Autoimmun pankreatitis (AIP) er en sygdom med kronisk inflammation af pancreas, og den responderer som oftest på glukokortikosteroid. Klinisk ses den i form af obstruktiv ikterus og fokale forandringer i pancreas, hvilket kan mistolkes som cancer [1, 2]. Patogenesen er stort set ukendt, men sygdommen formodes at opstå forudgået af en immunologisk aktivering hos genetisk prædisponerede individer [3]. Sygdommen inddeles i to typer, som adskiller sig fra hinanden på en række områder. Den vigtigste differentialdiagnose er cancer pancreatis.
Fakta
Fakta
HOVEDBUDSKABER
-
Autoimmun pankreatitis er en sjælden, fibroinflammatorisk sygdom, som kan ses i form af ikterus og mavesmerter.
-
Sygdommen inddeles i en type 1, som er en del af immunglobulin G4-relateret sygdom, og type 2, som er en pancreasspecifik sygdomsenhed.
-
Den primære behandling er glukokortikosteroid, men rituximab kan også benyttes.
-
Differentialdiagnoserne er cancer pancreatis og kronisk pankreatitis.
Formålet med denne artikel er at udbrede kendskabet til AIP.
KLINISK PRÆSENTATION OG EPIDEMIOLOGI
Ved både AIP-type 1 (AIP-1) og AIP-type 2 (AIP-2) kan der være obstruktiv ikterus, mavesmerter og en diffus eller fokal forstørret pancreas set ved billeddiagnostik [2, 4-6]. Nogle patienter har akut pankreatitis med mavesmerter og forhøjet amylaseniveau, men langt de fleste har smertefri ikterus [2, 6]. AIP-1 opfattes som en pancreasmanifestation af immunglobulin G4-relateret sygdom (IgG4-RS), hvorimod AIP-2 opfattes som en pancreasspecifik sygdom [1]. Det betyder, at AIP-1 hyppigt ses sammen med andre IgG4-RS, ofte med manifestation i galdegangene, hvorfor der også kan være forhøjede leverenzymniveauer [2, 4-7].
Internationalt set er gennemsnitsalderen på diagnosetidspunktet ved AIP-1 og AIP-2 hhv. ~ 61 år og ~ 40 år [2]. Skandinaviske data er sparsomme, men i et dansk studie med 30 inkluderede patienter rapporterede man om en gennemsnitsalder på hhv. 62 år (AIP-1) og 33 år (AIP-2) [4]. AIP har en prævalens på 2,5 pr. 100.000 indbyggere i danske data [4] og 4,6 pr. 100.000 indbyggere i japanske data [8]. AIP-1 er væsentligt hyppigere end AIP-2 [2, 4-6]. Ydermere findes der forskelle i serologi, patienternes køn og associerede sygdomme (Tabel 1).
DIAGNOSE
De nuværende diagnostiske kriterier hviler på et konsensusgrundlag fra 2011, hvor en international ekspertgruppe udarbejdede International Consensus Diagnostic Criteria for Autoimmune Pancreatitis (ICDC) [1]. I ICDC anbefales det, at en kombination af billeddiagnostik, serologi, påvisning af anden organinvolvering, histologi og respons på glukokortikosteroid benyttes som kriterier for diagnosticering af AIP (Tabel 2). Generelt bør der som minimum være to grad 1-kriterier og ét grad 2-kriterie eller respons på glukokortikosteroid, før AIP-1 kan diagnosticeres. Der kan afviges fra dette, hvis der findes grad 1-histologi fra pancreas. AIP-2 kan kun diagnosticeres med histologi. Et diagnostisk flowdiagram udarbejdet efter inspiration fra ICDC ses i Figur 1.
Billeddiagnostik
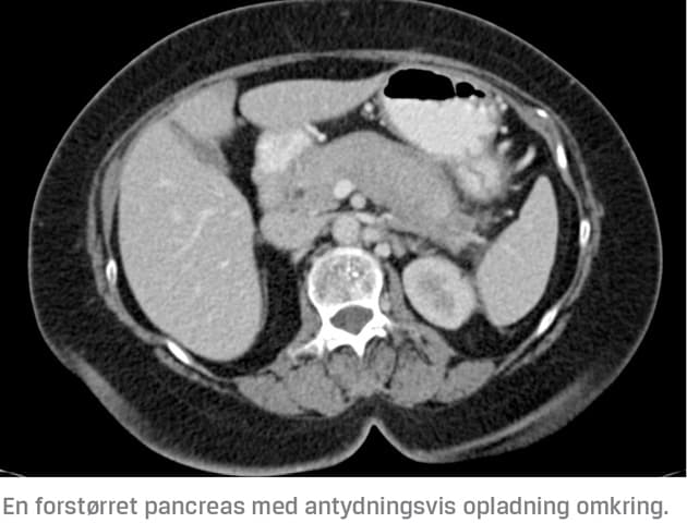
Det er hyppigst fund ved MR-skanning eller CT, der leder til mistanke om AIP. De to AIP-typer kan ikke adskilles ved skanning. En fokalt eller diffust forstørret pancreas, specielt med en kapsellignende forandring omkring sig, uden dilatation af ductus pancreaticus bør rejse mistanke om AIP [1]. Diffus forstørrelse af hele pankreas findes hos 30-40% af patienterne [4-6, 12], fokal forstørrelse hos 35-75% [4-6, 12], kapsellignende forandring hos 30-48% [4, 12] og forsinket opladning hos ~ 90% [12]. Ovennævnte fund kan gøres ved både MR-skanning og CT, men specielt MR-skanningens T1- og T2-vægtede billeder er vigtige ved diagnostikken af AIP [13]. Forandringer, der er forenelige med AIP, er næsten altid hypointense på T1-vægtede billeder og hyperintense på T2-vægtede billeder.
MR-kolangiopankreatikografi (MRCP), endoskopisk retrograd kolangiopankreatikografi (ERCP) og endoskopisk ultralydskanning (EUS) benyttes også til diagnosticering af AIP [1, 4, 13-16]. En striktur på 33% af længden af ductus pancreaticus eller multiple strikturer uden dilatation proksimalt herfor er karakteristisk og indgår som et diagnostisk kriterie for AIP (Tabel 2) [1]. Ductus pancreaticus-forandringer findes hos 50-70% af patienterne [4-5, 13]. Pankreatikografi kan foretages som både MRCP og ERCP, men førstnævnte er at foretrække i den initiale udredning af AIP, da den ikke er invasiv. ERCP giver derimod mulighed for bioptering af papilla duodeni major, som kan være påvirket ved AIP, hvilket kan hjælpe med at stille diagnosen [1]. Risikoen ved denne procedure er post-ERCP-pankreatitis. EUS og EUS med kontrast benyttes i stadig større grad til diagnosticering af AIP. Fordelen ved disse procedurer er muligheden for bioptering af pancreas og malignitetssuspekte områder i pancreas [4, 15, 16].
Serologi
Elevation af IgG, IgG4 og antinukleære antistoffer i plasma ses hyppigt ved AIP-1 [4, 9]. P-IgG4-elevation indgår som diagnostisk kriterie for AIP-1 (Tabel 2) [1]. Elevation af P-IgG4 kan også ses i mindre grad ved cancer pancreatis [17], kolangiokarcinom [18], primær skleroserende kolangititis [19] og AIP-2 [10, 11, 20]. I Danmark er P-IgG4-niveauet forhøjet hos under halvdelen af patienterne, formentlig fordi diagnosen oftere er baseret på histologisk undersøgelse fremfor serologi, der andre steder er den initiale undersøgelse.
Anden organinvolvering
AIP-1 kan ses sammen med andre IgG4-RS. IgG4-RS kendetegnes ved fibroinflammatoriske forandringer med øget vævsinfiltration af IgG4-celler. I en poolanalyse af fem studier med sammenlagt 758 patienter med IgG4-RS fandt man, at 50% havde mere end én manifestation på diagnosetidspunktet [7]. De hyppigst afficerede organer ud over pancreas er lymfeknuder, galdegange, spytkirtler, tårekirtler, nyrer, retroperitoneum/periaorta og lunger [7]. Anden organinvolvering, der bliver diagnosticeret ved objektiv undersøgelse, billeddiagnostik eller biopsi, indgår som et diagnostisk kriterie for AIP-1 (Tabel 2) [1].
AIP-2 er associeret med inflammatorisk tarmsygdom [2, 4, 9-11, 20], hvilket indgår som et grad 2-diagnostisk kriterie (Tabel 2) [1]. I et retrospektivt multicenterstudie fra 2018 med 89 patienter med AIP-2 og inflammatorisk tarmsygdom fandt man, at 66% havde colitis ulcerosa, som oftest med proktitis. De resterende 34% havde Crohns sygdom. Patienter med både AIP-2 og inflammatorisk tarmsygdom fik hyppigere foretaget kolektomi end patienter kun med inflammatorisk tarmsygdom [21].
Histologi
AIP-1 og AIP-2 differentieres bedst fra hinanden og fra cancer ved histologisk undersøgelse. AIP-2 kan kun definitivt diagnosticeres ved fund af karakteristiske histopatologiske forandringer [1].
AIP-1 kendetegnes ved fund af periduktale lymfoplasmacellulære infiltrater uden granulocytær infiltration. Desuden ses der obliterativ flebitis, storiform fibrose og infiltration af mindst ti IgG4-positive celler pr. high-power field (Tabel 2). AIP-2 kendetegnes ved fund af granulocytær infiltration i lumen samt væggene i de inter- og intralobulære dukter (granulocytære epiteliale læsioner). Ydermere er fravær eller meget få (0-10) IgG4-positive celler pr. high-power field karakteristisk for AIP-2 (Tabel 2) [1]. Der findes lymfoplasmacellulære infiltrater og storiform fibrose ved både AIP-1 og AIP-2 [1, 10].
Glukokortikosteroidrespons
Respons på glukokortikosteroider indgår som et diagnostisk kriterie for AIP (Tabel 2). I ICDC anbefales fornyet billeddiagnostik og cancerantigen (CA) 19-9 efter to ugers behandling [1]. Ved forsat forstørrelse af pancreas og stigende/stationært niveau af CA 19-9 bør diagnosen revurderes.
DIFFERENTIALDIAGNOSE
Cancer pancreatis forekommer langt hyppigere end AIP, hvorfor tvivl om diagnosen altid bør lede til en biopsi og/eller yderligere billeddiagnostik [1]. Det er hyppigt den fokale forstørrelse af pancreas ved AIP, der misfortolkes som cancer. Ofte diagnosticeres AIP efter biopsi eller operation på mistanke om cancer. Det er anslået, at 5% af pancreasresektionerne skyldes AIP [21]. I et kohortestudie fra Storbritannien med patienter med AIP fandt man, at 21% havde undergået kirurgi for formodet pankreatikobiliær cancer [5].
Kronisk pankreatitis er også en differentialdiagnose til AIP. Sygdommen skyldes oftest en kombination af alkohol- og tobaksmisbrug, og patienterne har ofte smerter og/eller nedsat eksokrin og endokrin funktion. Radiologisk ses der ofte en atrofisk pancreas med forkalkninger og evt. pseudocyster, mens benign choledochusstenose ses hos et mindretal [22].
BEHANDLING
Behandling af AIP bør foregå på højtspecialiserede afdelinger. I 2017 udarbejdede en gruppe eksperter et sæt rekommandationer om behandling af AIP [23]. Behandlingsindikationerne var ikterus, mavesmerter, rygsmerter, persisterende pancreasforstørrelse og leverenzympåvirkning hos patienter med konkomitant påvirkning af galdegange. Til induktion af remission anbefales peroral behandling med glukokortikosteroid som førstevalg: 0,6-1,0 mg/kg/dag med 5 mg aftrapning om ugen. Hyppigst 40 mg prednisolon som start. Alternativt anbefales brug af rituximab (CD20-antistof), selvom der ikke angives nogen behandlingsprotokol [23]. Rituximab blev i 2012 undersøgt som recidivbehandling hos patienter, der ikke responderede på immunmodulerende behandling (azathioprin, 6-mercaptopurin eller mycophenolatmofetil) og/eller prednisolon [24]. Behandlingsprotokollen var rituximab 375 mg/m2 legemsoverflade som intravenøs infusion en gang om ugen i fire uger, herefter en gang hver 2.-3. måneder i 24 måneder. Tolv patienter fik behandlingen, og ti var uden tegn på aktivitet ved opfølgning (medianopfølgningstiden var 10,6 måneder). Azathioprin, 6-mercaptopurin, mycophenolatmofetil og methotrexat har også været benyttet til behandling af AIP [2, 6, 24].
Kriterierne for remission er ikke entydigt defineret [23]. Overordnet set bør man inden for to uger forvente bedring af mavesmerter, ikterus, blodprøveværdier samt begyndende normalisering af pancreas og/eller galdegange set ved billeddiagnostik. Hart et al [2] fandt hos patienter med AIP-1 og abnorme P-IgG4-niveauer før glukokortikosteroidbehandling, at ~ 96% havde et fald i P-IgG4-niveauerne, og at ~ 46% havde normale niveauer af P-IgG4 efter behandlingen. Hos patienter, der havde AIP-1 og AIP-2 samt diffus pancreasforstørrelse før glukokortikosteroidbehandling, fremstod pancreas normal hos hhv. 66% og 86% efter behandlingen. Det er usikkert, om et aftagende P-IgG4-niveau er et behandlingsmål.
PROGNOSE
Tilbagefald ses hyppigt, især ved AIP-1, hvorfor gentagne glukokortikosteroidbehandlinger ofte er nødvendige [2]. Eksokrin og endokrin pancreasinsufficiens kan også ses [5, 6]. Man har i flere studier undersøgt associationen mellem AIP og cancer, men der er fundet modstridende resultater [5, 25-27]. Der er fundet en større dødelighed hos patienter med AIP-1 end i baggrundsbefolkningen [5].
KONKLUSION
AIP er en sygdom med kronisk inflammation af pancreas. Den inddeles i en type 1, som er en del af IgG4-relateret sygdom, og type 2, som er en pancreasspecifik sygdomsenhed. Klinisk kan den ses i form af obstruktiv ikterus og mavesmerter. Diagnosen stilles ved en kombination af billeddiagnostik, serologi, påvisning af anden organinvolvering, histologi og respons på glukokortikosteroider, som det er foreslået i ICDC. Cancer pancreatis er den vigtigste differentialdiagnose. Sygdommen behandles med glukokortikosteroider, men rituximab kan også benyttes.
Korrespondance: Benjamin Petersen. E-mail: b.petersen.research@gmail.com
Antaget: 9. oktober 2019
Publiceret på Ugeskriftet.dk: 11. november 2019
Interessekonflikter: ingen. Forfatternes ICMJE-formularer er tilgængelige sammen med artiklen på Ugeskriftet.dk
Summary
Benjamin Petersen & Ove B. Schaffalitzky de Muckadell:
Autoimmune pancreatitis
Ugeskr Læger 2019;181:V07190398
The aim of this review is to summarise the status of autoimmune pancreatitis (AIP), which is a rare disease, occasionally misdiagnosed as pancreatic cancer.
AIP consists of two distinct types, which differ in histopathology, association with other diseases and age of onset. Clinically, it is characterised by obstructive jaundice and abdominal pain. The disease shows rapid response to steroids. Rituximab can also be used as induction therapy. Often long-term treatment is necessary to maintain remission.
Referencer
LITTERATUR
Shimosegawa T, Chari ST, Frulloni L et al. International consensus diagnostic criteria for autoimmune pancreatitis: guidelines of the International Association of Pancreatology. Pancreas 2011;40:352-8.
Hart PA, Kamisawa T, Brugge WR et al. Long-term outcomes of autoimmune pancreatitis: a multicentre, international analysis. Gut 2013;62:1771-6.
Hart PA, Zen Y, Chari ST. Recent advances autoimmune pancreatitis. Gastroenterology 2015;149:39-51.
Detlefsen S, Mortensen M, Pless T et al. Laparoscopic and percutaneous core needle biopsy plays a central role for the diagnosis of autoimmune pancreatitis in a single-center study from Denmark. Pancreas 2015;44:845-58.
Huggett MT, Culver EL, Kumar M et al. Type 1 autoimmune pancreatitis and IgG4-related sclerosing cholangitis is associated with extrapancreatic organ failure, malignancy, and mortality in a prospective UK cohort. Am J Gastroenterol 2014;109:1675-83.
Vujasinovic M, Valente R, Maier P et al. Diagnosis, treatment and long-term outcome of autoimmune pancreatitis in Sweden. Pancreatology 2018;18:900-4.
Miyabe K, Zen Y, Cornell LD et al. Gastrointestinal and extra-intestinal manifestation of IgG4-related disease. Gastroenterology 2018;155:990-1003.
Kanno A, Masamune A, Okazaki K et al. Nationwide epidemiological survey of autoimmune pancreatitis in Japan in 2011. Pancreas 2015;44:535-9.
Serrano AL, Crespo J, Pascual I et al. Diagnosis, treatment and long-term outcomes of autoimmune pancreatitis in Spain based on the
International Consensus Diagnostic Criteria: a multi-centre study. Pancreatology 2016;16:382-90.Detlefsen S, Zamboni G, Frulloni L et al. Clinical features and relapse rates after surgery in type 1 autoimmune pancreatitis differ from type 2: a study of 114 surgically treated European patients. Pancreatology 2012;3:276-83.
Sah RP, Chari ST, Pannala R et al. Differences in clinical profile and relapse rate of type 1 versus type 2 autoimmune pancreatitis. Gastroenterology 2010;139:140-8.
Suzuki K, Itoh S, Nagasaka T et al. CT findings in autoimmune pancreatitis: assessment using multiphase contrast-enhanced multisection CT. Clin Radiol 2010;65:735-43.
Negrelli R, Manfredi R, Pedrinolla B et al. Pancreatic duct abnormalities in focal autoimmune pancreatitis: MR/MRCP imaging findings. Eur
Radiol 2015;25:359-67.Sugumar A, Levy MJ, Kamisawa T et al. Endoscopic retrograde pancreatography criteria to diagnose autoimmune pancreatitis: an international multicentre study. Gut 2011;60:666-70.
Hoki N, Mizuno N, Sawaki A et al. Diagnosis of autoimmune pancreatitis using endoscopic ultrasonography. J Gastroenterol 2009;44:154-9.
Cho MK, Moon SH, Song TJ et al. Contrast-enhanced endoscopic ultrasound for differentially diagnosing autoimmune pancreatitis and pancreatic cancer. Gut Liver 2018;12:591-6.
Ghazale A, Chari ST, Smyrk TC et al. Value of serum IgG4 in the diagnosis of autoimmune pancreatitis and in distinguishing it from pancreatic cancer. Am J Gastroenterol 2007;102:1646-53.
Oseini AM, Chaiteerakij R, Shire AM et al. Utility of serum immunoglobulin G4 in distinguishing immunoglobulin G4-associated cholangitis from cholangiocarcinoma. Hepatology 2011;54:940-8.
Hart PA, Ling YC, Chari ST. Lymphoplasmacytic sclerosing pancreatitis without IgG4 tissue infiltration or serum IgG4 elevation: IgG4-related disease without IgG4. Mod Pathol 2015;28:238-47.
Kamisawa T, Chari ST, Giday SA et al. Clinical profile of autoimmune pancreatitis and its histological subtypes: an international multicenter survey. Pancreas 2011;40:809-14.
Hardacre JM, Lacobuzio-Donahue CA, Sohn TA et al. Results of pancreaticoduodenectomy for lymphoplasmacytic sclerosing pancreatitis. Ann Surg 2003;237:129-37.
Majumder S, Chari ST. Chronic pancreatitis. Lancet 2016;387:1957-66.
Okazaki K, Chari ST, Frulloni L et al. International consensus for the
treatment of autoimmune pancreatitis. Pancreatology 2017;17:1-6.Hart PA, Topazian MD, Witzig TE et al. Treatment of relapsing autoimmune pancreatitis with immunomodulators and rituximab: the Mayo Clinic experience. Gut 2013;62:1607-15.
Shiokawa M, Kodama Y, Yoshimura K et al. Risk of cancer in patients with autoimmune pancreatitis. Am J Gastroenterology 2013;108:
610-7.Hart PA, Law RJ, Dierkhising RA el al. Risk of cancer in autoimmune pancreatitis: a case-control study and review of the literature. Pancreas 2014;43:417-21.
Schneider A, Hirth M, Münich M et al. Risk of cancer in patients with autoimmune pancreatitis: a single-center experience from Germany. Digestion 2017;95:172-80.