Asymptomatisk tilfældigt fund af guidewiretip i pulmonalt kar


Camilla Engelsmann, Niels Bjørn Dalsgaard & Shailesh Balasaheb Kolekar
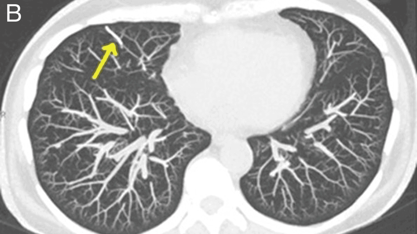
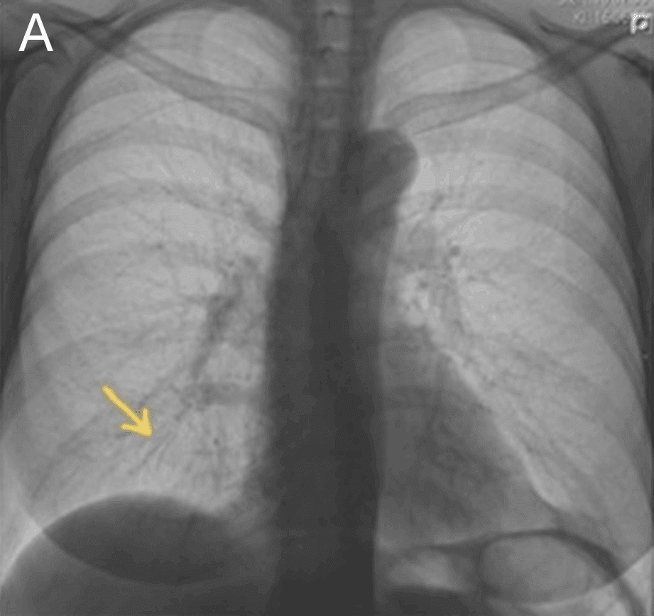
En 57-årig kvinde med cancer mammae sinister uden metastasering i forløb med neoadjuverende kemoterapi blev indlagt i akutmodtagelsen, da hun under MR-skanning udviklede varmefornemmelse og smerter i højre side af brystet. Skanningen blev afbrudt akut, og symptomerne forsvandt. Objektiv undersøgelse og blodprøver gav ingen afklaring. Røntgenundersøgelse af thorax viste et 18 mm langt fremmedlegeme i højre mellemlap (A). CT bekræftede et hyperdenst fremmedlegeme (B), mest sandsynligt i en subsegmental gren af a. pulmonalis til højre lunges mellemlap.
Måneden forinden havde patienten fået foretaget tilsvarende MR-skanning uden komplikationer. I mellemtiden havde hun ikke været udsat for et traume eller fået foretaget invasive undersøgelser fraset anlæggelse af perifert indsat centralt venekateter (PICC)-line. Den primære mistanke var derfor, at guidewire var knækket under anlæggelse. Der blev konfereret med vagthavende thoraxkirurg og interventionsradiolog, som vurderede, at fremmedlegemet grundet sin beliggenhed, størrelse samt fravær af symptomer var uden klinisk betydning.
Patienten var stabil og upåvirket under hele forløbet, og hun blev udskrevet med henvisning til opfølgning hos thoraxkirurgerne.
Korrespondance Camilla Engelsmann. E-mail: Camie@regionsjaelland.dk
Publiceret på ugeskriftet.dk 19. august 2024
Interessekonflikter ingen. Forfatternes ICMJE-formularer er tilgængelige sammen med artiklen på ugeskriftet.dk
Artikelreference Ugeskr Læger 2024;186:V72037.
doi 10.61409/V72037
Open Access under Creative Commons License CC BY-NC-ND 4.0