Skip to main content

Screening for cerebrale arteriovenøsemalformationer ved mb. Osler

Simon Kjær Simonsen1, Troels Halfeld Nielsen2, Rikke Beese Dalby3, Annette Dam Fialla4, Bibi Lange5, Pernille Mathiesen Tørring6, Anabel Diaz7 & Anette Drøhse Kjeldsen5

17. maj 2021
12 min.

Mb. Osler eller hereditær hæmoragisk telangiektasi (HHT) er en autosomal dominant arvelig sygdom med en estimeret prævalens i Danmark på 1/6.400 [1]. Sygdommen bevirker karforandringer i flere organsystemer, og mukokutane telangiektasier, hvor epistaxis er et fremtrædende symptom, samt arteriovenøse malformationer (AVMs), særligt i lunger, hjerne og lever, er karakteristiske. [2] AVMs er kongenitte anomalier i karrene, hvilket gør direkte forbindelse mellem arterier og vener mulig [3]. Størstedelen af de sygdomsfremkaldende varianter er beliggende i de to gener ENG og ACVRL1, svarende til hhv. HHT-type 1 (HHT1) og HHT-type 2 (HHT2) [2]. Derfor er det muligt at gennemføre gentest ved mistanke om HHT. Der er klinisk mistanke om HHT ved to af fire opfyldte Curaçao-kriterier [4].

Fakta

Hovedbudskaber

Når en patient får stillet diagnosen HHT, kan der screenes for vaskulær patologi hos patienten og dennes familie. Internationale guidelines fra 2011 [5] og 2020 [6] omfatter håndteringen af pulmonale arteriovenøse malformationer (PAVMs) og cerebrale arteriovenøse malformationer (CAVMs), og mens der er stor ekspertenighed om screening for PAVMs, anbefaler man i guidelines screening med lavest mulige anbefalingsgrad og evidensstyrke for CAVMs hos patienter med neurologisk asymptomatisk HHT. For patienter, der har HHT med oplagte neurologiske symptomer (herunder hovedpine, kramper og fokale neurologiske udfald), er der enighed om, at undersøgelse for CAVMs altid er relevant, mens en eventuel behandling hviler på en individuel risikovurdering [7].

I Nordamerika følger og støtter man fortsat screeningsanbefalingerne fra guidelines [6, 8, 9], mens man i de fleste europæiske lande ikke screener patienter med neurologisk asymptomatisk HHT [7]. Ved overvejelse om screening bør man reflektere over risikoen ved invasiv behandling i forhold til risikoen for spontan blødning.

Med denne artikel ønsker vi at undersøge neurobiologi, blødningsrisiko og behandlingsmuligheder ved HHT-CAVMs med henblik på at diskutere, om screening for CAVMs blandt patienter med neurologisk asymptomatisk HHT ved hjælp af MR-skanning af cerebrum og efterfølgende intervention kan forhindre cerebral skade, herunder hjerneblødning, samt hvad dette giver af perspektiv for/imod screening af patienter med HHT i Danmark.

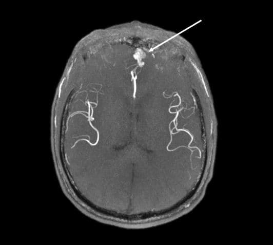
Asymptomatisk cerebral arteriovenøs malformation (pil) hos en 69-årig patient med hereditær hæmoragisk telangiektasi. Gengivet med tilladelse fra patienten.

SCREENING FOR CEREBRALE ARTERIOVENØSE MALFORMATIONER

Formålet med screening er at reducere fremtidig sygdom hos den enkelte patient, som deltager i screeningen [7].

Førstevalg ved screening for CAVMs er MR-skanning af cerebrum uden intravenøs kontrast, hvor en typisk protokol vil indeholde en T1-vægtet sekvens, en T2-fluid-attenuated inversion recovery-sekvens, en diffusionsvægtet sekvens, en T2-vægtet sekvens med tynde snit og en såkaldt susceptibilitetsvægtet sekvens, som er særligt sensitiv for blodprodukter, samt en MR-angiosekvens (time of flight angiography). MR-skanning af cerebrum er generelt en sikker, ikkeinvasiv undersøgelsesmodalitet til screening for non-HHT-CAVMs, og sensitiviteten er opgjort til at være 80-95% for mellemstore CAVMs; man har endnu ikke i nogen studier påvist sensitivitet særligt for HHT-CAVMs [5].

Ved kontraindikationer for MR-skanning kan der foretages en CT af cerebrum med angiografi efter intravenøs indgift af kontrast i arteriel og evt. venøs fase. Diagnosen bekræftes ved kateterbaseret digital subtraktionsangiografi, som er guldstandard til nærmere karakterisering af CAVMs mht. antal fødearterier og den venøse drænage, som har betydning for valg af evt. behandling.

KARAKTERISTIK AF HEREDITÆR HÆMORAGISK TELANGIEKTASI-CEREBRALE ARTERIOVENØSE MALFORMATIONER OG SAMMENLIGNING MED CEREBRALE ARTERIOVENØSE MALFORMATIONER I BAGGRUNDSBEFOLKNINGEN

Før man overvejer screening og/eller intervention ved HHT-CAVMs, er nærmere kendskab til disse altafgørende. CAVMs hos patienter med HHT kan inddeles i tre subtyper: nidaltypen (62,3%), mikro-AVMs (23,9%) og arteriovenøse fistler (AVFs) (10,7%) [9]. Nidaltypen er en regulær arteriovenøs forbindelse med en mellemliggende nidus. Mikro-AVMs er i litteraturen også refereret til som kapillære malformationer eller kapillære telangiektasier og er anset som den mest benigne subtype af HHT-CAVMs, idet der ikke er rapporteret om blødningstilfælde ved denne undertype [8]. AVFs manifesterer sig oftest hos børn og er her forbundet med en generelt dårligere prognose end hos voksne [10]. Desuden ses der udviklingsmæssige venøse anomalier og kavernøse malformationer hos patienter med HHT, men disse malformationer anses for at være forandringer med en meget lav blødningsrate [7]. Endelig ses CAVM-multiplicitet blandt hele 42% af patienterne med HHT [9].

Graderingen af HHT-CAVMs sker ligesom for non-HHT-CAVMs med Spetzler-Martin-graderingssystemet [11] (Tabel 1).

HHT-CAVMs adskiller sig på flere væsentlige punkter fra non-HHT-CAVMs (Tabel 2). Den samlede prævalens af CAVMs blandt patienter med HHT er således opgjort til 10,4%, fordelt med 13,4% hos patienter med HHT1 og 2,4% hos patienter med HHT2. For patienter uden HHT er prævalensen blot 0,65% [7]. Størstedelen af HHT-CAVMs-tilfældene er Spetzler-Martin grad 2 eller mindre og ikke udelukkende af nidal undertype (Tabel 2) [9]. Endelig gælder for patienter med HHT, at der ofte ses multiple CAVMs hos samme patient, hvilket er meget sjældent hos patienter uden HHT [9].

BLØDNINGSRISIKO VED HEREDITÆR HÆMORAGISK TELANGIEKTASI-CEREBRALE ARTERIOVENØSE MALFORMATIONER

Vi har blot identificeret tre studier [12-14] på verdensplan, hvor man kvantificerer den årlige blødningsrisiko for CAVMs hos patienter med HHT (blødning pr. patientår) (Tabel 3). Fælles for disse studier er, at der er tale om små followupstudier eller retrospektive kohortestudier med blot 1-5 blødningstilfælde fordelt på 149-749 patientår. Kun i ét af studierne [12] anføres undertyper og gradering af CAVMs, og den neuroradiologiske status af patienternes CAVMs i de to andre studier kendes ikke. Det kan således ikke udelukkes, at Yang et al [14] og Kim et al [15] inkluderer de fredelige mikro-AVMs og derved underestimerer blødningsrisikoen for HHT-CAVMs af nidaltype.

Den hyppige præsentation af multiple CAVMs hos patienter med HHT komplicerer analyseprocessen, og i to af studierne fra Tabel 3 [12, 14] valgte man at rapportere en blødningsrisiko pr. læsion for HHT-CAVMs. Denne risiko er vanskelig at fortolke, da det neuroradiologisk kan være svært at skelne mellem flere små CAVMs i umiddelbar nærhed af hinanden fra én CAVM med flere kamre [14].

Kombinationen af et lille datasæt, hyppig præsentation af multiplicitet samt ukendt neurobiologi i to ud af tre studier hæmmer den eksterne validitet og vanskeliggør muligheden for at finde den reelle blødningsrisiko. Alt andet lige tyder ovenstående data dog på en årlig blødningsrisiko for patienter med HHT med CAVMs på 0,667-1,014% [12-14], hvilket er væsentligt lavere, end hvad man har rapporteret for non-HHT-CAVMs i større metaanalyser (2,3-3,0%) [15-17]. Der findes p.t. ingen studier, hvor man direkte sammenligner risikoen for CAVM-blødning hos patienter med HHT med risikoen hos patienter uden HHT.

BEHANDLINGSMULIGHEDER OG KOMPLIKATIONER

Pga. utilstrækkelig litteratur om behandlingsmuligheder hos neurologisk asymptomatiske patienter med HHT er der ingen standardiseret behandlingsalgoritme [18]. Derfor suppleres der med erfaringer fra non-HHT-CAVMs, som er væsentligt bedre undersøgt.

Der eksisterer i dag tre anerkendte behandlingsmuligheder for CAVMs: (mikro)kirurgi, stereotaktisk radiokirurgi og embolisering, desuden benyttes konservativ behandling (observation). For nuværende er der ikke konsensus om valget af behandlingsmodalitet [3]. Generelt er mikrokirurgi (med eller uden forudgående embolisering) foretrukket ved mindre CAVMs, som ikke sidder i nærheden af centre for sprog, motorik eller sensorik, hvor radiokirurgi er foretrukket [19]. Risikoen ved interventionel behandling af CAVMs skal altid balanceres mod risikoen ved konservativ behandling. I Tabel 4 opsummeres svære behandlingskomplikationer (permanente neurologiske udfald eller død) på tværs af tre interventionsmuligheder samt succesraten for behandling af non-HHT-CAVMs.

Kun i ét mindre studie [18] har man sammenlignet en kohorte af opererede og en kohorte af konservativt behandlede patienter med HHT-CAVMs og vurderet patienternes langtidsfunktionsniveau. Konklusionen her er, at der ikke er signifikant klinisk forskel på de to grupper målt på funktionsniveau i form af modified Rankin scale-score i followupperioden.

Den europæiske samarbejdsorganisation for sjældne vaskulære sygdomme (VASCERN) har i 2020 evalueret screening- og behandlingsmuligheder for HHT CAVMs [7]. For patienter med HHT uden neurologiske symptomer anbefaler man grundig information om fordele og ulemper ved en screening, inden denne eventuelt udføres. Der lægges vægt på formidlingen af, at behandlingen af asymptomatiske CAVMs er forbundet med ikkenegligerbare behandlingskomplikationer, og at disse vaskulære malformationer uden behandling måske aldrig havde givet symptomer.

Således anbefaler man ikke rutinemæssig screening af patienter med neurologisk asymptomatisk HHT. Beslutningen hviler på konklusionerne fra to studier, hvor man ikke inkluderede patienter med HHT: Det europæiske samarbejde om CAVMs [19], hvor det dog anføres, at særligt ung alder og lav Spetzler-Martin-gradering taler for intervention, og ARUBA-studiet [23], hvor man ikke har inkluderet patienter med HHT, er blevet kritiseret for ikke at forholde sig til patienter med lav Spetzler-Martin-gradering af CAVMs, som normalt er de bedste operationskandidater [18].

Det er derfor forbundet med flere forbehold at tolke på resultaterne fra non-HHT-studier og bruge dem på HHT-CAVMs, hvor 81% af patienterne har Spetzler-Martin grad 1-2 [9].

ETISKE OVERVEJELSER

Foruden ovenstående diskussion om blødningsrisiko versus behandlingskomplikationer indgår patienten, dennes forståelse og individuelle situation i kompleksiteten af screeningsspørgsmålet.

Således kan det fylde ganske meget for patienten at gå med en viden om at have HHT, som markant øger risikoen for at have én eller flere CAVMs og deraf højere blødningsrisiko end baggrundsbefolkningen. Omvendt kan en CAVM også være symptomløs hele livet igennem.

Eventuel screening kan give vished og ro for den store andel af patienterne, som får CAVM afkræftet. Omvendt vil klinikeren for de patienter, som får påvist CAVMs, ofte stå med endnu større kommunikative udfordringer, idet patienternes bekymringer forstærkes.

En særlig patientgruppe er gravide patienter med HHT. I den opdaterede guideline for håndtering og behandling af HHT [6] fra 2020 er der øget fokus på denne patientgruppe, mens risikoen for brist af CAVM ved graviditet og fødsel endnu ikke er belyst [24].

På HHT-Center ved Odense Universitetshospital, der har landsfunktion, udspørges alle patienter med HHT om neurologiske symptomer og anbefales skanning, hvis de har symptomer. Patienter uden neurologiske symptomer informeres om muligheden for screening og hyppigheden af CAVMs i forhold til HHT-type, spontan blødningsrisiko samt behandlingsmuligheder og -komplikationer.

KONKLUSION

Håndteringen af CAVMs hos patienter med HHT er fortsat omdiskuteret og en udfordring for klinikere, som har med HHT-CAVMs at gøre. Vores gennemgang af litteraturen leder til følgende konklusioner: 1) HHT-CAVMs adskiller sig betydeligt fra non-HHT-CAVMs, særligt med hensyn til størrelse, type og multiplicitet. Således er multiplicitet hyppig i HHT-gruppen, hvilket komplicerer og hindrer muligheden for eventuel resektion af alle CAVMs ved kirurgi [18]. 2) Den årlige blødningsrisiko for patienter med HHT med CAVMs er opgjort til 0,667-1,014% [12-14], hvilket er væsentligt lavere end, hvad der er rapporteret om i større metaanalyser om non-HHT-CAVMs. Der er dog flere forbehold mht. den eksterne validitet, herunder studiestørrelse og -type samt mulig inklusion af læsionstyper, som regnes for ikkeblødende. 3) Behandlingskomplikationer i form af permanente neurologiske udfald ses hos 5-7% af patienterne uden HHT på tværs af behandlingsmulighederne. Denne risiko skal altid overvejes ved intervention og opvejes mod risikoen ved konservativ behandling. 4) Der eksisterer ingen standardiseret behandlingsalgoritme for HHT-CAVMs. I Europa er der konsensus om, at screening af patienter med neurologisk asymptomatisk HHT kun bør foregå efter nøje information, samt at stillingtagen til screening må ske med udgangspunkt i den enkelte patient, hvor man grundigt redegør for ovenstående fordele og ulemper ved intervention. Ung alder og lav Spetzler-Martin-gradering taler for behandling.



Korrespondance Anette Drøhse Kjeldsen. E-mail: anette.kjeldsen@rsyd.dk
Antaget 24. marts 2021
Publiceret på ugeskriftet.dk 17. maj 2021
Interessekonflikter ingen. Forfatternes ICMJE-formularer er tilgængelige sammen med artiklen på ugeskriftet.dk
Referencer findes i artiklen publiceret på ugeskriftet.dk
Artikelreference Ugeskr Læger 2021;183:V12200905

Summary

Screening for cerebral arteriovenous malformations in patients with hereditary haemorrhagic telangiectasia

Simon Kjær Simonsen, Troels Halfeld Nielsen, Rikke Beese Dalby, Annette Dam Fialla, Bibi Lange, Pernille Mathiesen Tørring, Anabel Diaz & Anette Drøhse Kjeldsen

Ugeskr Læger 2021;183:V12200905

Patients with hereditary haemorrhagic telangiectasia (HHT) are known to suffer from cerebral arteriovenous malformations (CAVMs). In this review, we explore existing literature for bleeding risk, interventional therapy and neuroradiological features in HHT-related CAVMs. Studies estimate the annual intracerebral haemorrhage rate of CAVMs in HHT patients to be 0.667-1.014%. The clinician must balance bleeding risk and the non-negligible procedural risks of interventional therapy. We recommend, in agreement with European guidelines, that screening of asymptomatic HHT patients should only be carried out after careful information.

Referencer

Referencer

  1. Kjeldsen AD, Vase P, Green A. Hereditary haemorrhagic telangiectasia: a population-based study of prevalence and mortality in Danish patients. J Intern Med 1999;245:31-9.

  2. Kroon S, Snijder RJ, Faughnan ME, Mager HJ. Systematic screening in hereditary hemorrhagic telangiectasia: a review. Curr Opin Pulm Med 2018;24:260-8.

  3. Solomon RA, Connolly ES, Jr. Arteriovenous malformations of the brain. New Engl J Med 2017;376:1859-66.

  4. Shovlin CL, Guttmacher AE, Buscarini E et al. Diagnostic criteria for hereditary hemorrhagic telangiectasia (Rendu-Osler-Weber syndrome). Am J Med Genet 2000;91:66-7.

  5. Faughnan ME, Palda VA, Garcia-Tsao G et al. International guidelines for the diagnosis and management of hereditary haemorrhagic telangiectasia. J Med Genet 2011;48:73-87.

  6. Faughnan ME, Mager JJ, Hetts SW et al. Second International Guidelines for the Diagnosis and Management of Hereditary Hemorrhagic Telangiectasia. Ann Int Med 2020;173:989-1001.

  7. Eker OF, Boccardi E, Sure U et al. European Reference Network for Rare Vascular Diseases (VASCERN) position statement on cerebral screening in adults and children with hereditary haemorrhagic telangiectasia (HHT). Orphanet J Rare Dis 2020;15:165.

  8. Krings T, Kim H, Power S et al. Neurovascular manifestations in hereditary hemorrhagic telangiectasia: imaging features and genotype-phenotype correlations. AJNR Am J Neuroradiol 2015;36:863-70.

  9. Brinjikji W, Iyer VN, Wood CP, Lanzino G. Prevalence and characteristics of brain arteriovenous malformations in hereditary hemorrhagic telangiectasia: a systematic review and meta-analysis. J Neurosurg 2017;127:302-10.

  10. Brinjikji W, Iyer VN, Sorenson T, Lanzino G. Cerebrovascular manifestations of hereditary hemorrhagic telangiectasia. Stroke 2015;46:3329-37.

  11. Spetzler RF, Martin NA. A proposed grading system for arteriovenous malformations. J Neurosurg 1986;65:476-83.

  12. Willemse RB, Mager JJ, Westermann CJJ et al. Bleeding risk of cerebrovascular malformations in hereditary hemorrhagic telangiectasia. J Neurosurg 2000;92:779-84.

  13. Kim H, Nelson J, Krings T et al. Hemorrhage rates from brain arteriovenous malformation in patients with hereditary hemorrhagic telangiectasia. Stroke 2015;46:1362-4.

  14. Yang W, Liu A, Hung AL et al. Lower risk of intracranial arteriovenous malformation hemorrhage in patients with hereditary hemorrhagic telangiectasia. Neurosurgery 2016;78:684-93.

  15. Kim H, Al-Shahi Salman R, McCulloch CE et al. Untreated brain arteriovenous malformation: patient-level meta-analysis of hemorrhage predictors. Neurology 2014;83:590-7.

  16. Gross BA, Du R. Natural history of cerebral arteriovenous malformations: a meta-analysis. J Neurosurg 2013;118:437-43.

  17. Stapf C, Mast H, Sciacca RR et al. Predictors of hemorrhage in patients with untreated brain arteriovenous malformation. Neurology 2006;66:1350-5.

  18. Meybodi AT, Kim H, Nelson J et al. Surgical treatment vs nonsurgical treatment for brain arteriovenous malformations in patients with hereditary hemorrhagic telangiectasia: a retrospective multicenter consortium study. Neurosurgery 2018;82:35-47.

  19. Cenzato M, Boccardi E, Beghi E et al. European consensus conference on unruptured brain AVMs treatment (Supported by EANS, ESMINT, EGKS, and SINCH). Acta Neurochir (Wien) 2017;159:1059-64.

  20. Jhaveri A, Amirabadi A, Dirks P et al. Predictive value of MRI in diagnosing brain AVM recurrence after angiographically documented exclusion in children. AJNR Am J Neuroradiol 2019;40:1227-35.

  21. van Beijnum J, van der Worp HB, Buis DR et al. Treatment of brain arteriovenous malformations: a systematic review and meta-analysis. JAMA 2011;306:2011-9.

  22. Starke RM, Kano H, Ding D et al. Stereotactic radiosurgery for cerebral arteriovenous malformations: evaluation of long-term outcomes in a multicenter cohort. J Neurosurg 2017;126:36-44.

  23. Mohr JP, Parides MK, Stapf C et al. Medical management with or without interventional therapy for unruptured brain arteriovenous malformations (ARUBA): a multicentre, non-blinded, randomised trial. Lancet 2014;383:614-21.

  24. Dupuis O, Delagrange L, Dupuis-Girod S. Hereditary haemorrhagic telangiectasia and pregnancy: a review of the literature. Orphanet J Rare Dis 2020;15:5.