Bør man screene patienter med mb. Osler for cerebrale arteriovenøse malformationer?


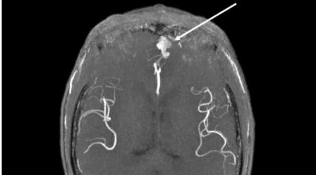
Mb. Osler eller hereditær hæmoragisk telangiektasi (HHT) er en autosomal dominant arvelig sygdom, hvor en af manifestationerne er arteriovenøse malformationer i lunger, hjerne og lever. Statusartiklen af Simonsen et al gennemgår blødningsrisiko og behandlingsmuligheder ved cerebrale arteriovenøse malformationer ved HHT og diskuterer indikation for screening hos patienter uden neurologiske symptomer. Forfatterne konkluderer, at patienter bør informeres grundigt om spontan blødningsrisiko samt behandlingsmuligheder og -komplikationer før en eventuel screening med MR-skanning af cerebrum iværksættes.
Læs statusartikel
Screening for cerebrale arteriovenøsemalformationer ved mb. Osler
Simon Kjær Simonsen, Troels Halfeld Nielsen, Rikke Beese Dalby et al