Skip to main content

Biologisk behandling af sjældne inflammatoriske reumatiske sygdomme

Overlæge Bo Baslund Rigshospitalet, Reumatologisk Klinik TA

6. jun. 2008
6 min.

For visse sjældne inflammatoriske sygdomme som Wegeners granulomatose (WG) og systemisk lupus erythematosus (SLE) indebærer behandlingen i mange tilfælde ud over prednisolon anvendelsen af cyclophosphamid (CYC). Selv om denne kombination har medført store forbedringer i overlevelsen, er behandlingen også forbundet med toksicitet, herunder risiko for infektioner, malignitet og gonadedysfunktion. Der er således behov for nye behandlingsprincipper. Som for mange andre inflammatoriske sygdomme såsom reumatoid artritis (RA) og psoriasis er behandling med monoklonale antistoffer blevet benyttet. Da der er tale om sjældne sygdomme, er det meget vanskeligere at etablere kontrollerede undersøgelser ved dem end f.eks. ved RA. Nedenfor er der valgt tre sygdomme, hvor der er foretaget flest undersøgelser, og hvor prospektive kontrollede forsøg er i gang. En oversigt over mindre undersøgte, sjældne, reumatiske sygdomme kan ses i [1].


Adult onset still disease

Adult onset still disease (AOSD) er karakteriseret ved springende høj feber, forbigående hududslæt, hævede lymfekirtler og artritis. Sygdommen er ofte forudgået af smerter i halsen og er i øvrigt forbundet med et højt leukocyttal og evt. meget forhøjet P-ferritin. Men der findes ingen diagnostisk test, der er tale om en udelukkelsesdiagnose.

Normalt er der hos AOSD-patienter et godt respons på prednisolon, som ofte gives i kombination med methotrexat (MTX). Hos de patienter, hvor denne behandling svigter, har man forsøgt med biologisk medicin. Immunologiske undersøgelser har vist, at tumornekrosefaktor (TNF), interleukin (IL)-1, IL-6 og IL-18 synes at spille en stor rolle ved denne sygdom [2]. De tre anti-TNF-medikamenter, som p.t. findes på markedet, har været forsøgt anvendt i mindre, åbne forsøg sammen med MTX og prednisolon. Succesraten i form af remission har været svingende idet 25-100% har opnået remission. Anakinra er en IL1-receptor-antagonist, som oprindeligt blev udviklet til behandling af patienter med RA, men som har vist sig ikke at virke i tilstrækkeligt omfang ved denne sygdom. I mindre studier har man påvist godt effekt hos patienter med AOSD [3], også de patienter, hos hvem anti-TNF-behandlingen har svigtet. Anakinra har en meget kort halveringstid og skal derfor gives med 24 timers intervaller ± et par timer. Der er nu i Skandinavien kontrollerede forsøg i gang med dette præparat til behandling af AOSD.

Wegeners granulomatose

WG er en systemisk vaskulitis, som kan ramme alle organer, men som i den klassiske form primært rammer de øvre og nedre lufteveje samt nyrerne. Ubehandlet er etårsoverlevelsen ekstremt lav. Behandling med CYC sammen med prednisolon ændrede i 1970'erne i høj grad prognosen for WG, og flertallet overlever i dag. Ca. halvdelen af patienterne vil opleve, at sygdommen komme igen, hos nogle op til flere gange. Da toksiciteten af CYC er tæt forbundet med mængden, der gives, og med behandlingsvarigheden, er der behov for medicin, som kan supplere eller erstatte CYC.

MTX og azathioprin kan ofte anvendes som vedligeholdende behandling, når der er induceret remission efter CYC-behandling, men nogen standardbehandling herfor eksisterer ikke.

Der foreligger en randomiseret, placebokontrolleret undersøgelse af effekten af etanercept (anti-TNF-effekt, men der er tale om et fusionsmolekyle, ikke et monoklonalt antistof) ved WG, idet patienterne blev behandlet med CYC og prednisolon først. På tidspunktet, hvor sygdommen var bragt i ro, blev alle patienter behandlet med MTX (n = 181). Den ene gruppe (n = 89) blev endvidere behandlet med etanerceptinjektioner to gange ugentligt. På opgørelsestidspunktet - 12 måneder efter randomisering - var der ingen forskel mellem de to grupper, specielt ikke hvad angik bevarelse af remission [4].

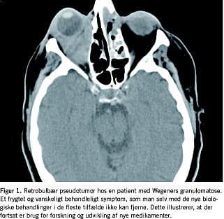
Anti-CD20-antistofbehandling af WG har været forsøgt mange steder, og anvendelsen af anti-CD20-antistoffer er beskrevet i flere mindre studier af retrospektiv og åben karakter. I alle studierne er der rapporteret om god effekt, og der er nu iværksat et internationalt prospektivt forsøg. Forhåbentlig kan dette være med til at definere, hvilke patienter med denne sygdom som responderer, idet resultater fra de mindre studier tyder på, at patienter med især retroorbitale manifestationer ikke havde behandlingsrespons med denne medicin [5, 6] (Figur 1).

Systemisk lupus erythematosus

B-celler, autoantistoffer og immunkomplekser spiller en stor rolle i SLE-patogenesen. Et af problemerne er blandt andet hyperaktive B-celler. Det er derfor naturligt at reducere mængden af B-celler, ved at give anti-CD20. Dette har indtil videre været forsøgt i mindre studier, og man har påvist god effekt hos en del af patienterne. Hos patienter, hvor behandlingen har virket, men hvor der efterfølgende er kommet fornyet sygdomsaktivitet 12-24 måneder efter første behandling, har gentagelse af behandlingen også haft positiv effekt.

Tidligere forsøg med et antistof rettet mod CD154, som hindrer binding til CD40, hvorved stimulationen og vækst af bl.a. B-celler hæmmes, har måttet opgives. Et forsøg viste ingen effekt, og et andet viste uacceptabelt mange bivirkninger, primært et øget antal trombotiske episoder. Det har dog ikke mindsket interessen for at dæmpe B-celle-aktiviteten uden anvendelse af det celledræbende anti-CD20. B-lymfocyt-stimulator (BLYS) er et cytokin, som frigives fra T-celler med henblik på at stimulere B-celle-udvikling og -differentiering til plasmaceller. Der er i øjeblikket flere igangværende studier med anvendelse af anti-BLYS hos SLE-patienter.

Hos nogle ganske få RA-patienter, som behandles med anti-TNF, kan der ses udvikling af en SLE-lignende tilstand, som dog forsvinder igen ved ophør med behandlingen. Det har imidlertid medført bekymring med hensyn til at benytte anti-TNF hos SLE-patienter. Det anvendes dog i dag, særlig hos patienter hvor artritis er den dominerende kliniske tilstand. Der er dog også en undersøgelse i gang med anvendelse af anti-TNF hos patienter med svær lupus nefritis. Herudover er der også et forsøg i gang med anti-IL6, og faktisk er der p.t. så mange kliniske afprøvninger undervejs vedrørende SLE, herunder også med monoklonale antistoffer, at der er rejst bekymring om, hvorvidt der kan rekrutteres nok patienter til at nå endepunkterne i studierne [7].

Afslutning

Ovenfor er der givet eksempler på de bedst undersøgte, sjældne sygdomme, hvad angår behandling med biologisk medicin. Som anført indledningsvis mangler der kontrollerede undersøgelser, men de er på vej. For disse sygdomme såvel som for andre, hvor biologisk medicin anvendes, er der fortsat mange ubesvarede spørgsmål, såsom hvilken risiko der er for langtidsbivirkninger, og hvilke patienter som skal have behandlingen. Det bliver nødvend igt med en bedre subgruppering af patienterne med henblik på at definere, hvilke typer af monoklonale antistoffer de enkelte patienter skal have. Ideelt set skulle vi gerne komme dertil, at vi foretager immunmodulation frem for immunsuppression.


Bo Baslund , Reumatologisk Klinik TA, Rigshospitalet, DK-2100 København Ø. E-mail: bbaslund@gmail.com

Antaget: 23. april 2008

Interessekonflikter: Ingen

Summary

Summary Biological treatment of rare inflammatory rheumatic diseases Ugeskr Læger 2008;170(24):2150-2152 The current status for on the use of biological medicine in the treatment of Adult onset Morbus Still, Wegeners granulomatosis and Systemic lupus erythematosus is reviewed. The need for controlled trials is emphasized. Anti-CD20 treatment for SLE patients with kidney involvement and patients with Wegeners granulomatosis seems promising. Anti-TNF and IL1 receptor antagonist can control disease activity in most patients with Adult Morbus Still.

Referencer

  1. Furst DE, Breedveld FC, Kalden JR et al. Updated consensus statement on biological agents for the treatment of rheumatic diseases, 2006. Ann Rheum Dis 2006;65(suppl 3):iii2-15.
  2. Efthimiou P, Kontzias A, Ward CM et al. Adult-onset Still's disease: can recent advances in our understanding of its pathogenesis lead to targeted therapy? Nat Clin Pract Rheumatol 2007;3:328-35.
  3. Fitzgerald AA, Leclercq SA, Yan A et al. Rapid responses to anakinra in patients with refractory adult-onset Still's disease. Arthritis Rheum 2005;52:1794-803.
  4. The Wegener's Granulomatosis Etanercept Trial (WGET) Research Group. Etanercept plus standard therapy for Wegener's granulomatosis. N Engl J Med 2005;352:351-61.
  5. Brihaye B, Aouba A, Pagnoux C et al. Adjunction of rituximab to steroids and immunosuppressants for refractory/relapsing Wegener's granulomatosis: a study on 8 patients. Clin Exp Rheumatol 2007;25(suppl 44):S23-7.
  6. Walsh M, Jayne D. Rituximab in the treatment of anti-neutrophil cytoplasm antibody associated vasculitis and systemic lupus erythematosus: past, present and future. Kidney Int 2007;72:676-82.
  7. Isenberg D, Rahman A. Systemic lupus erythematosus - 2005 annus mirabilis? Nat Clin Pract Rheumatol 2006;2:145-52.