Skip to main content

Cancer mammae med metastase til colon

Reservelæge Sanne Shiroma Harsløf, overlæge Lars Maagaard Andersen, overlæge Ute Hoyer & overlæge Jens Johannes Christiansen Regionshospitalet Randers, Kirurgisk Afdeling K

20. aug. 2010
4 min.

Vi beskriver i denne kasuistik et tilfælde af metastaserende okkult cancer mammae, der præsenterer sig som metastaser i colon med blodige diarreer, anæmi og forhøjelse af C-reaktivt protein (CRP) uden samtidigt tegn på primærtumor.

Cancer mammae er den hyppigste cancertype hos kvinder i den vestlige verden. Der er 4.000 nye tilfælde i Danmark om året. Sygdommen metastaserer hyppigst til lymfeknuder, knogler, lever og lunger [1]. Metastaser i gastrointestinalkanalen ses meget sjældent [2, 3].

Sygehistorie

En 69-årig kvinde blev indlagt på grund af hyppige, vandtynde diarreer med enkelte tilfælde af frisk blod. Man konstaterede normokrom, normocytær anæmi samt forhøjet CRP. Patienten blev betragtet som suspekt for malign sygdom, og et udredningsprogram blev iværksat. Den initiale koloskopi kunne ikke gennemføres, hvorfor der blev foretaget computertomografi (CT)-kolografi. Denne viste malignitetssuspekt, diffus vægfortykkelse af colon. Fornyet koloskopi blev gennemført, og der blev fundet divertikelpræget, ødematøs slimhinde med karinjiceringer. Man fandt intet umiddelbart malignitetssuspekt. Der blev derfor foretaget randombiopsier fra hele colon.

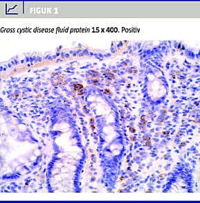
Colonbiopsierne viste tumorceller med negativ reaktion for CK 20, CDX-2, E-cadherin og TTF-1, og det udelukkede med størst mulig sandsynlighed, at det kunne dreje sig om enten primær colon- eller lungecancer. Positive reaktioner for østrogen- og progesteronreceptor samt gross cystic disease fluid protein 15 (GCDFP-15) (Figur 1 ) sandsynliggjorde diagnosen primær cancer mammae, mens negativ E-cadherin pegede på lobulært mammakarcinom.

Derudover blev der foretaget CT af thorax og abdomen, som viste forkalkninger i højre mamma samt multiple knogledestruktioner i bækken, columna og sternum. Man lavede derfor efterfølgende mammografi og ultralydsundersøgelse af mamma samt knogleskintigrafi. Mammografi og ultralydsundersøgelse var negativ, mens knogleskintigrafi viste multiple metastasesuspekte foci. Da der var påvist metastaserende sygdom, og histologien fra colonbiopsierne kunne fastslå tumorens oprindelsessted, undlod man efter beslutning på multidisciplinær mammakonference at foretage yderligere diagnostik af mammae, såsom magnetisk resonans-mammografi, da det ikke ville have haft indflydelse på behandlingen af patienten. Konklusionen blev derfor, at det med meget stor sandsynlighed drejede sig om et østrogenreceptorpositivt, lobulært mammakarcinom med metastaser til knogler og colon.

Patienten bliver behandlet med palliativ kemoterapi, der retter sig mod metastaserende cancer mammae. Patienten responderer godt på behandlingen, der endnu ikke er afsluttet.

Diskussion

Den hyppigste form for cancer mammae er duktalt karcinom (80%), og lobulære karcinomer udgør 10% svarende til 400 tilfælde om året i Danmark. Det lobulære karcinom er kendt for at kunne metastasere til mange forskellige organer samt retroperitoneum. Det er dog sjældent, at en primær cancer mammae metastaserer til gastrointestinalkanalen. Tidligere opgørelser har vist metastaser til gastrointestinalkanalen i 12 ud af 300 (4%) henholdsvis 20 ud af 720 (3%) tilfælde [2,3]. Patienten var opereret for en benign proces i venstre bryst 22 år tidligere. Man kunne derfor mistænke, at det dengang i virkeligheden havde drejet sig om en miskendt malign tumor, med nu sen metastasering. Det er således velkendt - om end sjældent forekommende - at netop ved cancer mammae kan metastaser optræde meget sent - op til mere end 20 år efter erkendelse af primærtumor [1]. Der er lavet nye snit af det gamle præparat, men diagnosen er den samme. Der er derfor i det beskrevne tilfælde ikke påvist en primærtumor. Derudover var præsentationsformen af sygdommen også usædvanlig, idet debutsymptomerne var ændret afføringsmønster og anæmi. Dette adskiller sig fra tidligere beskrevne tilfælde af cancer mammae med colonmetastaser, hvor sygdomsforløbet er startet med fund af cancer mammae, og colonmetastaserne er tilkommet flere år derefter [4, 5].


Sanne Shiroma Harsløf , Regionshospitalet Randers -Afdeling K, 8930 Randers NØ.

E-mail: shiroma76@hotmail.com

Antaget: 23. november 2009

Først på nettet: 22. marts 2010

Interessekonflikter: Ingen

Referencer

  1. Baandrup U, Clausen PP, Fenger C et al. Klinisk Patologi. København: FADL's Forlag, 2002.
  2. Abrams HL, Spiro R, Goldstein N. Metastases in carcinoma; analysis of 1000 autopsied cases. Cancer 1950;3:74-85.
  3. Graham WP, III. Gastro-intestinal metastases from carcinoma of the breast. Ann Surg 1964;159:477-480.
  4. Birla R, Mahawar KK, Orizu M et al. Caecal metastasis from breast cancer presenting as intestinal obstruction. World J Surg Oncol 2008;6:47.
  5. Michalopoulos A, Papadopoulos V, Zatagias A et al. Metastatic breast adenocarcinoma masquerading as colonic primary. Tech Coloproctol 8 2004; Suppl 1:s135-s137.