Aktuelt
Asymptomatisk COVID-19-infektion, som årsag til sinusvenetrombose

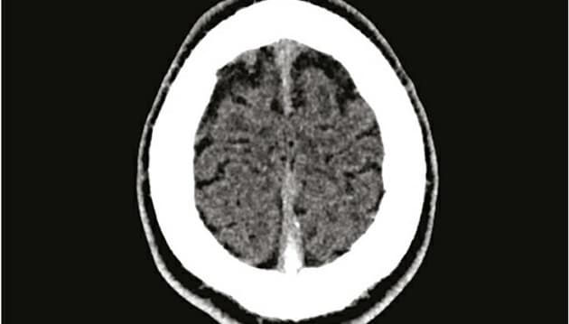
Patientens trombose var så stor, at den kunne ses på et CT-billede af cerebrum uden kontraststof. Ugeskr Læger 2021;183:V06210511
29. okt. 2021
1 min.

Neziraj og Papina gennemgår et sygdomsforløb, hvor overstået asymptomatisk COVID-19-infektion var den mest sandsynlige årsag til cerebral venøs trombose hos en tidligere rask 18-årig mand. Forfatterne konkluderer, at mulighed for sinustrombose skal overvejes hos patienter med svær hovedpine og andre neurologiske symptomer i efterforløbet af en COVID-19-infektion.
Læs kasuistik
Cerebral venøs trombose efter asymptomatisk COVID-19-infektion
Natalie Neziraj & Maria Papina