har undersøgt kognitionen hos patienter med arachnoideacyster [1, 4-9, 13, 17, 18, 21-23]. Konklusionerne i disse studier er ikke overensstemmende, men studierne er heller ikke helt sammenlignelige, idet patienterne blev undersøgt forskelligt, og både populationer og outcomevariable varierer studierne imellem. Selvom konklusionerne er modstridende (at cysterne er eller ikke er harmløse), er resultaterne det således ikke nødvendigvis. I flere tilfælde gør studiedesignet desuden resultaterne vanskelige at fortolke. En enkelt forskningsgruppe har dog foretaget en serie bedre studier, hvoraf de i flere har inkluderet relevante kontrolpersoner, der ikke havde arachnoideacyster og var indstillet til andre operationer i hoved-hals-området eller operationer i ryggen, og hvor grundige kognitive og psykologiske undersøgelser havde været foretaget både før og efter kirurgisk behandling [4-7, 19, 20, 23]. Her sås statistisk signifikante resultater for opmærksomhed, hukommelse, spatiale evner, reaktionstid og lateraliseringsforandringer for sprog og også for symptomer som hovedpine og svimmelhed. Også cystens placering, fandt gruppen, korrelerede med symptomatologien. Resultater fra to omfattende studier, der er foretaget af uafhængige forskningsgrupper, har bekræftet disse resultater: Agopian-Dahlenmark et al og Sandvik et al fandt signifikante resultater i relation til sprog, eksekutive funktioner, intelligens, hukommelse og visuospatiale evner samt forbedring af hovedpine efter operativ behandling af cysterne sammenlignet med præoperativt [8, 9].

Andre grupper har overvejende fundet ikkesignifikante resultater. De baserede imidlertid deres fund på ikkeoptimale studiedesign. F.eks. indgik kun præ- eller postoperative data, eller der manglede matchende kontrolpersoner. Symptomatologi vurderedes i nogle tilfælde ved uspecifikke screeninger, som ikke er følsomme for fokale symptomer – f.eks. anvendtes mini-mentalundersøgelse, patientrapporterede forskelle eller skolekarakterer [1, 13, 17, 18, 21, 22]. Stowe et al fandt normal lateralisering af sprog i et pænt studiedesign, men undersøgte kun fire patienter [18]. Til gengæld er der risiko for detection bias i flere af de studier, som viser signifikante resultater, hvor man havde inkluderet patienter, der havde henvendt sig med symptomer – alligevel virker korrelationen mellem placering og symptomatologi som et overbevisende argument for en reel sammenhæng.

Affektive effekter af arachnoideacyster har også været undersøgt [1, 4, 7, 10-13]. Her er der beskrevet korrelationer med angst, depression, SF-36-parametre og livskvalitet, og patienterne angav i mange tilfælde, at de også selv oplevede deres tilstand som forbedret postoperativt [5, 7, 10-13]. Ikke desto mindre er litteraturen også her selvmodsigende, idet der i nogle studier overvejende er beskrevet ikkesignifikante resultater [1, 21]. Ligeledes genfindes der også svagheder i disse studiedesign i form af f.eks. manglende kontrolpersoner; dette gælder både de studier, hvor man fandt signifikante resultater, og dem, hvor man ikke gjorde.

Ligesom ikke alle cyster forårsager symptomer, varierer det, om der er fundet korrelation mellem symptomatologi og præoperativ cystestørrelse såvel som operativ volumenreduktion [6, 9, 17]. Dette kan tyde på, at der er forskellige subpopulationer af patienter med arachnoideacyster.

PATOMEKANISME

Patomekanismen for arachnoideacyster og symptomer er ligeledes ringe undersøgt. Ikke desto mindre eksisterer der velbegrundede hypoteser, der er baserede på eksisterende litteratur om andre neurodegenerative tilstande, inflammatoriske processer i hjernen, det glymfatiske system og andre typer tumorer. I disse hypoteser indgår udviklingsdefekter af hjernen pga. den rumopfyldende struktur, tryk fra cysten, påvirket metabolisme, inflammatorisk provokation og elektrisk påvirkning.

Da cysterne er kongenitte og rumopfyldende, er det ikke utænkeligt, at de kan påvirke hjernens udvikling. En eventuel følge af tilstedeværelsen af en arachnoideacyste ville således kunne give kognitive defekter. Imidlertid kan det modsatte forhold ikke udelukkes: At cysterne er der, fordi hjernens udviklingen var defekt.

Tryk, der påvirker det omkringliggende hjernevæv kan forårsage neurologiske udfald samt kognitive og affektive forandringer. Dog gør arachnoideacysternes kongenitte og ikkeekspanderende karakter det mindre oplagt at forvente, at kompression af hjerneparenkym eller blodkar skulle være en afgørende faktor. Ikke desto mindre er der fundet både abnorm lokal blodperfusion omkring cysten, som normaliseredes postoperativt, og korrelation mellem kognitive symptomer og intracystisk tryk [15, 19]. Cerebral hypoperfusion kan øge ophobningen af skadelige stoffer, som er korreleret med f.eks. Alzheimers sygdom [24].

Det er desuden ikke usandsynligt, at selv et beskedent tryk er tilstrækkeligt til at påvirke flowet i det glymfatiske system, en nyligt beskrevet mekanisme til fjernelse af affaldprodukter fra hjernen [25]. I det glymfatiske system bevæger et flow af cerebrospinalvæske sig fra de paravaskulære rum omkring arteriolerne ind i hjernens parenkym, hvor den blander sig med interstitialvæsken for til sidst at nå de paravaskulære rum omkring venolerne. Herfra dræneres den til det cervikale lymfesystem og de venøse sinus. Konvektionen trækker affaldsmolekyler med sig, hvorved hjernen effektivt skiller sig af med skadelige stoffer. Hvis dette system viser sig at være påvirket i et hjerneområde omkring cysten, er det ikke utænkeligt, at en lokal ophobning af sådanne stoffer kan forekomme. Andre neurodegenerative sygdomme som Alzheimers sygdom og Parkinsons sygdom er netop karakteriserede ved en ophobning af molekyler såsom amyloid-β, tau og α-synuclein, som forårsager cellulær dysfunktion og dermed de velkendte symptomer [26]. Yderligere er der fundet en sammenhæng mellem ophobninger af sådanne molekyler og et afvigende glymfatisk system [27]. En teori er således, at dysfunktion i det glymfatiske system omkring arachnoideacysterne kan lede til lignende fokale ophobninger med lokal synaptisk dysfunktion som følge.

Det er heller ikke utænkeligt, at en ophobning af skadelige affaldsstoffer kan provokere et inflammatorisk respons. Inflammation i og omkring hjernen er kendt fra tilstande som encefalitis og meningitis og kan give anledning til tilsvarende kognitive symptomer [28].

Nogle studier viser fokale EEG-forandringer omkring arachnoideacysten i områder korresponderende med symptomerne, og patienter med forudgående epilepsi er beskrevet at blive anfaldsfri efter behandling af cysten, om end klinisk bedring ikke ses i alle studier [9, 29, 30].

Netop den manglende ekspansion rejser også spørgsmålet om, hvorfor patienterne ofte først henvender sig sent i livet. En mulig forklaring er, at hjernen, mens den er ung, har en fantastisk evne til at kompensere. En anden mulig forklaring er, at patienterne har betragtet deres tilstand som »normal« og først oplever generende symptomer, når den almindelige aldersbetingede hjernedegeneration begynder.

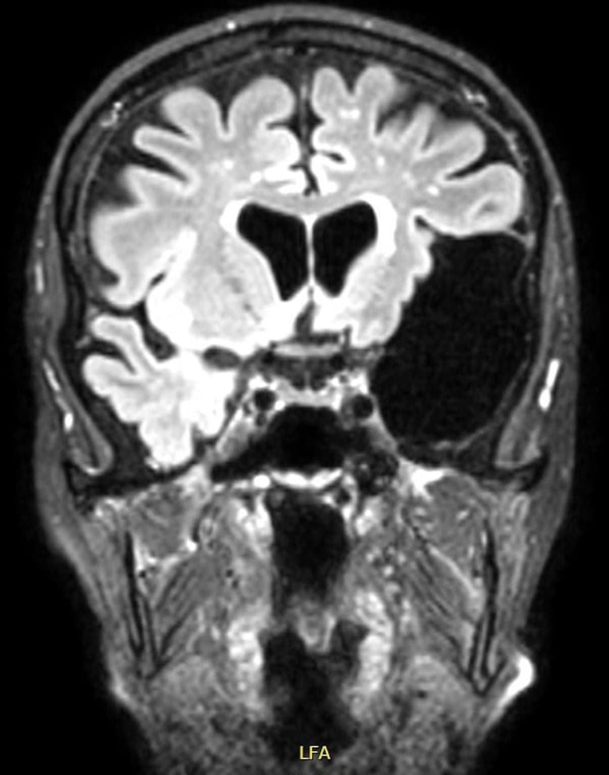
MR-skanningsbillede af stor arachnoideacyste i venstre temporal­region.

KONKLUSION

Ny viden peger på, at arachnoideacyster kan påvirke patienternes kognition og affektive tilstand trods den tidligere overbevisning om cysternes harmløshed. Mulige mekanismer inkluderer påvirkning af det lokale glymfatiske system eller eventuelt den cerebrale blodperfusion, tryk, inflammation eller andre lokale forstyrrelser omkring cysterne. Den herskende tilgang, hvor det som udgangspunkt kun er tegn på masseeffekt eller nervekompression, som kan medføre indikation for neurokirurgisk behandling, kan der således sættes spørgsmålstegn ved, og en mere aktiv tilgang vil muligvis være at foretrække for nogle patienter. Arachnoideacysterne forbliver ikke desto mindre et åbent spørgsmål i neurokirurgien, og udvælgelsen af de rette patienter til de relevante neurokirurgiske behandlingstilbud ligeså.



Korrespondance Victoria Emilie Neesgaard. E-mail: vinee16@student.sdu.dk
Antaget 29. september 2021
Publiceret på ugeskriftet.dk 3. januar 2022
Interessekonflikter ingen. Forfatternes ICMJE-formularer er tilgængelige sammen med artiklen på ugeskriftet.dk
Referencer findes i artiklen publiceret på ugeskriftet.dk
Artikelreference Ugeskr Læger 2022;184:V06210525

Summary

Arachnoid cysts can be associated with cognitive and affective symptoms

Victoria Emilie Neesgaard, Frantz Rom Poulsen, Anders Vedel Holst & Tiit Illimar Mathiesen

Ugeskr Læger 2022;184:V06210525

Arachnoid cysts are frequent incidental findings on brain scans. Traditionally, they are regarded as harmless, congenital structures which do not require surgical treatment. In the rare cases where surgery is indicated it can be due to haemorrhage, hydrocephalus or cranial nerve affection caused by the cyst. However, recent literature suggests a correlation between arachnoid cysts and cognitive and affective symptoms. The hypothesised pathomechanisms include pressure, affected neuronal or glial metabolism and inflammation. If this is correct a more active approach might benefit the patients as suggested in this review.

Referencer

Referencer

  1. Rabiei K, Jaraj D, Marlow T et al. Prevalence and symptoms of intracranial arachnoid cysts: a population-based study. J Neurol 2016;263:689-94.

  2. Wang Y, Wang F, Yu M, Wang W. Clinical and radiological outcomes of surgical treatment for symptomatic arachnoid cysts in adults. J Clin Neurosci 2015;22:1456-61.

  3. Chen Y, Fang HJ, Li ZF et al. Treatment of middle cranial fossa arachnoid cysts: a systematic review and meta-analysis. World Neurosurg 2016;92:480-490.e482.

  4. Isaksen E, Leet TH, Helland CA Wester K. Maze learning in patients with intracranial arachnoid cysts. Acta Neurochir (Wien) 2013;155:841-8.

  5. Torgersen J, Helland C, Flaatten H, Wester K. Reversible dyscognition in patients with a unilateral, middle fossa arachnoid cyst revealed by using a laptop based neuropsychological test battery (CANTAB). J Neurol 2010;257:1909-16.

  6. Raeder MB, Helland CA, Hugdahl K, Wester K. Arachnoid cysts cause cognitive deficits that improve after surgery. Neurology 2005;64:160-2.

  7. Helland CA, Wester K. A population-based study of intracranial arachnoid cysts: clinical and neuroimaging outcomes following surgical cyst decompression in children. Jeurosurg 2006;105 (suppl 5):385-90.

  8. Agopian-Dahlenmark L, Mathiesen T, Bergendal A. Cognitive dysfunction and subjective symptoms in patients with arachnoid cyst before and after surgery. Acta Neurochirurgica. 2020;162(5):1041-1050.

  9. Sandvik U, Adolfsson T, Jacobson DN, Tedroff K. Cognition in children with arachnoid cysts. Journal of Clinical Medicine. 2020;9(3).

  10. Gjerde PB, Litleskare S, Lura NG et al. Anxiety and depression in patients with intracranial arachnoid cysts – a prospective study. World Neurosurg 2019;132:e645-e653.

  11. Moss T, Helland CA, Morkve SH, Wester K. Surgical decompression of arachnoid cysts leads to improved quality of life: a prospective study-long-term follow-up. Acta Neurochir (Wien) 2019;161:2253-63.

  12. Lee SH, Park YS, Nam TK, Kwon JT. Psychopathological influence of middle fossa arachnoid cysts in young men: analysis of Korean conscription data. World Neurosurg 2019;122:e530-e539.

  13. Park YS, Eom S, Shim KW, Kim DS. Neurocognitive and psychological profiles in pediatric arachnoid cyst. Childs Nerv Sys 2009;25:1071-6.

  14. Wu X, Li G, Zhao J et al. Arachnoid cyst-associated chronic subdural hematoma: report of 14 cases and a systematic literature review. World Neurosurg 2018;109:e118-e130.

  15. Martinez-Lage JF, Perez-Espejo MA, Almagro MJ, Lopez-Guerrero AL. Hydrocephalus and arachnoid cysts. Childs Nerv Sys 2011;27:1643-52.

  16. Copley P, Kirkman MA, Thompson D et al. Endoscopic surgery for intraventricular arachnoid cysts in children: clinical presentation, radiological features, management, and outcomes over a 12-year period. Childs Nerv Sys 2018;34:257-66.

  17. Rabiei K, Hellstrom P, Hogfeldt-Johansson M, Tisell M. Does subjective improvement in adults with intracranial arachnoid cysts justify surgical treatment? J Neurophysiol 2018;128:250-7.

  18. Stowe LA, Go KG, Pruim J et al. Language localization in cases of left temporal lobe arachnoid cyst: evidence against interhemispheric reorganization. Brain Lang 2000;75:347-58.

  19. Helland CA, Wester K. Intracystic pressure in patients with temporal arachnoid cysts: a prospective study of preoperative complaints and postoperative outcome. J Neurol Neurosurg Psychiatry 2007;78:620-3.

  20. Tunes C, Flones I, Helland C et al. Pre- and post-operative dizziness and postural instability in temporal arachnoid cyst patients. Acta Neurol Scand 2014;129:335-42.

  21. Schertz M, Constantini S, Eshel R et al. Neurodevelopmental outcomes in children with large temporal arachnoid cysts. J Neurosurg Pediatr 2018;21:578-86.

  22. Boltshauser E, Martin F, Altermatt S. Outcome in children with space-occupying posterior fossa arachnoid cysts. Neuropediatrics 2002;33:118-21.

  23. Gjerde PB, Schmid M, Hammar A, Wester K. Intracranial arachnoid cysts: impairment of higher cognitive functions and postoperative improvement. J Neurodev Disord 2013;5:21.

  24. Park JH, Hong JH, Lee SW et al. The effect of chronic cerebral hypoperfusion on the pathology of Alzheimer's disease: a positron emission tomography study in rats. Scientific Rep 2019;9:14102.

  25. Jessen NA, Munk AS, Lundgaard I, Nedergaard M. The glymphatic system: a beginner's guide. Neurochem Res 2015;40:2583-99.

  26. Chiti F, Dobson CM. Protein misfolding, amyloid formation, and human disease: a summary of progress over the last decade. Annu Rev Biochem 2017;86:27-68.

  27. Rasmussen MK, Mestre H, Nedergaard M. The glymphatic pathway in neurological disorders. Lancet Neurol 2018;17:1016-24.

  28. Bodilsen J, Storgaard M, Larsen L et al. Infectious meningitis and encephalitis in adults in Denmark: a prospective nationwide observational cohort study (DASGIB). Clin Microbiol Infect 2018;24:1102.e1101-1102.e5.

  29. Oberbauer RW, Haase J, Pucher R. Arachnoid cysts in children: a European co-operative study. Childs Nerv Syst 1992;8:281-6.

  30. Wang C, Han G, You C et al. Individual surgical treatment of intracranial arachnoid cyst in pediatric patients. Neurol India 2013;61:400-5.