Skip to main content

Arteriovenøs malformation som årsag til intracerebral hæmoragi hos en 13-årig pige

Lone Christina Jørgensen & Elke Longin Børneafdelingen, Sygehus Vendsyssel, Hjørring

13. jan. 2012
4 min.

Intracerebrale blødninger forekommer sjældent i barnealderen. Spontane intrakranielle blødninger ses hos ca. 1/100.000/år hos personer under 18 år [1]. Der forventes således ca. 13 tilfælde om året i Danmark blandt 0-19 årige [2]. En intracerebral arteriovenøs malformation (AVM) som årsag til blødningen findes hos ca. halvdelen (55%) [1]. Sygehistorien omhandler en 13-årig pige, der fik relativt sparsomme symptomer på intrakraniel blødning. Der var ikke forudgående kendskab til, at hun havde en cerebral AVM.

Sygehistorie

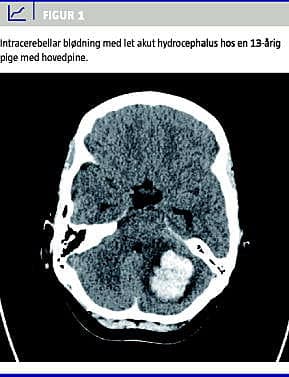
En 13-årig, tidligere sund og rask pige blev indlagt akut pga. hovedpine. Hun var vågnet med let hovedpine, som var blevet forværret i løbet af dagen. Hun havde i ugerne op til denne sygdomsepisode været plaget af hovedpine i perioder. Ved ankomsten var pigens luftveje, vejrtrækning og cirkulation stabil, Glascow Coma Scale (GCS) var på 14, hun var let hypoterm med temperatur på 35,4 °C målt rektalt. Hun fremstod lettere bevidsthedspåvirket, men kunne dog nemt vækkes og svarede helt relevant. Ved neurologisk og somatisk undersøgelse fandt man intet unormalt. Blodprøverne viste normale forhold, inkl. koagulationstal, og der var normal puls og normalt blodtryk. Pga. lettere bevisthedspåvirkning i forbindelse med hovedpinen foretog man en akut computertomografi (CT) af cerebrum. Tomografien afslørede en 5 × 3,5 cm stor cerebellar blødning i venstre hemisfære og akut hydrocephalus (Figur 1 ).

Patienten blev akut overflyttet til neurokirurgisk afdeling, hvor man foretog udtømmelse af hæmoragien, som viste sig at stamme fra en AVM. Denne blev først endeligt diagnosticeret under operationen, da forudgående CT-angiografi ikke viste endegyldige tegn herpå. Efter operationen blev hun tilbageflyttet til pædiatrisk afdeling til genoptræning. Hun havde kun sparsomme sequelae i form af let ataksi i venstre arm.

Diskussion

Cerebral AVM er en meget sjælden tilstand med en samlet prævalens i populationen på 0,5-1%. I barnealderen påvises den dog kun hos 0,014-0,028%. De fleste AVM'er bliver diagnosticeret hos personer, der er i alderen 20-40 år, og hos børn under 15 år bliver kun 18-20% symptomatiske [3].

AVM kan betegnes som en udviklingsdefekt. AVM opstår før 5.-6. gestationsuge og er en direkte forbindelse mellem arterier og vener uden mellemliggende kapillærer. Pga. det relativt høje tryk udvides venerne og giver store karnøgler. Karvæggene i disse er tynde, og der er derfor en risiko for, at de brister spontant [4]. AVM kan ses i forbindelse med arvelige sygdomme, og ved mb. Osler har ca. 11% af patienterne cerebral AVM. AVM ses desuden ved von Hippel-Lindaus sygdom, hvor der dog kun findes få påviste tilfælde af cerebrale AVM'er hos børn.

De fleste børn, der har AVM, er asymptomatiske. Debutsymptomerne er oftest hovedpine, kramper eller symptomer på intrakraniel blødning (opkastninger og bevidsthedspåvirkning). I mere sjældne tilfælde kan der ses progredierende neurologiske symptomer. Symptomerne kan dog ofte være relativt sparsomme og uspecifikke og kan derfor ofte fejltolkes som mere benigne tilstande.

Ved en intracerebral AVM er der en blødningsrisiko på 1-2% pr. år. Hos børn er behandlingen af AVM, der giver symptomer, enten resektion ved operation, endovaskulær embolisering eller stereotaktisk radioterapi. Hvis en intracerebral AVM findes tilfældigt (i forbindelse med skanning af anden årsag), vil dette ligeledes ofte medføre tilbud om operation.

Mortaliteten i forbindelse med akut blødning fra AVM hos børn er påvist at være ca. 20%. Dårlige prognostiske faktorer er lav GCS ved indlæggelsen og blødning, der er lokaliseret infratentorielt. 50-60% af patienterne restitueres fuldt [5].

I ovenstående sygehistorie havde patienten klassiske symptomer i form af hovedpine og let bevidsthedspåvirkning, men der var ingen abnorme neurologiske fund i øvrigt.

Som læge bør man være opmærksom på diagnosen på trods af det ret sparsomme og uspecifikke symptombillede ved intrakranielle blødninger og den lave incidens af AVM hos børn.

src="/LF/images_ufl/ufl_bla.gif">
Lone Christina Jørgensen , Børneafdelingen, Sygehus Vendsyssel, Hjørring, Halvorsmindevej 5, 9800 Hjørring. E-mail: lc-joergensen@stofanet.dk

ANTAGET: 4. maj 2011

FØRST PÅ NETTET: 11. juli 2011

INTERESSEKONFLIKTER: ingen

Summary

Summary Arteriovenous malformation as a cause of intracerebral haemorrhage in a 13 year-old girl Ugeskr Læger 2012;174(3):128-129 Spontaneous intracranial haemorrhages in children are rare. The leading cause of spontaneous bleeding is a rupture of arteriovenous malformations (AVM). This case study presents a 13 year-old girl with headache and slightly altered mental status due to bleeding from an unknown cerebral AVM. Although the initial symptoms may be non-specific it is a disease, which results in a significant mortality. A physician should keep the diagnosis in mind even though the incidence in children is very low.

Referencer

  1. de Ribaupierre S, Rilliet B, Cotting J et al. A 10-year experience in pediatric spontaneous cerebral hemorrhage: which children with headache need more than a clinical examination? Swiss Med Wkly 2008;138:59-69.
  2. Danmarks Statistik. Danmark i tal 2011:5.
  3. Terezakis S, Storm P, Storm M et al. Spontaneous intracranial hemorrhages in children, Neurosurg Q 2002;12:216-29.
  4. Broderick J, Talbot G, Prenger E et al. Stroke in children within a major metropolitan area: the surprising importance of intracerebral hemorrhage. J Child Neurol 1993;8:250-5.
  5. Di Rocco C, Tamburrini G, Rollo M. Cerebral arteriovenous malformations in children. Acta Neurochir (Wien) 2000;142:145-58.