Barotraume forårsaget af dykkermaske under fridykning


Mathias Buchholtz Overby & Rune Salling Holmbjørn
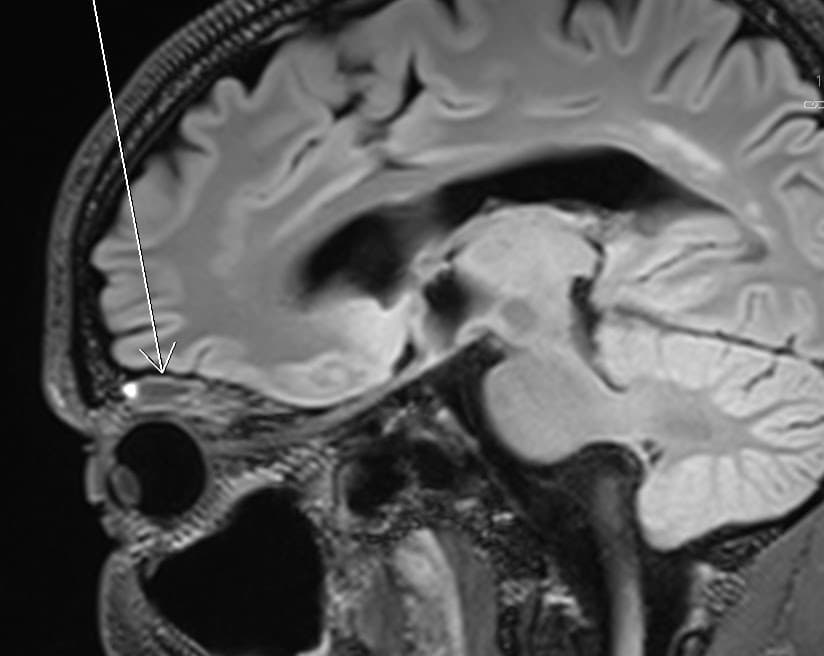
En 55-årig mand blev henvist til øjenafdelingen med ptose og inferior displacering af højre øje (A og B). Patienten, der var erfaren fridykker, havde to uger inden måttet afbryde et dyk på 12 meters dybde grundet problemer med trykudligning. Straks efter dykket bemærkede dykkermakkeren en ændring ved højre øje. I dagene efter tilkom periokulært hæmatom og dobbeltsyn. Ved objektiv undersøgelse fandtes højre øje displaceret nedad med indskrænket elevation. MR-skanning viste subperiostalt orbitalt hæmatom (SOH) i orbitaloftet (C).
SOH er en sjælden tilstand, der opstår ved blødning fra vener i hulrummet mellem knogle og det løst nedbundne periostium i orbita. SOH opstår oftest ved traumer eller venøs trykstigning, f.eks. i forbindelse med opkastninger, fødsler, vægtløftning og strangulation [1]. SOH opstået i forbindelse med dykning kan opstå som et barotraume fra manglende trykudligning af luftvoluminet i dykkermasken. Luft i masken komprimeres ved neddykning og skaber et undertryk, der påvirker bløddelene i orbita, populært kaldet et »mask squeeze« [2].
Denne sygehistorie illustrerer intuitivt fysikken bag barotraumer, der også kan opstå i kroppens egne luftfyldte rum, hvis disse aflukkes under trykændringer.
Korrespondance Mathias Buchholtz Overby. E-mail: mathiasoverby@hotmail.com
Antaget 13. marts 2025
Publiceret på ugeskriftet.dk 16. juni 2025
Interessekonflikter ingen. Forfatternes ICMJE-formularer er tilgængelige sammen med artiklen på ugeskriftet.dk
Artikelreference Ugeskr Læger 2025;187:V73016.
doi 10.61409/V73016
Open Access under Creative Commons License CC BY-NC-ND 4.0