Arteriovenøse malformationer i lungerne øger risikoen for cerebral absces og bør derfor indgå i overvejelserne om bagvedliggende årsag


Sofie Kathrine Topp1, Ulla Germer2 & Terese Katzenstein1
En 27-årig tidligere rask mand blev indlagt efter et døgn med feber og hovedpine. Cerobrospinalvæsken var med pleocytose, og der var forhøjet laktat- og proteinniveau, hvorfor man påbegyndte empirisk meningitisbehandling. Den følgende dag tilkom der pupildifferens og ordfindingsbesvær. En MR-skanning viste cerebral absces. Ved punktur af abscessen blev der udtømt pus med vækst af Streptococcus anginosus, og patienten blev behandlet intravenøst med ceftriaxon samt peroralt med metronidazol i seks uger. Fire uger efter afsluttet behandling var han uden sequelae.
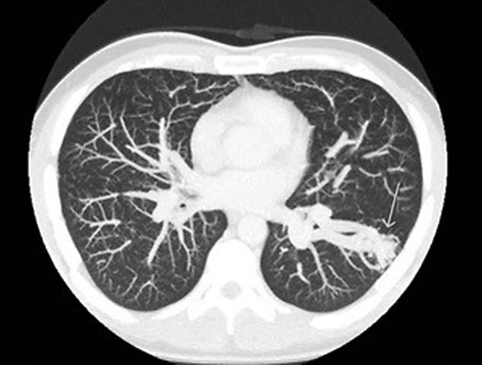
Som led i udredningen blev der foretaget CT af thorax/abdomen, hvorved man fandt en pulmonal arteriovenøs malformation (PAVM) i venstre lunges underlap (pil på billedet). PAVM er sjældent forekommende og hyppigt forårsaget af den arvelige sygdom heriditær hæmoragisk telangiektasi (HHT) (morbus Osler) [1]. Patienten blev henvist til HHT-centeret i Odense og diagnosticeret med HHT-2. Prævalensen af HHT i Danmark er 1:6.500, og hos ca. 30% af dem kan man finde en PAVM [2]. Risikoen for cerebral absces hos personer med ubehandlet PAVM er mere end 100 gange højere end risikoen hos baggrundsbefolkningen [3]. Det er derfor relevant at overveje PAVM og HHT hos unge, ellers raske patienter, som får cerebral absces.
Korrespondance: Sofie Kathrine Topp.
E-mail: sofiekathrinetopp@gmail.com
Publiceret på Ugeskriftet.dk: 4. november 2019
Interessekonflikter: ingen. Forfatternes ICMJE-formularer er tilgængelige sammen med artiklen på Ugeskriftet.dk
Shovlin CL. Pulmonary arteriovenous malformations. Am J Respir Crit Care Med 2014;190:1217-28.
Larsen L, Marker CR, Kjeldsen AD et al. Prevalence of hereditary hemorrhagic telangiectasia in patients operated for cerebral abscess: a retrospective cohort analysis. Eur J Clin Microbiol Infect Dis 2017;36:1975-80.
Kjeldsen AD, Tørring PM, Nissen H et al. Cerebral abscesses among Danish patients with hereditary haemorrhagic telangiectasia. Acta Neurol Scand 2014;129:192-7.