Skip to main content

Carcinoma in situ mammae

Afdelingslæge Anne-Vibeke Lænkholm, klinikchef Jack Hoffmann & overlæge Fritz E. Rank Odense Universitetshospital, Afdeling for Klinisk Patologi, Hørsholm Sygehus, Brystkirurgisk Klinik, og Rigshospitalet, Patologiafdelingen

10. sep. 2007
10 min.

Carcinoma in situ (CIS) er en ikkeinvasiv malign celleforandring i epiteliale strukturer uden gennemvækst af basalmembranen.

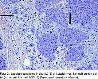
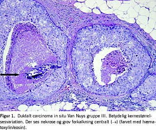
CIS vokser ikke ud i det omgivende væv og kan ikke metastasere lymfogent eller hæmatogent. I brystet findes der to typer: duktalt CIS (DCIS) (Figur 1 ) og lobulært CIS (LCIS) (Figur 2 ).

Incidens

Hvor der foretages organiseret mammografiscreening, udgør DCIS 20-30% af samtlige påviste brystkræfttilfælde [1]. I de danske screeningsområder er incidensen på 12-16%. Ved screening påvises DCIS primært som mikroforkalkninger. Hvor der ikke foretages screening, debuterer DCIS som enten en palpabel tumor, blødning fra brystvorten, morbus Paget eller som mikroforkalkninger, der ses ved mammografi foretaget på grund af symptomer i brystet.

LCIS derimod er sædvanligvis et tilfældigt fund i en biopsi foretaget på anden indikation.

Den reelle incidens af LCIS er ukendt, idet der ikke er karakteristiske kliniske eller radiologiske kendetegn. Incidensen er proportional med antallet af biopsier, der er foretaget i en population. Ved gennemgang af benigne biopsier er incidensen 0,5-3,6%. LCIS forekommer multifokalt og bilateralt i mange tilfælde [2].

Forløb

DCIS repræsenterer et forstadium til invasivt karcinom. Det er imidlertid ikke alle DCIS-læsioner, som progredierer til invasivt karcinom. 30-50% af DCIS-læsioner påvist ved excisionsbiopsi uden efterfølgende behandling progredierer til invasivt karcinom i løbet af op til 40 år, hvilket også betyder, at ikke alle læsioner progredierer i kvindens livstid.

I mange år har man opfattet LCIS »bare« som en risikofaktor for senere udvikling af brystkræft. Igennem de senere år er der tiltagende evidens for, at LCIS bør opfattes som et reelt forstadie til invasivt lobulært karcinom. Der er således påvist genetisk klonalitet med enslignende genetiske forandringer i parrede læsioner bestående af LCIS og invasivt lobulært karcinom. Ligeledes er det påvist, at risikoen for, at der udvikles invasivt karcinom, er 3-5 gange større i det ipsilaterale bryst end i det kontralaterale bryst [3]. Ved LCIS vil 12-37% af kvinderne udvikle invasivt karcinom inden for 15-47 år.

Den cancerrelaterede dødelighed blandt kvinder med DCIS eller LCIS er under 2% efter ti år.

Klassifikation

Histopatologisk findes der flere varianter af DCIS, som beskrives i henhold til vækstmønster, kernemorfologi, kerneatypi og tilstedeværelse af nekrose. I Danmark anvendes Van Nuys klassifikationssystem til malignitetsgradering. Metoden er reproducerbar og har en signifikant prognostisk betydning [4]. Den er baseret på en vurdering af kerneatypi og nekrose: gruppe I, II og III. Gruppe III har store pleomorfe nucleoleholdige kerner og hyppige nekroser (Figur 1). Gruppe III har en større recidivrisiko end gruppe I, som har beskeden kerneatypi og ingen forekomst af nekrose.

Pleomorf LCIS (PLCIS) er en sjælden variant af LCIS [5]. Det er differentialdiagnostisk vanskeligt at adskille PLCIS fra DCIS, idet PLCIS som nogle varianter af DCIS har store pleomorfe og nukleoleholdige kerner. Der kan som ved DCIS ses centrale nekroser af såkaldt komedotype. Ved hjælp af immunhistokemisk undersøgelse for adhæsionsmolekylet E-cadherin ses imidlertid blank negativ reaktion i både klassisk LCIS (Figur 3 ) og PLCIS, mens der ses positiv reaktion i DCIS. Klassisk LCIS udtrykker normalt ikke amplifikation af vækstfaktoren human epidermal growth factor receptor 2 (HER2) i modsætning til PLCIS, som kan udvise HER2-overekspression. Dette understøtter ligeledes antagelsen af PLCIS som en mere aggressiv læsion end klassisk LCIS.

Behandling af duktalt carcinoma in situ

DCIS behandles på tre forskellige måder, nemlig brystbevarende operation med postoperativ strålebehandling (BBO + ST), excision alene eller mastektomi.

BBO + ST betragtes i dag som standardbehandling. Dette er baseret på utallige retrospektive undersøgelser og bekræftet i tre store internationale randomiserede multicenterundersøgelser [6-8]. Her har man sammenlignet excision af tumoren alene med BBO + ST. Undersøgelserne viste enstemmigt, at incidensen af lokale recidiver efter ti år blev halveret fra 30% til 15%, når man tilføjer ST. ST er dog ikke uden omkostninger både økonomiske og i form af bivirkninger. Derudover er den absolutte recidivreduktion ikke lige høj i alle situationer. Ex-cision alene er derfor anbefalet i visse situationer.

Excision alene

Lokalrecidivfrekvensen efter excision af DCIS uden efterfølgende ST efter ti års opfølgning ligger omkring 30%. Der er dog mange undersøgelser, der viser, at kvinder der har fået excideret et område med DCIS uden efterfølgende ST får udmærkede langsigtede resultater med recidivfrekvens på under 10%.

Dette rejser spørgsmålet, om der kan findes en undergruppe af DCIS-læsioner, hvor ST kan undlades. Blandt utallige risikofaktorer, der er undersøgt, er nedenstående fem dem, som har opnået den største internationale godkendelse som grundlag for stillingtagen til behandling [4].

Tumorstørrelse: tumorer < 5 mm recidiverer i 14% af tilfælde inden for otte år, og tumorer > 30mm recidiverer i 45% af tilfældene.

Resektionsmargen: Sandsynligheden for lokalrecidiv inden for otte år falder fra 61% til 9%, når afstand til resektionsranden er på henholdsvis 0 mm og > 10 mm. Histologiske subtyper: Nekrose er et dårligt prognostisk tegn. Recidivfrekvens efter otte år er med nekrose 34% og uden nekrose 11%.

Kerneatypi: Beskeden kerneatypi har lav risiko for recidiv, og betydelig kerneatypi har høj risiko, henholdsvis 4,1% og 13% ved otteårsopfølgning.

Alder: tiårsrecidivfrekvensen hos kvinder < 40 år er 31% og falder til 6%, hvis kvinden er > 60 år.

Kvinder med lav recidivrisiko, f.eks. lille tumor, bred resektionsmargen, Van Nuys gruppe I og alder over 40 år, kan behandles med excision alene.

Mastektomi

Der er klare retningslinjer for anvendelse af mastektomi til kvinder med DCIS: palpabel tumor > 4-5 cm, diffust udbredte mikroforkalkninger, multifokal tumor, kontraindikationer til strålebehandling og situationer, hvor man ikke kan opnå frie resektionsrande trods gentagne reresektioner. Når mastektomi er valgt, bør kvinden informeres om muligheden for primær rekonstruktion.

I forbindelse med et eventuelt recidiv vil halvdelen af recidiverne opstå som DCIS og resten som invasivt karcinom. Ved recidiv i form af DCIS er 92-99% af patienterne recidivfri fem år efter behandling.

Ved recidiv i form af invasivt karcinom svarer behandlingsresultaterne til behandlingen af patienter med tidligt stadium af brystkræft.

Statuering af aksillære lymfeknuder

Per definition kan der ikke forekomme lymfeknudemetastasering ved DCIS. Man kan dog finde metastaser i tilfælde med okkult invasion. I ca. 30% af de tilfælde, hvor man ved en præoperativ grovnålsbiopsi har påvist DCIS, findes foci med invasivt karcinom i den fjernede læsion.

Incidensen af invasivt karcinom stiger med DCIS-læsionens størrelse (0-25 mm: 1,6%, > 55 mm: 48%), når der er en tumordannende proces og ved høj kerneatypi. Anbefalingen p.t. er at foretage sentinel node- diagnostik (SN) i disse situationer. I alle tilfælde, hvor der foretages mastektomi, er SN ligeledes anbefalet.

Adjuverende medicinsk behandling

Det er ingen indikation for kemoterapi hos kvinder med DCIS.

I to prospektive, randomiserede undersøgelser har man vurderet tamoxifen (TAM)'s rolle. I den ene [8] sås en statistisk signifikant fordel hos kvinder behandlet med BBO og ST suppleret med fem års TAM sammenlignet med samme behandling uden TAM (8,2% vs. 13,4% for lokalrecidiv, kontralateral brystkræft eller metastaser ved 74 måneders opfølgning). Den absolutte gevinst var dog kun 5,2%, som skal opvejes mod TAM's bivirkninger. I den anden undersøgelse sås ingen forskel [7].

Begge undersøgelser er blevet kritiseret, idet østrogenreceptor (ER)-analysen var ukendt. I efterfølgende arbejder har man påvist, at ca. 75% af DCIS-læsioner er ER+. Hos disse kvinder fandt man en 59% reduktion i lokalrecidivfrekvensen ved behandling med TAM. Til gengæld var der ingen effekt på ER-tumorer. Der er umiddelbart ingen entydig anbefaling om brugen af TAM. Svaret afventes fra to nye randomiserede undersøgelser, hvori man vil vurdere TAM's virkning hos ER + DCIS og også sammenligne TAM med behandling med aromatasehæmmere.

Imidlertid kan man overveje brugen af TAM hos kvinder med ER + DCIS med høj recidivrisiko.

Behandling af lobulært carcinoma in situ

Viser grovnålsbiopsi LCIS, anbefales supplerende excisionsbiopsi, idet der i mange tilfælde vil afsløres anden patologi i samme område, f.eks. DCIS eller invasivt karcinom. Når LCIS opdages i en excisionsbiopsi, er det ikke nødvendigt at opnå frie resektionsrande, som det er tilfældet ved DCIS. Kvinden følges regelmæssigt derefter med klinisk palpation og mammografi hvert andet år.

Der er normalt ingen indikation for mastektomi ved LCIS. I situationer, hvor kvinden selv vælger profylaktisk kirurgi, eller hvor der samtidig er andre højrisikofaktorer som f.eks. genetisk disposition, kan bilateral mastektomi overvejes.

Der er stadig usikkerhed om behandlingen af patienter med PLCIS. På nuværende tidspunkt behandles disse patienter som patienter med DCIS Van Nuys gruppe III.

Der er ingen indikation for kemoterapi eller ST. TAM halverer risikoen for udvikling af invasivt karcinom, men den absolutte gevinst er minimal. Undersøgelser er i gang vedrørende effekten af aromatasehæmmere ved LCIS.

Molekylærpatologi

I microarray- studier af invasive brystkræfttumorers genprofiler har man identificeret fem tumorsubtyper: luminal A, luminal B, normal breast-like, HER2-overexpressing og basal-like [9]. Disse fem subtyper er karakteriseret ved at have en indbyrdes forskellig prognose. Som følge heraf og i takt med den øgede opmærksomhed på målrettet behandling er der ligeledes lavet flere studier for at belyse betydningen af indholdet af ER og progesteronreceptor (PR) samt HER2 i DCIS-læsioner. Resultaterne af studierne tyder på, at DCIS-læsioner med ER+/PR-profil og samtidig HER2-overekspression er associeret med størst risiko for recidiv. Ligeledes er der påvist en tripelnegativ gruppe af DCIS-læsioner (ER-, PR-, HER2-), som menes at være forstadier til tripelnegativt invasivt karcinom. Samtidig ved man, at der genotypisk er stor lighed mellem DCIS med lav malignitetsgrad og den klassiske type af LCIS, bortset fra at LCIS i modsætning til DCIS har tab af E-cadherin [10].

Der er således tale om en kompleks serie af genetiske ændringer, som leder til specifikke og divergerende udviklingstrin mod invasivt karcinom. Dette medfører, at den morfologiske klassifikation af DCIS og LCIS ikke på lang sigt kan stå alene uden inddragelse af supplerende immunhistokemiske og molekylærbiologiske undersøgelser.

Det fremtidige mål er, at disse undersøgelser anvendes både diagnostisk, prognostisk og prædiktivt for at skræddersy både behandling og efterfølgende kontrolforløb for disse kvinder.


Anne-Vibeke Lænkholm, Bellevuevej 25, DK-5700 Svendborg. E-mail: anne.laenkholm@dadlnet.dk

Antaget: 13. marts 2007

Interessekonflikter: Ingen angivet

  1. McCann J, Treasure P, Duffy T. Modelling the impact of detecting and treating carcinoma in situ in a breast screening programme. J Med Screen 2004; 11:117-25.
  2. Lakhani SR, Audretsch W, Cleton-Jensen AM et al. The management of lobular carcinoma in situ (LCIS). Is LCIS the same as ductal carcinoma in situ (DCIS)? EJC 2006;42:2205-11.
  3. Ottesen G. Carcinoma in Situ of the Female Breast. APMIS 2003;108:1-67.
  4. Silverstein MJ. The University of Southern California/Van Nuys prognostic index for ductal cancinoma in situ of the breast. Am J Surg 2003;186:337-43.
  5. Reis-Filho JS, Simpson PT, Jones C et al. Pleomorphic lobular carcinoma of the breast: role of comprehensive molecular pathology in characterization of an entity. J Pathol 2005;207:1-13.
  6. Bijker N, Meijnen P, Peterse JL et al. Breast-conserving treatment with or without radiotherapy in ductal carcinoma in situ: Ten-year results of European Organisation for Research and Treatment of Cancer Randomized Phase III Trial 10853 - a study by EORTC Breast Cancer Cooperative group and EORTC Radiotherapy Group. J Clin Oncol 2006;24:3381-7.
  7. UK Coordinating Committee on Cancer Research (UKCCCR) Ductal Carcinoma in Situ Working Party. Radiotherapy and tamoxifen in women with completely excised d uctal carcinoma in situ of the breast in the UK, Australia and New Zealand: randomised controlled trial. Lancet 2003;362:95-102.
  8. Fisher B, Land S, Mamounas E et al. Prevention of invasive breast cancer in women with ductal carcinoma in situ: an update of the National Surgical Adjuvant Breast and Bowel Project Experience. Seminars in Oncology 2001; 4:400-18.
  9. Perou CM, Sorlie T, Eisen MB et al. Molecular portraits of human breast tumours. Nature 2000;406:747-52.
  10. Simpson PT, Reis-Filho JS, Gale T et al. Molecular evolution of breast cancer. J Pathol 2005;205:248-54.

Referencer

  1. McCann J, Treasure P, Duffy T. Modelling the impact of detecting and treating carcinoma in situ in a breast screening programme. J Med Screen 2004; 11:117-25.
  2. Lakhani SR, Audretsch W, Cleton-Jensen AM et al. The management of lobular carcinoma in situ (LCIS). Is LCIS the same as ductal carcinoma in situ (DCIS)? EJC 2006;42:2205-11.
  3. Ottesen G. Carcinoma in Situ of the Female Breast. APMIS 2003;108:1-67.
  4. Silverstein MJ. The University of Southern California/Van Nuys prognostic index for ductal cancinoma in situ of the breast. Am J Surg 2003;186:337-43.
  5. Reis-Filho JS, Simpson PT, Jones C et al. Pleomorphic lobular carcinoma of the breast: role of comprehensive molecular pathology in characterization of an entity. J Pathol 2005;207:1-13.
  6. Bijker N, Meijnen P, Peterse JL et al. Breast-conserving treatment with or without radiotherapy in ductal carcinoma in situ: Ten-year results of European Organisation for Research and Treatment of Cancer Randomized Phase III Trial 10853 - a study by EORTC Breast Cancer Cooperative group and EORTC Radiotherapy Group. J Clin Oncol 2006;24:3381-7.
  7. UK Coordinating Committee on Cancer Research (UKCCCR) Ductal Carcinoma in Situ Working Party. Radiotherapy and tamoxifen in women with completely excised ductal carcinoma in situ of the breast in the UK, Australia and New Zealand: randomised controlled trial. Lancet 2003;362:95-102.
  8. Fisher B, Land S, Mamounas E et al. Prevention of invasive breast cancer in women with ductal carcinoma in situ: an update of the National Surgical Adjuvant Breast and Bowel Project Experience. Seminars in Oncology 2001; 4:400-18.
  9. Perou CM, Sorlie T, Eisen MB et al. Molecular portraits of human breast tumours. Nature 2000;406:747-52.
  10. Simpson PT, Reis-Filho JS, Gale T et al. Molecular evolution of breast cancer. J Pathol 2005;205:248-54.