Skip to main content

Bilateral fasciitis plantaris efter behandling med azithromycin

Ali Alzubaidi1, 2, Jens Lykkegaard Olesen3 & Lene Dreyer1, 2

28. nov. 2022
5 min.

Patologisk senepåvirkning ved behandling med makrolider er en sjælden, men kendt bivirkning. Påvirkningen kan spænde fra tendinopati til seneruptur, hvor især akillessenen er påvirket [1]. I USA er der enkelte indberetninger til Food and Drug Administration (FDA) omhandlende påvirkning af fascia plantaris, men der findes ingen publicerede videnskabelige undersøgelser [2].

Mekanismen bag tendinopati ved antibiotikabehandling er ukendt, men det er blevet foreslået, at antibiotika kan føre til en opregulering af matrixmetalloproteinase-2 i cellerne i senerne med degradering af type 1-kollagen til følge [3].

I denne sygehistorie beskriver vi et tilfælde af udtalt, bilateral fasciitis plantaris hos en 42-årig mand efter tre dages kur med azithromycin.

SYGEHISTORIE

En 42-årig mand uden tidligere kendte reumatologiske lidelser eller seneproblemer udviklede akut feber, diarré og brystsmerter. Patienten blev henvist af egen læge til akutmodtagelse, hvor biokemiske prøver viste forhøjet CRP-koncentration på 151 mg/l samt forhøjede troponinniveauer.

Grundet mistanke om infektiøs gastroenteritis blev patienten opstartet med peroralt givet azithromycin 500 mg × 3 i tre dage. Han blev ligeledes udredt kardiologisk pga. forhøjede troponin T- og troponin I-niveauer, idet en koronararteriografi var uden sikre tegn på akut myokardieinfarkt. En MR-skanning af hjertet med kontrast viste tegn på myokarditis, der blev behandlet konservativt. Få dage efter opstart af azithromycin udviklede patienten stærke smerter i begge hæle og fodsåler uden forudgående traume eller overbelastning. Smerterne var så udprægede, at han kun kunne gå tågang. Han blev derfor henvist til ambulant udredning på en reumatologisk afdeling, hvor han blev undersøgt for sarkoidose pga. et forhøjet interleukin 2-receptor-niveau.

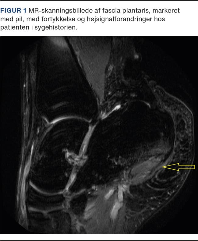
Under udredning blev der udført UL-skanning af fødderne, der viste udtalt, bilateral fasciitis plantaris med betydelig Doppler-aktivitet som tegn på inflammation. Efterfølgende MR-skanning af fødderne viste ligeledes markante forandringer af fascia plantaris (Figur 1) ved tilhæftningen på calcaneus og samtidig knoglemarvsødem ved tuber calcanei. Klinisk og paraklinisk var der ikke holdepunkter for sarkoidose, da PET/CT- og lungefunktionsundersøgelser var normale. Patienten havde ikke hududslæt, artritis eller inflammatoriske rygsmerter og var humant leukocytantigen (HLA)-B27-negativ. Mistanke om underliggende psoriasisartritis eller ankyloserende spondylitis som årsag til symptomerne blev således afkræftet. Patienten ønskede ikke binyrebarkhormoninjektion, så der blev i stedet behandlet med peroralt givet prednisolon. Dette, kombineret med fysioterapeutisk instruks mht. udspændingsøvelser samt indlægssåler, gav reduktion af symptomerne.

En revurdering efter seks måneder grundet fortsatte smerter og kompromitteret gangfunktion viste fortsat tydelig, bilateral fasciitis plantaris ved UL-skanning. Konservativ behandling blev fastholdt, og efter nogle måneder var der fremgang i form af smertereduktion samt normalisering af gang med mulighed for belastning på flad fod. To år senere var der imidlertid fortsat daglige smerter, men patienten kunne genoptage sit fysisk krævende arbejde.

DISKUSSION

Casen belyser vigtigheden af at medtænke andre årsager til fasciitis plantaris og andre tendinopatier end overbelastning af vævet. Systemiske årsager til tendinopati kan eksempelvis være reumatiske lidelser (psoriasisartritis, reaktiv artritis og aksial artritis) og medicinske sygdomme (adipositas, diabetes mellitus, kronisk nyresvigt og forhøjet kolesterolniveau). Endelig er antibiotika en dokumenteret årsag til tendinopati og seneruptur, særligt fluoroquinoloner (ciprofloxacin, ofloxacin og levofloxacin) og i mindre grad makrolider (azithromycin) [4, 5]. FDA rapporterer, at cirka 0,25% af tilfælde med akillesseneruptur skyldes en bivirkning til azithromycin [2]. Sandsynligvis er tendinopati i forbindelse med behandling med azithromycin underraporteret, og fokus er mest rettet mod fluoroquinoloner og risikoen for akillesseneruptur.

Latensperioden mellem opstart af antibiotikabehandlingen og udvikling af tendinopati spænder mellem timer og måneder med et gennemsnit på seks dage, og hos 25% vil tilstanden blive kronisk [5]. Hos patienter med tendinopati er det vigtigt at tage højde for både objektiv undersøgelse og grundig anamnese, herunder oplysninger om seneoverbelastning, hududslæt, ryg- og ledsymptomer samt antibiotikaeksponering. Ved fravær af forudgående overbelastning og samtidig bilateral affektion bør anden genese end vævsoverbelastning overvejes. Vi har ikke kendskab til andre studier om azithromycininducereret fasciitis plantaris og ønsker derfor at øge opmærksomheden på antibiotikainducerede seneskader.





Korrespondance Ali Alzubaidi. E-mail: alizubaidy13@gmail.com

Antaget 27. oktober 2022

Publiceret på ugeskriftet.dk 28. november 2022

Interessekonflikter Der er anført potentielle interessekonflikter. Forfatternes ICMJE-formularer er tilgængelige sammen med artiklen på ugeskriftet.dk

Referencer findes i artiklen publiceret på ugeskriftet.dk

Artikelreference Ugeskr Læger 2022;184:V05220303

Summary

Bilateral plantar fasciitis after azithromycin treatment

Ali Alzubaidi, Jens Lykkegaard Olesen & Lene Dreyer

Ugeskr Læger 2022;184:V05220303

Tendinopathy is considered an overuse syndrome which usually results from excessive loading of the tendon during vigorous training activity. There are, however, various causes of this condition other than mechanical causes. This is a case report, in which a 42-year-old male suffered from bilateral plantar fasciitis after treatment with azithromycin for gastroenteritis. Azithromycin-induced tendinitis is a rare side effect, but it is important to know about this and other non-mechanical causes of tendinopathy, and to distinguish them from common mechanical causes in order to optimize treatment.

Referencer

Referencer

  1. Wilton LV, Pearce GL, Mann RD. A comparison of ciprofloxacin, norfloxacin, ofloxacin, azithromycin and cefixime examined by observational cohort studies. Br J Clin Pharmacol. 1996;41(4):277-84. DOI: 10.1046/j.1365-2125.1996.03013.x.

  2. Azithromycin and plantar fasciitis - a phase IV clinical study of FDA data. www.ehealthme.com/ds/azithromycin/plantar-fasciitis/ (10. feb 2022).

  3. Bisaccia DR, Aicale R, Tarantino D et al. Biological and chemical changes in fluoroquinolone-associated tendinopathies: a systematic review. Br Med Bull. 2019;130(1):39-49. DOI: 10.1093/bmb/ldz006.

  4. Tu P. Heel pain: diagnosis and management. Am Fam Physician. 2018;97(2):86-93.

  5. Kim GK. The risk of fluoroquinolone-induced tendinopathy and tendon rupture: what does the clinician need to know? J Clin Aesthet Dermatol. 2010;3(4):49-54.