Skip to main content

Boerhaaves syndrom kan være en sjælden årsag til trykpneumothorax

Kirsten Brændholt Rasmussen & Mette Charlotte Grove Medicinsk Afdeling, Roskilde Sygehus

14. sep. 2012
5 min.

Spontan ruptur af øsofagus (Boerhaaves syndrom) blev første gang beskrevet af Hermann Boerhaave i 1724 [1]. Det forekommer typisk efter voldsom opkastning [1]. I op til en tredjedel af tilfældene er symptomerne atypiske, hvilket ofte medfører forsinkelse af diagnosen. Differentialdiagnoserne er mange (Tabel 1 ). Mediastinitis og sepsis er hyppige komplikationer, der kan sløre diagnosen. Mortalitetsraten er ved behandling 34% og ubehandlet næsten 100% [2]. Hurtig diagnose er afgørende for overlevelsen. Der er kun sjældent rapporteret om spontan trykpneumothorax som debutsymptom [3, 4].

SYGEHISTORIE

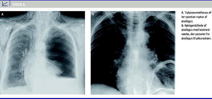
En 75-årig kvinde, der tidligere stort set havde været rask, blev indlagt akut med åndenød. Hun var ikkeryger, men havde tidligere fået diagnosticeret let astma. Ved indlæggelse havde hun dyspnø, havde hostet i en uge og havde haft smerter nedadtil på thorax' bagside ved dyb inspiration. Der havde ikke været nogen forudgående traumer eller opkastninger. Objektivt set var hun relativt upåvirket, hun var afebril, havde let hviledyspnø og en iltsaturation på 94%. Der var nedsat luftskifte bag på venstre thoraxhalvdel. En røntgenundersøgelse af thorax viste total venstresidig pneumothorax med overskydning af mediastinum mod højre, subkutant emfysem og lidt pleuravæske (Figur 1 ). Der blev straks anlagt Portexdræn 16 F i den forreste aksillærfold, og drænet fungerede med rigelig luft. Pneumothorax aftog, men pleuraansamlingen tiltog, hvorfor der blev skiftet til et tykkere dræn samt tilkoblet vandlås og sug. På mistanke om empyem og begyndende sepsis blev patienten sat i behandling med cefuroxim og metronidazol. Herefter blev der i de næste to døgn udtømt over 6 l stærkt plumret væske. Koncentrationen af C-reaktivt protein steg fra initialt 84 til 602 mg/l (referenceværdi: 0-8 mg/l). Dyrkning af pleuravæske viste vækst af tarmbakterier (bl.a. Citrobacter freundii ), hvorfor man skiftede antibiotika til piperacillin/tazobactam. Efter forbigående blodtryksfald, atrieflimren og konfusion bedredes patienten efter at have fået intravenøs væske og være blevet behandlet med digitalisglykosider. På mistanke om perforation fra mave-tarm-kanalen til pleura blev der foretaget en computertomografi af thorax suppleret med en røntgenundersøgelse af øsofagus, hvorved der blev påvist perforation af venstre side af øsofagus lige over diafragma med passage af kontrastvæske til pleuradrænet. På mistanke om Boerhaaves syndrom blev patienten overflyttet til thoraxkirurgisk afdeling. Ved overflytningen var hun relativt upåvirket og havde stabile blodværdier. Under den efterfølgende operation blev der konstateret benign ruptur af den distale øsofagus, hvorefter der blev anlagt en stent. Desuden blev der foretaget dekortikering af venstre pleura og spaltning af pleura parietale for at sikre afløb af pus fra mediastinum til pleurahulen. Efterforløbet var kompliceret, og mors indtrådte 19 dage efter primærindlæggelsen.

DISKUSSION

Boerhaaves syndrom er en sjælden tilstand, der oftest ses hos mænd i 50-60-års-alderen. Det forekommer typisk efter voldsom opkastning, hoste eller andre tilstande, hvorved der opstår et pludseligt øget intraabdominalt tryk. Defekten ses hyppigst i den distale venstre side af øsofagus og medfører intense smerter i thorax eller øvre abdomen med udstråling til ryggen, epigastriet eller skulderen, hvorfor mange differentialdiagnoser må overvejes (Tabel 1).

Rupturen medfører udsivning af luft og gastrointestinalt indhold til mediastinum og evt. pleurahulen, hvilket forårsager kemisk og bakteriel mediastinitis, septikæmi og empyem. Desuden ses der varierende grader af pneumothorax samt subkutant og mediastinalt emfysem.

Spontan trykpneumothorax er en sjælden, men livstruende tilstand, der kræver akut diagnostik og drænering. Patienten i sygehistorien havde relativt beskedne symptomer uden anamnestisk opkastning eller betydende hoste. Det understreger vigtigheden af akut røntgenundersøgelse af thorax ved enhver form for pulmonale og torakale symptomer. Initialt havde patienten en ganske lille pleuraeffusion, men siden var der voldsom produktion af purulent væske kombineret med vækst af fækale bakterier, hvilket medførte mistanke om perforation af gastrointestinalkanalen. Efterfølgende kunne man ved en røntgenkontrastundersøgelse stille diagnosen øsofagusperforation. At patienten ikke havde haft forudgående opkastninger eller andre disponerende faktorer, som f.eks. alkoholisme, er usædvanligt, ligesom trykpneumothorax som initial manifestation af syndromet kun er beskrevet få gange [3, 4]. Derimod ses der ofte varierende grader af hydropneumothorax med subkutant emfysem i forløbet [2, 5]. Hurtig behandling med drænering af pleura og bredspektrede antibiotika, væske- og ernæringsterapi, kirurgisk intervention med sutur og stentning af øsofagus samt oprensning og drænering af mediastinum og pleura kan være livreddende [2].

src="/LF/images_ufl/ufl_bla.gif">
Kirsten Brændholt Rasmussen , Medicinsk Afdeling, Roskilde Sygehus, Køgevej 7, 4000 Roskilde. E-mail: kbrm@regionsjaelland.dk

ANTAGET: 15. marts 2012

FØRST PÅ NETTET: 23. april 2012

INTERESSEKONFLIKTER: ingen

  1. Boerhaave H. Atrocis, nec descripti prius, morbis historia: secundum medicae artis leges conscripta. Lugduni Batavorum; Ex officine Boutesteniana, 1724.
  2. de Schipper JP, Pull ter Gunne AF, Oostvogel HJ et al. Spontaneous rupture of the oesophagus. Dig Surg 2009;26:1-6.
  3. Onyeka WO, Booth SJ. Boerhaave's syndrome presenting as tension pneumothorax. J Accid Emerg Med 1999;16:235-6.
  4. Doherty S. Boerhaave's syndrome complicated by tension pneumothorax. Emerg Med 1996;8:25-8.
  5. Schledermann DE, Vad H. Boerhaaves syndrom - en livstruende tilstand, som ofte diagnosticeres for sent. Ugeskr Læger 2 004;166:4486.

Summary

Summary Boerhaave's syndrome can be a rare cause of tension pneumothorax Ugeskr Læger 2012;174(38):2235-2236 We report a case of tension pneumothorax as an initial symptome caused by spontaneous rupture of the distal oesophagus (Boerhaave's syndrome). Prompt recognition of this potentially lethal syndrome is essential. The best way to diagnose the syndrome is by performing an oesophagram.

Referencer

  1. Boerhaave H. Atrocis, nec descripti prius, morbis historia: secundum medicae artis leges conscripta. Lugduni Batavorum; Ex officine Boutesteniana, 1724.
  2. de Schipper JP, Pull ter Gunne AF, Oostvogel HJ et al. Spontaneous rupture of the oesophagus. Dig Surg 2009;26:1-6.
  3. Onyeka WO, Booth SJ. Boerhaave's syndrome presenting as tension pneumothorax. J Accid Emerg Med 1999;16:235-6.
  4. Doherty S. Boerhaave's syndrome complicated by tension pneumothorax. Emerg Med 1996;8:25-8.
  5. Schledermann DE, Vad H. Boerhaaves syndrom - en livstruende tilstand, som ofte diagnosticeres for sent. Ugeskr Læger 2004;166:4486.