Skip to main content

Bulløs pemfigoid rammer også yngre patienter

Jens Otto Broby Madsen1, Anne Falensteen Lauritzen2 & Ulrikke Lei3

28. sep. 2015
5 min.

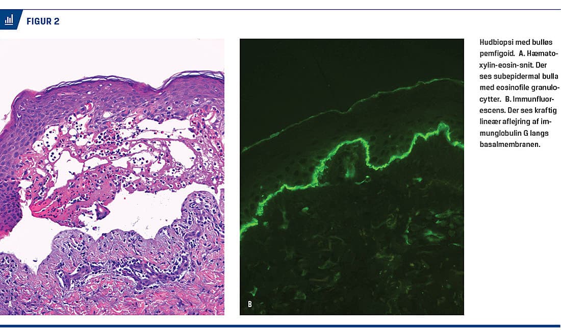
Bulløs pemfigoid (BP) er en autoimmun blæredannende hudsygdom, der oftest ses hos patienter over 60 år [1]. Sygdommen karakteriseres ved spændte bullae, der skyldes autoantistoffer mod hemidesmosomassocierede proteiner i basalmembranen. Diagnosen stilles ved histologisk påvisning af subepidermale bullae med eosinofile granulocytter og fund af lineær aflejring af immunglobulin G (IgG) eller komplement C3 langs basalmembranen (direkte immunfluorescens) eller cirkulerende IgG-antistoffer mod basalmembranen
(indirekte immunfluorescens) [2].

SYGEHISTORIE

En tidligere rask dreng på knap fem måneder blev indlagt efter seks dage med rødme og blærer på hænder og fødder. Egen læge havde initialt mistanke om hånd-, fod- og mundsyge. Objektivt fandt man erytematøse, annulære elementer med central opklaring over hele kroppen samt vesikler og bullae på primært hænder og fødder samt enkelte kradsemærker, der tydede på kløe (Figur 1). Han var i øvrigt upåvirket. Der var ingen disposition til hudsygdom. Et par dage før udslættets fremkomst havde han været hæs. Tre uger tidligere havde han været eksponeret for dicloxacillin via modermælken, ligesom der i samme periode var blevet introduceret fast føde. Da han var tre måneder gammel var han blevet Di-Te-Ki-Pol- og pneumokokvaccineret. På mistanke om erythema multiforme bullosum blev der påbegyndt behandling med lokalsteroid (gruppe II), og bullae blev punkteret. Blodprøveresultaterne var normale fraset eosinofili og trombocytose. De næste to dage tiltog antallet af bullae, de blev mere spændte, og der tilkom hævelse af hånd- og fodrygge. Da hudbiopsier gav diagnosen BP (Figur 2), blev behandlingen suppleret med peroralt givet prednisolon 0,5 mg/kg/dag. Dette reducerede erytemet, men der kom fortsat nye bullae. Tre dage senere blev dosis øget til 1 mg/kg/dag, og udviklingen af nye bullae ophørte efter yderligere fire dage. Erytemet og kløen varede lidt længere. Efter 24 dage begyndtes nedtrapning over fem måneder. Ved halvandetårsopfølgning var der ikke tegn på tilbagefald.

DISKUSSION

BP er sjælden hos børn, men der er publiceret beretninger om et tiltagende antal tilfælde i de seneste årtier [1]. Man skal have diagnosen in mente ved spændte bullae, og der skal tages en hudbiopsi. Patienten i sygehistorien fik taget en biopsi efter tre dage på hospitalet, og således kunne man starte på korrekt medicinsk behandling efter i alt ti dage.

Der er publiceret to artikler med gennemgang af litteraturen om BP [1, 3]. I alt beskrives 95 cases i tidsrummet 1970-2012. Waisbourd-Zinman et al [1] opdelte deres cases i infantil BP (0-12 måneder) og børne-BP (1-18 år). Medianalderen i den infantile gruppe var fire måneder. Wu et al [3] lavede ikke samme opdeling, og medianalderen var syv måneder (fem måneder hvis man kun ser på børn under et år). Patienten i sygehistorien var knap fem måneder gammel ved debut og var dermed aldersmæssigt et typisk tilfælde af BP hos et barn.

En række udløsende faktorer, inklusive vaccinationer, har været foreslået, men ingen er endnu dokumenteret. I opgørelserne var kun seks ud af 95 børn blevet vaccineret (difteri og tetanus) op til 14 dage før sygdomsdebut. Patienten i sygehistorien var blevet vaccineret ca. to måneder før sygdomsudbruddet, og dette vurderes ikke at være relateret til BP. Antibiotika er en anden foreslået udløsende faktor. Petronius et al [4]
beskrev en case, hvor moderen til et barn havde fået antibiotika to gange under graviditeten. Patienten i sygehistorien blev eksponeret for dicloxacillin gennem modermælken, men ikke under graviditeten. Potentielle triggere i denne case kunne være introduktion af fast føde og en mulig viral infektion (hæshed) i tiden op til udbruddet af BP.

Systemisk prednisolon er den hyppigste behandling, der er beskrevet i litteraturen, og i 58 af 95 cases behandlede man med doser på 0,5-3 mg/kg/dag. Øvrige behandlinger var med dapson, sulfapyridin, erythromycin og immunglobuliner [1, 3]. Behandlingsrespons kunne ses efter alt fra få dage til fire måneders behandling. Prognosen er god, og den længste opfølgningstid, der er beskrevet i litteraturen, var på ti år uden ny sygdomsaktivitet [5]. Hos voksne ses der typisk langsommere behandlingsrespons og hyppigere tilbagefald [1].

Sammenfattende er BP en vigtig differentialdiagnose, når et barn har bulløst udslæt. Selv ved svært hududslæt er korrekt behandling med højdosissteroid effektivt og resulterer i hurtig helbredelse uden men.



Korrespondance: Ulrikke Lei.
E-mail: ulrikke.lei@regionh.dk

Antaget: 23. juni 2015

Publiceret på Ugeskriftet.dk: 28. september 2015

Interessekonflikter: ingen.

Summary

Bullous pemphigoid may also be seen in children

Bullous pemphigoid is most commonly seen in elderly patients, however, an increasing number of cases in children have been reported. In this article we present a case of a five-month-old boy who was admitted with red annular plaques over his entire body and vesicles and bullae on his hands and feet. Correct diagnosis was made by skin biopsy and after reviewing the literature high dose oral steroids therapy (1 mg/kg/day) was successfully initiated. The cause of the disease remains unknown. With correct treatment the prognosis is good with documented ten-year follow-up without relapse.

Referencer

Litteratur

  1. Waisbourd-Zinman O, Ben-Amitai D, Cohen AD et al. Bullous pemphigoid in infancy: clinical and epidemiologic characteristics. J Am Acad
    Dermatol 2008;58:41-8.

  2. Nemeth AJ, Klein AD, Gould EW et al. Childhood bullous pemphigoid. Arch Dermatol 1991;127:378-86.

  3. Wu KGCC, Hsu CL, Lee ML et al. Childhood bullous pemphigoid: a case report and literature review. Clin Experiment Dermatol Res 2013;S6:010.

  4. Petronius D, Bergman R. Bullous pemphigoid in two young infants.
    Pediatr Dermatol 2002;19:119-21.

  5. Saenz AM, Gonzalez F, Cirocco A et al. Childhood bullous pemphigoid: a case report and 10-year follow up. Int J Dermatol 2007;46:508-10.