Skip to main content

Behandling med implanterbar defibrillator

Natasha G. Roseva-Nielsen & Jesper Hastrup Svendsen

1. nov. 2005
12 min.

Siden den første patient i 1980 fik indopereret en implanterbar cardioverterdefibrillator (implanterbar defribrillator, ICD), har antallet af ICD-implantationer været hastigt stigende. ICD- enheden kan afbryde ventrikelflimren og ventrikulær takykardi. Sekundærprofylaksestudier har vist, at behandling med ICD kan forbedre prognosen hos patienter, som har overlevet hjertestop. Profylaktisk ICD-behandling af patienter, som ikke har haft hjertestop, kan ud fra primærprofylaksestudier kun anbefales til en selekteret patientgruppe. Det ser ud til, at patienter med dårlig venstre ventrikelfunktion har mest gavn af ICD, og i igangværende studier undersøger man effekten af primær profylaktisk ICD-behandling af hjerteinsufficienspatienter. Denne artikel har til formål at give en oversigt over udviklingen af ICD-behandlingen og de nuværende indikationer for ICD-implantation.

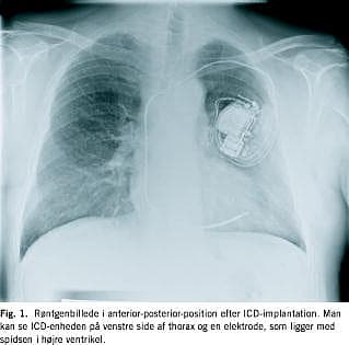
En implanterbar cardioverter defibrillator (ICD) er en særlig avanceret pacemaker, som kan foretage kardiovertering (afbryde ventrikulær takykardi med elektrisk stød), defibrillering (afbryde ventrikelflimren med elektrisk stød) eller takykardibrydende pacing ved ventrikulære takyarytmier og konventionel pacing ved bradyarytmier [1]. Enheden placeres subkutant eller submuskulært på thorax, og en særlig defibrilleringselektrode føres transvenøst til højre ventrikels apex (Fig. 1 ). Den perioperative mortalitet er minimal. Implantationen kan kompliceres af hæmatom, pneumothorax og elektrodedisplacering og på længere sigt af infektion og utilsigtet terapi. ICD-enheden holder i seks år, elektroderne holder betydeligt længere.

En ICD-implantation inklusive enhed, elektroder, operation og indlæggelsesomkostninger koster ca. 250.000 danske kroner plus udgifter til ambulante kontroller.

Den første ICD blev indopereret på en patient i 1980 i USA, og den første ICD-implantation i Danmark blev foretaget på Skejby Sygehus i 1989. På verdensplan bliver der årligt implanteret ca. 60.000 ICD-enheder, heraf ca. en tredjedel i USA. I Danmark fik 239 patienter implanteret ICD i 2000, og dermed var der ved slutningen af 2000 i alt 885 patienter i behandling med ICD, heraf var 81% mænd (www.pacemaker.dk). Grundsygdommen var iskæmisk hjertesygdom hos 59%, kardiomyopati hos 18% og andre årsager hos 23%. Antallet af ICD-implantationer stiger såvel på verdensplan, som i Danmark (Fig. 2).

Siden den første publikation i Ugeskrift for Læger om behandling med ICD [2] er resultaterne fra en række randomiserede studier af gevinsten ved ICD-implantation blevet offentliggjort. I det følgende beskrives seks store kontrollerede, randomiserede studier, hvori man har undersøgt fordelene ved ICD-implantation som førstevalgsbehandling til højrisikopatienter (Tabel 1 ).



ICD som sekundær profylaktisk behandling
(dvs. behandling af patienter, der
har overlevet hjertestop)

AVID-studiet [3] blev stoppet før tid, idet patienterne med ICD viste signifikant bedre overlevelse (etårsoverlevelse på 89% vs. 82% og treårsoverlevelse på hhv. 75% vs. 61%; p <0,02). Studiet er blevet kritiseret, fordi der var en tydelig overvægt af betablokkerbehandling i ICD-gruppen. I dag er det veldokumenteret, at betablokkerbehandling nedbringer mortalitet og pludselig hjertedød hos den patientgruppe, der har nedsat venstre ventrikelfunktion, og dette forhold kan være medvirkende til studiets resultater [4].

I CASH-studiet [5] var toårsmortaliteten signifikant lavere i ICD-gruppen end i amiodaron/metoprololgruppen (12,1% vs. 19,6%, p <0,05). Forekomsten af pludselig hjertedød var også signifikant lavere i ICD-gruppen (2% vs. 11%, p <0,001).

I CIDS-studiet [6] blev der observeret en ikkesignifikant reduktion af risikoen for død i ICD-gruppen, fra 10% per år til 8% per år (relativ risikoreduktion på 20%), og en reduktion af treårsmortaliteten fra 30% til 25% (relativ risikoreduktion på 20%). Ligesom i AVID-studiet var der betydelig flere patienter i betablokkerbehandling i ICD-gruppen end i amiodarongruppen.

En metaanalyse af sekundærprofylaksestudierne viste en signifikant større reduktion af totalmortaliteten (p = 0,0006) og arytmidød (p = 0,0001) ved ICD-behandling end ved amioda-ronbehandling [7].

Mange af de publicerede ICD-studier har inkluderet patienter allerede i starten af 1990'erne, hvor den medicinske behandling af fx hjerteinsufficiens ikke blev iværksat på samme måde som i dag, hvor behandlingen inkluderer ACE-hæmmer, betablokker, Spiron (spironolacton), magnyl (acetylsalicylsyre) og evt. lipidsænkende medicin [8].

ICD som primær profylaktisk behandling
(dvs. behandling af patienter, som ikke
har haft hjertestop)

MADIT-studiet [9] blev stoppet før planlagt pga. en betydelig gevinst ved ICD-behandling i forhold til konventionel behandling med en relativ risikoreduktion på 57% (etårsoverlevelse 97% vs. 77%; treårsoverlevelse 83% vs. 56%; p <0,009). Studiet kan kritiseres, fordi mange amiodaronbehandlede patienter fik behandlingen seponeret, der var flere patienter i betablokkerbehandling i ICD-gruppen, og det tog over fem år at rekruttere de 196 patienter på 32 centre.

CABG-Patch-studiet [10] blev stoppet præmaturt pga. manglende forskel i overlevelsen af patienter, der var behandlet med ICD, og gruppen uden antiarytmisk behandling. Tilsyneladende havde patienterne en relativ lav risiko for død (toårsmortalitet 18% vs. 32% i MADIT-populationen). I begge grupper var de fleste dødsfald perioperative og kun 30% blev klassificeret som arytmibetingede [11].

MUSTT-studiet [12] havde til formål at undersøge, om elektrofysiologisk vejledt antiarytmisk behandling kunne reducere risikoen for pludselig hjertedød hos patienter med iskæmisk hjertesygdom. Forekomsten af hjertestop eller død pga. arytmi inden for fem år var signifikant lavere hos ICD-patienter end hos patienter i konventionel antiarytmisk behandling (9% vs. 37%, p <0,001). Totalmortaliteten efter fem år var signifikant lavere hos patienter, der var behandlet med ICD (24% vs. 55%, p <0,001), end hos patienterne i konventionel antiarytmisk behandling. Studiet kan kritiseres fordi: 1) protokollen blev ændret undervejs, 2) der manglede randomisering mellem konventionel antiarytmisk behandling og ICD-behandling og 3) der var en betydelig forskel i betablokkerbehandling mellem de to grupper.

Resultaterne fra primærprofylaksestudierne er tankevækkende, idet 2-3% af den danske AMI-population kan blive potentielle kandidater til ICD-behandling [13].

Indikationer for ICD-behandling

De nuværende indikationer for ICD-behandling er angivet i Fig. 3 [1, 14].

Hvem har mest gavn af ICD-behandling?

Risikoen for arytmi er relateret til nedsat systolisk funktion af venstre ventrikel og stigende grad af hjerteinsufficiens [15]. Implantation af ICD er effektiv i behandlingen af livstruende arytmier, men effekten på totalmortaliteten reduceres pga. dødeligheden som følge af hjerteinsufficiens. Man kunne således forestille sig, at der kun ville være en beskeden prognostisk gevinst ved ICD-behandling af patienter med svær venstre ventrikel-dysfunktion. Imidlertid syntes denne gruppe patienter at have den største gevinst af behandlingen.

I AVID-populationen blev det vist, at patienter med EF ≥0,35 ikke havde en bedre overlevelse efter ICD-implantation end patienter, der var i behandling med antiarytmisk medicin (oftest amiodaron). Hos patienter med lav ejection fraction (EF) medfører ICD-behandling en bedre overlevelse [16]. I CIDS-studiet blev der udført en post hoc-analyse af fire risikogrupper på basis af nedsat EF, alder og NYHA-klasse [17]. I gruppen med den højeste risiko blev der påvist 50% reduktion af den relative risiko for død, mens der ikke blev observeret nogen betydelig fordel af ICD-behandlingen i forhold til behandling med amiodaron i de tre grupper patienter med den laveste risiko. I MADIT-studiet har gevinsten af ICD-behandlingen i forhold til konventionel behandling været mest overbevisende hos patienter med EF <0,26 [18]. Konklusionen af disse analyser peger i retning af, at patienter med den sværeste grad af hjertesvigt har den største gevinst af ICD-behandlingen.

Profylaktisk ICD-implantation hos hjerteinsufficienspatienter

Effekten af ICD og/eller amiodaron som primær profylakse for pludselig hjertedød hos patienter med svær venstre ventrikel dysfunktion og/eller hjerteinsufficiens, som er optimalt behandlet med betablokker, ACE-hæmmer, diuretika inklusive aldosteronantagonister og lipidsænkende medicin, bliver undersøgt i flere igangværende studier med totalmortalitet som primært effektmål. Her nævnes kun to af dem [19].

MADIT II-studiet, som har inkluderet over 1.200 patienter med tidligere AMI og EF <0,30 og randomiseret dem til konventionel hjertesvigtsbehandling plus ICD-behandling eller kun konventionel hjerteinsufficiensbehandling, er netop blevet afsluttet før tid pga. 30% lavere mortalitet hos de patienter, der blev behandlet med ICD.

I The Sudden Cardiac Death in Heart Failure Trial (SCD-Heft)-studiet randomiseres patienter i optimal medicinsk hjerteinsufficiensbehandling med symptomer på hjertesvigt og EF <0,36 til tre grupper: 1) dobbeltblindet placebobehandling, 2) amiodaronbehandling (dobbeltblindet) og 3) ICD-behandling.

Konklusion

ICD-behandlingen er en dyr og ressourcekrævende behandling, hvor selve implantationen består i et relativt beskedent operativt indgreb i lokalanæstesi, der kan sammenlignes med en pacemakerimplantation. ICD-behandlingen ser ud til at være den bedste behandling som sekundær profylakse for pludselig hjertedød hos højrisikopatienter. Der er en vis evidens for, at ICD-behandlingen er relevant hos patienter med tidligere AMI, nedsat venstre ventrikel-funktion, spontan selvlimiterende ventrikulær takykardi (VT) og inducerbar VT, men studierne kan med rette kritiseres, og i Danmark er MADIT-kriterierne ikke blevet generelt anerkendt som indikation for ICD. Overraskende nok ser det ud til, at patienter med dårlig venstre ventrikel funktion har mest gavn af behandlingen. Der er flere store studier på vej til at belyse betydningen af ICD-behandlingen som primær profylakse hos hjerteinsufficienspatienter og patienter med nedsat venstre ventrikelfunktion samt hos patienter med noniskæmisk hjertesygdom.


Natasha G. Roseva-Nielsen, Medicinsk Center, Holbæk Sygehus, DK-4300 Holbæk.

Antaget den 19. september 2002.

Holbæk Sygehus, Medicinsk Center, og

H:S Rigshospitalet, Hjertecentret, Medicinsk Afdeling B.

  1. Dansk Cardiologisk Selskab. Behandling med pacemaker og implanterbar defibrillator. Ugeskr Læger 1999;161(suppl 3).
  2. Nielsen JC, Christiansen EH, Mortensen PT, Pedersen AK. Behandling med implanterbar kardioverter-defibrillator. Ugeskr Læger 1996;158: 1068-72.
  3. A comparison af antiarrhythmic drug therapy with implantable defibrillators in patients resuscitated from near-fatal ventricular arrhythmias. The Antiarrhythmics Versus Implantable Defibrillators (AVID) Investigators. N Engl J Med 1997;337:1576-83.
  4. Packer M. Current role of beta-adrenergic blockers in the management of chronic heart failure. Am J Med 2001;110:81-94.
  5. Siebels J, Kuck K-H, CASH Investigators. Implantable cardioverter defibrillator compared with antiarrhythmic drug treatment in cardiac arrest survivors (the Cardiac Arrest Study Hamburg). Am Heart J 1994;127: 1139-44.
  6. Connolly SJ, Gent M, Roberts RS, Dorian P, Roy D, Sheldon RS et al. The CIDS Investigators. Canadian Implantable Defibrillator Study. Circulation 2000;101:1297-302.
  7. Connolly SJ, Hallstrom AP, Cappato R, Schron EB, Kuck K-H, Zipes DP et al. Meta-analysis of the implantable cardioverter defibrillator secondary prevention trials. AVID, CASH and CIDS studies. Eur Heart J 2000;21: 2071-8.
  8. Betkowski AS, Hauptman PJ. Update on recent clinical trials in congestive heart failure. Curr Opin Cardiol 2000;15:293-303.
  9. Moss AJ, Hall WJ, Cannom DS, Daubert JP, Higgins SL, Klein H et al. Improved survival with an implanted defibrillator in patients with coronary disease at high risk for ventricular arrhythmia. The Multicenter Automatic De-fibrillator Implantation Trial Investigators. N Engl J Med 1996;335:1933-40.
  10. Bigger JT Jr. Prophylactic use of implanted cardiac defibrillators in patients at high risk for ventricular arrhythmias after coronary artery bypass graft surgery. The Coronary Artery Bypass Graft (CABG) Patch Trial Investigato rs. N Engl J Med 1997;337:1569-75.
  11. Bigger JT Jr, Whang W, Rottman JN, Kleiger RE, Gottlieb CD, Namerow PB et al. Mechanisms of death in the CABG Patch trial: a randomised trial of implantable cardiac defibrillator prophylaxis in patients at high risk of death after coronary artery graft surgery. Circulation 1999;99:1416-21.
  12. Buxton AE, Kerry LL, Fisher JD, Josephson ME, Prystowsky EN, Hafley G for the Multicenter Unsustained Tachycardia Trial Investigators. A randomized study of the prevention of sudden death in patients with coronary artery disease. N Engl J Med 1999; 341:1882-90.
  13. Møller M, Haghfelt T. Primær profylaktisk behandling med implanterbar defibrillator hos højrisikopatienter. Ugeskr Læger 2000;162:4160-1.
  14. Gregoratos G, Cheitlin MD, Conill A, Epstein AE, Fellows C, Fergusson TB et al. ACC/AHA guidelines for implantation of cardiac pacemakers and antiarrhythmia devices: a report of the American College of Cardiology/American Heart Association Task Force on Practice Guidelines (Committee on Pacemaker Implantation). J Am Coll Cardiol 1998;31:1175-209.
  15. Bigger JT Jr, Flejss JL, Kleiger RE, Miller JP, Rolnitzky LM. The relationships among ventricular arrhythmias, left ventricular dysfunction, and mortality in the 2 years after myocardial infarction. Multicenter Post-Infarction Research Group. Circulation 1984;69:250-8.
  16. Domanski MJ, Sakseena S, Epstein AE, Hallstrom AP, Brodsky MA, Kim S et al for the AVID Investigators. Relative effectiveness of the implantable cardioverter-defibrillator and antiarrhythmic drugs in patients with varying degrees of left ventricular dysfunction who have survived malignant ventricular arrhythmias. J Am Coll Cardiol 1999;34:1090-5.
  17. Sheldon R, Connolly S, Krahn A, Roberts R, Gent M, Gardner M. Identification of patients most likely to benefit from ICD therapy: the Canadian Implantable Defibrillator Study. The CIDS investigators. Circulation 2000; 101:1660-4.
  18. Moss AJ. Implantable cardioverter defibrillator therapy. Circulation 2000; 101:1638-42.
  19. Klein H, Auricchio A, Reek S, Geller C. New primary prevention trials of sudden cardiac death in patients with left ventricular dysfuntion: SCD-HEFT and MADIT-II. Am J Cardiol 1999;83:91D-97D.

Referencer

  1. Dansk Cardiologisk Selskab. Behandling med pacemaker og implanterbar defibrillator. Ugeskr Læger 1999;161(suppl 3).
  2. Nielsen JC, Christiansen EH, Mortensen PT, Pedersen AK. Behandling med implanterbar kardioverter-defibrillator. Ugeskr Læger 1996;158: 1068-72.
  3. A comparison af antiarrhythmic drug therapy with implantable defibrillators in patients resuscitated from near-fatal ventricular arrhythmias. The Antiarrhythmics Versus Implantable Defibrillators (AVID) Investigators. N Engl J Med 1997;337:1576-83.
  4. Packer M. Current role of beta-adrenergic blockers in the management of chronic heart failure. Am J Med 2001;110:81-94.
  5. Siebels J, Kuck K-H, CASH Investigators. Implantable cardioverter defibrillator compared with antiarrhythmic drug treatment in cardiac arrest survivors (the Cardiac Arrest Study Hamburg). Am Heart J 1994;127: 1139-44.
  6. Connolly SJ, Gent M, Roberts RS, Dorian P, Roy D, Sheldon RS et al. The CIDS Investigators. Canadian Implantable Defibrillator Study. Circulation 2000;101:1297-302.
  7. Connolly SJ, Hallstrom AP, Cappato R, Schron EB, Kuck K-H, Zipes DP et al. Meta-analysis of the implantable cardioverter defibrillator secondary prevention trials. AVID, CASH and CIDS studies. Eur Heart J 2000;21: 2071-8.
  8. Betkowski AS, Hauptman PJ. Update on recent clinical trials in congestive heart failure. Curr Opin Cardiol 2000;15:293-303.
  9. Moss AJ, Hall WJ, Cannom DS, Daubert JP, Higgins SL, Klein H et al. Improved survival with an implanted defibrillator in patients with coronary disease at high risk for ventricular arrhythmia. The Multicenter Automatic De-fibrillator Implantation Trial Investigators. N Engl J Med 1996;335:1933-40.
  10. Bigger JT Jr. Prophylactic use of implanted cardiac defibrillators in patients at high risk for ventricular arrhythmias after coronary artery bypass graft surgery. The Coronary Artery Bypass Graft (CABG) Patch Trial Investigators. N Engl J Med 1997;337:1569-75.
  11. Bigger JT Jr, Whang W, Rottman JN, Kleiger RE, Gottlieb CD, Namerow PB et al. Mechanisms of death in the CABG Patch trial: a randomised trial of implantable cardiac defibrillator prophylaxis in patients at high risk of death after coronary artery graft surgery. Circulation 1999;99:1416-21.
  12. Buxton AE, Kerry LL, Fisher JD, Josephson ME, Prystowsky EN, Hafley G for the Multicenter Unsustained Tachycardia Trial Investigators. A randomized study of the prevention of sudden death in patients with coronary artery disease. N Engl J Med 1999; 341:1882-90.
  13. Møller M, Haghfelt T. Primær profylaktisk behandling med implanterbar defibrillator hos højrisikopatienter. Ugeskr Læger 2000;162:4160-1.
  14. Gregoratos G, Cheitlin MD, Conill A, Epstein AE, Fellows C, Fergusson TB et al. ACC/AHA guidelines for implantation of cardiac pacemakers and antiarrhythmia devices: a report of the American College of Cardiology/American Heart Association Task Force on Practice Guidelines (Committee on Pacemaker Implantation). J Am Coll Cardiol 1998;31:1175-209.
  15. Bigger JT Jr, Flejss JL, Kleiger RE, Miller JP, Rolnitzky LM. The relationships among ventricular arrhythmias, left ventricular dysfunction, and mortality in the 2 years after myocardial infarction. Multicenter Post-Infarction Research Group. Circulation 1984;69:250-8.
  16. Domanski MJ, Sakseena S, Epstein AE, Hallstrom AP, Brodsky MA, Kim S et al for the AVID Investigators. Relative effectiveness of the implantable cardioverter-defibrillator and antiarrhythmic drugs in patients with varying degrees of left ventricular dysfunction who have survived malignant ventricular arrhythmias. J Am Coll Cardiol 1999;34:1090-5.
  17. Sheldon R, Connolly S, Krahn A, Roberts R, Gent M, Gardner M. Identification of patients most likely to benefit from ICD therapy: the Canadian Implantable Defibrillator Study. The CIDS investigators. Circulation 2000; 101:1660-4.
  18. Moss AJ. Implantable cardioverter defibrillator therapy. Circulation 2000; 101:1638-42.
  19. Klein H, Auricchio A, Reek S, Geller C. New primary prevention trials of sudden cardiac death in patients with left ventricular dysfuntion: SCD-HEFT and MADIT-II. Am J Cardiol 1999;83:91D-97D.