Bevidsthedspåvirkning forårsaget af Percheron-infarkt


Mille Caroline Bache1 & Magnus Spangsberg Boesen1, 2
Bevidsthedstab er sjældent ved stroke men kan ses ved blodprop i hjernens bageste hjerneblodcirkulation. Det gælder især ved et Percheron-infarkt, hvor én blodåre forsyner begge paramediane thalami og kan dermed påvirke hjernens vågenhedssystem (arousal/retikulære aktiveringssystem) [1].
En 70-årig mand med atrieflimren, type 2-diabetes, hyperkolesterolæmi og søvnapnø debuterede med akut indsættende svimmelhed, gangbesvær og påvirket afstandsbedømmelse. Han lagde sig til at sove og kunne en time senere ikke vækkes af sine pårørende. Glasgow Coma Scale var otte (ingen øjenåbning, usammenhængende lyde og lokalisation ved smertestimulation) ved ankomst til hospitalet men steg efter få timer til 15 (normal). Blodtryk og CT af cerebrum var normale, ekg viste normofrekvent atrieflimren, og arteriepunktur viste let laktatforhøjelse. Symptomerne blev tolket som epileptiske kramper (postiktal tilstand) eller kardiel lidelse.
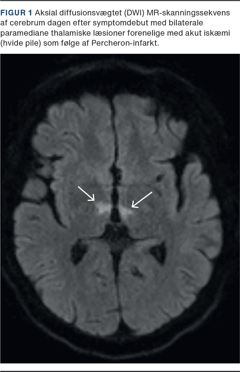
Dagen efter blev han vurderet i trombolyseregi, hvor trombolysevagten fandt dysartri, vertikal blikparese og bilateralt ekstensivt plantarrespons; National Institute of Health Stroke Scale (NIHSS = 7). MR-skanning af cerebrum viste fluid-attenuated inversion-recovery (FLAIR)-positive infarkter i begge thalami og mesencefalon forenelige med et Percheron-infarkt (Figur 1). CT-angiografi var uden storkarsokklusion eller dissektion. Han blev udskrevet til en døgngenoptræningsplads en uge senere og var på dette tidspunkt ikke længere bevidsthedspåvirket men havde fortsat let talebesvær og nedsat overblik.
Bevidsthedstab opstår ved påvirkning af det ascenderende retikulære aktiverende system, enten ved læsion af formatio reticularis bagtil i øvre pons/mesencefalon, begge thalami eller begge hjernehemisfærer [3]. Patienten i sygehistorien havde bevidsthedstab forårsaget af læsion af begge paramediane thalami som følge af iskæmisk stroke i den bageste hjerneblodcirkulation (a. vertebralis/basilaris/cerebri posterior), som forgrener sig til en Percheron-arterie. Dette er atypisk, da stroke oftest kun medfører halvsidige udfald med bevaret bevidsthedsniveau.
Forsyningen af de paramediane thalami varierer anatomisk efter Percherons klassifikation: Type I (56%), hvor hver a. cerebri posterior afgiver sin egen perforant til den ipsilaterale thalamus; Type IIa (12%), hvor begge perforanter afgår separat fra samme a. cerebri posterior; Type IIb (arteria Percheron, 11%), hvor en enkelt stamarterie fra én a. cerebri posterior forsyner begge thalami; og Type III (21%), hvor en arkade mellem de to a. cerebri posteriores afgiver perforanter bilateralt [1]. Percheron-infarkt udgør 0,1-2% af alle strokes, og klassiske symptomer er bevidsthedspåvirkning (koma), vertikal blikparese og hukommelsestab. Andre akutte symptomer fra bageste hjerneblodcirkulation bør øge mistanken, særligt svimmelhed, gangbesvær, hovedpine, binokulært dobbeltsyn, talebesvær, homonym hemianopsi, hemiparese eller hemiforme føleudfald [2, 4, 5]. MR-skanning har højere sensitivitet for infarkter i bageste hjerneblodcirkulation end CT, som ofte er normal ved et Percheron-infarkt [3, 5]. Iskæmiske strokes behandles med trombolyse inden for 4,5 timer efter symptomdebut eller ved wakeup-stroke (når patienten vågner med symptomer, og debuttidspunktet er ukendt), og MR-skanning ikke viser FLAIR-forandringer, og eventuelt med endovaskulær terapi ved storkarsokklusion (< 24 timer). I dette tilfælde fik patienten ikke trombolyse, da tidsfristen var overskredet, og CT-angiografi var uden storkarsokklusion.
Som ved andre iskæmiske strokes ses gradvis bedring, og cirka to tredjedele af patienter med Percheron-infarkt kan klare sig selv i dagligdagen (modified Rankin-score ≤ 2) efter tre måneder [4]. Dog kan neurologiske restsymptomer som hukommelsesbesvær og persisterende blikparese forekomme [4].
Percheron-infarkt er en sjælden årsag til pludselig bevidsthedspåvirkning og ledsages ofte af andre neurologiske udfald [3]. Da initial CT ofte er normal, er MR-skanning afgørende for tidlig diagnose og korrekt behandling [3, 5]. Andre vigtige differentialdiagnoser til bilaterale thalamuslæsioner er top-of-the-basilar-infarkt og venøs okklusion i de dybe cerebrale vener, ligesom epilepsi og forhøjet intrakranielt tryk også bør indgå i den initiale vurdering. Det er vigtigt med en systematisk tilgang til bevidsthedspåvirkede patienter, da det hyppigst forårsages af tilstande med global hjernepåvirkning som forgiftninger, infektioner, elektrolytforstyrrelser og toksiske encefalopatier, f.eks. Wernickes encefalopati [3].
Korrespondance Magnus Spangsberg Boesen. E-mail: magnus.spangsberg.boesen@regionh.dk
Antaget 2. december 2025
Publiceret på ugeskriftet.dk 9. marts 2026
Interessekonflikter ingen. Begge forfattere har indsendt ICMJE Form for Disclosure of Potential Conflicts of Interest. Disse er tilgængelige sammen med artiklen på ugeskriftet.dk
Referencer findes i artiklen publiceret på ugeskriftet.dk
Artikelreference Ugeskr Læger 2026;188:V09250751
doi 10.61409/V09250751
Open Access under Creative Commons License CC BY-NC-ND 4.0
Percheron infarction is a rare stroke subtype caused by a single arterial branch from the posterior cerebral artery supplying both paramedian thalami. In this case, we report a 70-year-old man presenting with sudden impaired consciousness, vertical gaze palsy, and dysarthria. Initial CT head was normal, while MRI confirmed bilateral thalamic and mesencephalic infarcts. This condition should be considered in patients with acute unexplained consciousness disturbance.